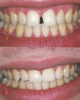
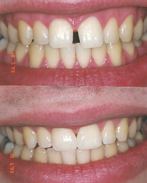
Diastema é o espaço entre dois dentes do mesmo arco que deveriam estar encostados um no outro. Foi a definição mais simples na qual eu consegui pensar :). Já te chamaram de pista dupla, janelinha, abre-aspas, Teco, dentinho, gap… Bob Esponja? Então… provavelmente você tem um diastema. Os diastemas mais notados e apelidados são aqueles entre os incisivos centrais superiores.

Um diastema não é, necessariamente, algo indesejado. Na dentição decídua (de leite), pequenos espaços entre os dentes são normais e esperados. Dessa forma, os dentes permanentes que vêm depois, e que são maiores, acham espaço para irromperem (nascerem), sem contar que a estrutura óssea está crescendo também. Inclusive, hoje em dia está na moda ter diastema entre os incisivos! Que o digam Madonna, Lara Stone, Anna Paquin… e outros diastemas famosos e formadores de opinião. 🙂
Na dentição permanente, via de regra, não deveriam existir diastemas. Quando eles estão presentes, pode haver um mau hábito (hábito deletério) bucal envolvido. Por exemplo, uma deglutição atípica com interposição lingual. Hã? Você engole e empurra os dentes da frente com a língua. Ah, tá. 🙂 Outros motivos para a existência desses espaços são:
–> Espaço de sobra: você tem “pouco dente” pra muita base óssea. Não é o mais comum, normalmente é o contrário que acontece, o que leva a apinhamentos (dentes “encavalados” ——> termo horroroso). Mas acontece. Pode ser que essa sobra de espaço ocorra por perdas dentárias, agenesias ou simplesmente por ter dentes relativamente pequenos para maxilas e mandíbula grandes. Como existe o fator genético envolvido, às vezes acontece da pessoa nascer com os dentes pequenos como os da mãe e a estrutura óssea grande como a do pai, por exemplo. Assim como o contrário.
–> Freio labial hipertrófico: o “freio labial” é aquela faixa de tecido que começa na gengiva bem no meio dos incisivos centrais e vai até a parte de dentro do lábio superior, ligando-os. Às vezes esse freio é muito “baixo”, o que favorece o afastamento dos dentes. Existe uma cirurgia chamada frenectomia, que consiste da correção do freio labial. Na década de 80 era “moda” a tal da frenectomia. Quem tem entre 30 e 35 anos talvez tenha passado por esse procedimento, que era indicado insistentemente. Hoje ainda se faz muito essa cirurgia, mas entende-se que a necessidade de sua realização depende de uma avaliação criteriosa.
–> Doença periodontal: é caracterizada pela perda de suporte ósseo. O osso que segura o dente “some”. Não vou entrar em detalhes agora do porquê disso acontecer, mas aguardem para logo um post sobre isso :). Quando a quantidade de osso entre dois dentes diminui, a tendência é de eles se separarem.
E qual é o problema de se ter um diastema? Em princípio, estético. Se bem que, como eu já disse, há quem goste. Outra questão a ser levada em conta é a proteção do periodonto. Quando dois dentes estão afastados, tudo o que se come vai parar lá no meio. O impacto constante de alimentos na gengiva da região pode causar incômodo, dor e até pequenas lesões.
É possível fechar um diastema? Sim. Isso pode ser feito através de duas estratégias básicas: a restauradora / protética e a ortodôntica. Dependendo do tamanho do espaço entre os dentes, até 6 mm em média, é possível se fazer um fechamento com resina composta. Uma restauração que “aumenta” a largura dos dentes envolvidos até que eles se encostem. Pode-se ainda recorrer a coroas e facetas. Claro que, se o espaço for muito grande (a ponto de caber mais um dente no meio) :), essas soluções não são viáveis. Aí é melhor optar pelo uso de um aparelho ortodôntico, que é capaz de aproximar mecanicamente os elementos dentários em um tempo relativamente curto. O problema, nesse caso, é o grande potencial de recidiva (o espaço voltar a abrir) se o freio labial for hipertrófico. Consulte seu ortodontista!
O problema de se fechar um diastema é que se você gosta dos “apelidinhos carinhosos” que ganhou, provavelmente eles não farão mais sentido e vão perder a graça… 🙂 Mas fique tranquilo: as pessoas costumam ser muito criativas na hora de brincar sacanear com os “amigos”… estão aí Ronaldo Fenômeno e nossa presidente Dilma Rousseff que não me deixam mentir! 🙂



796 comentários
Dra. uso aparelho ha 3 anos e estou proximo de realizar a cirurgia do freio do dente, gostaria de saber se somente isso resolve o problema do diastema, ja que muitos comentarios dizem que apos a retirada do aparelho o diastema pode voltar.
obg
Se a causa do diastema for o freio labial hiperplásico, após o fechamento do diastema, ele não deve abrir novamente. Mas cada caso é um caso. O fechamento espontâneo do diastema (sem aparelho) é uma possibilidade, mas não é assim tão comum.
Olá doutora, uso aparelho faz quase três anos para corrigir meu problema de diastema, fiz a retirada do meu freio, entretanto tenho mordida profunda e me disseram que mordida profunda também pode causar diastema, isso é verdade? Outra dúvida que tenho é, quais as chances do diastema voltar após o término do tratamento? Mês passado notei que meu diastema já estava voltando mesmo com o aparelho, depois da manutenção desse mês ele voltou a fechar, mas fiquei preocupada sobre ele voltar novamente depois que eu tirar o aparelho…
Paula, mordida profunda e diastema são problemas bem diferentes, via de regra não têm relação. Talvez em algum caso BEM específico. A possibilidade de recidiva em caso de diastema costuma ser grande, ou seja, após a remoção do aparelho o diastema tende a abrir, sim. Por isso, nesses caso, o ortodontista muitas vezes opta por fazer uma contenção fixa quando da remoção do aparelho (um fio colado atrás dos dentes em vez do aparelho removível). Depende do caso e de que haja espaço pra esse tipo de contenção, também.
Usei aparelho ortodôntico durante 9 anos. Hoje com 18 anos, faz 2 dias que tirei o aparelho fixo, e comecei a usar a contenção móvel. Assim que tirei, estava muito satisfeita com o resultado, tudo alinhado corretamente, até que hoje vim a reparar que meu diastema esta voltando, em apenas dois dias!!! E pior que não é só diastema, todos os meus outros dentes estão se separando, porém o que me incomoda principalmente é o diastema, pois comecei a usar aparelho desde muito nova para corrigir este problema. Eu até cogitei a possibilidade de consertar com resina, mas usei durante 9 anos, para em dois dias começar a voltar o erro? Estou completamente arrasada! Você acha que pode ter sido problema no aparelho móvel? O que eu faco pra eles não continuarem se separando mais? Volto com o aparelho fixo para este pequeno reajuste?
O dentista vai falar que é muito mínimo, que é bobagem minha…. Me ajuda, por favor!
Natália, deve ser algum problema na contenção, sim. Você está usando ela o dia todo? Sente ela “frouxa”? Porque alguns casos tem alto potencial de recidiva, não importa se o paciente usou aparelho 1, 2, 5, 10 anos… se a contenção não estiver BEM certinha, os dentes tendem a pequenas movimentações dentárias indesejadas. Converse com o seu dentista.
Oi dra, tudo bem? Usei o hyrax durante 5 meses, recentemente retirei e o diastema fechou, porém os centrais fecharam um formato “V”… com toda a movimentação durante o período de contenção, fechou apenas a ponta dos dentes centrais, e em cima estão abertos! Agora estou fazendo o uso do aparelho fixo autoligado, coloquei ontem só em cima… quanto tempo sera q vai demorar p fechar o resto do diastema c esse aparelho?
João, o fechamento de diastemas costuma ser algo rápido… de 3 a 6 meses. Mas cada caso é um caso. É preciso verificar, também, se você ainda tem um diastema ou se esse espaço entre os dentes é uma questão anatômica deles, do formato que eles têm. Nesse caso, nenhum aparelho vai fechar esse espaço… aí, só com restauração.
Olá, estou muito insegura, sempre tive o freio labial baixo e carnudo, junto a isso diastema nos dentes superiores. Quando fui colocar aparelho minha dentista disse que não precisava da frenectomia, era pra esperar, usei aparelho tirei e coloquei o móvel, mesmo assim os dentes foram criando espaço de novo, ela colocou uma contenção e nada, hoje fiz a frenectomia e estou usando móvel. Gostaria de saber se isso resolve mesmo depois da retirada do aparelho fixo e o espaço do freio preenche usando só o móvel, muito decepcionada.
Laurene, parte do diastema deve fechar, sim, com a remoção do freio. Mas não dá pra garantir que todo o espaço será fechado, embora o aparelho removível possa ajudar nisso. Só esperando pra ver.
Olá Doutora,
Uso aparelho há dois anos. Eu tinha diastema e agora está corrigido. Fiz a cirurgia de frenectomia também.
Sendo que a minha ortodontista disse que eu preciso usar a contenção móvel, já a periodontista diz que o melhor é a contenção fixa (pra não haver o risco do diastema voltar). E eu não sei qual opção seguir.
Luana, o que a ortodontista sugerir. É ela quem está realizando o tratamento ortodôntico.
Olá, usei aparelho fixo por dois anos, por causa da diastema na frente dos dentes superiores e da mordida, e agora estou usando o aparelho de retenção (móvel) superior e os internos dos dentes superior e inferior, e o meu dentista disse que o meu caso do diastema é hereditário e que por isso tenho que usar pelo resto da minha vida, tenho outra alternativa ?
Keroly, uma opção é deixar o espaço abrir e fechar com resina, depois. Quando há predisposição pra abertura do diastema, é difícil de mantê-lo fechado sem nenhuma contenção, mesmo. Aí, só usando a contenção “pra sempre”.
Boa tarde, Doutora! Quando tinha 13 anos o meu diastema me incomodava muito, principalmente dos dois dentes superiores da frente, que eram bem separados, então fui ao dentista e coloquei aparelho. Retirei depois de um ano e meio e meus dentes da frente, bem como os demais, estavam todos juntinhos e sem vão. Desde então, usava a contenção móvel todos os dias a noite para dormir, e possuo contenção física nos dentes inferiores até hoje. Esse ano fui a outro dentista que me disse que eu não precisava mais utilizar a contenção móvel, já que faz muito tempo que tirei o aparelho (tirei com 15 anos de idade e agora tenho 20). Passaram-se aproximadamente cerca de seis meses desde então e agora tentei colocar a contenção e a mesma não entra na minha arcada. Estou notando que meus dois dentes frontais superiores estão criando um pequeno vão, coisa mínima, sinto que não eram assim antes de eu parar de usar, mas só esses, os demais continuam juntinhos. O que devo fazer? É realmente preciso dormir com essa contenção até o fim da vida? Ou existe algum prazo para cessar o uso sem interferir na junção dos dentes? Obrigada.
Hadassa, sugiro que você use a contenção, pelo menos, até uns 25 anos. Entre os 23 e 25 anos ocorre o crescimento terminal da mandíbula, e os dentes podem entortar, e isso pode colaborar para que se abram outros espaços entre os seus dentes.
Entendi doutora, já estou providenciando outra contenção, muito obrigada!
Olá Dr . Ana , gostaria de saber quanto custa essa cirurgia ?
Naira, cada caso é um caso. Sugiro a avaliação de um periodontista (dentista especialista em gengiva).
Entendi, obrigada !
Olá doutora Ana, tudo bem? Tem um ano que fiz a cirurgia para retirada do freio labial e tem um buraco onde tinha o freio. O dentista me garantiu que vai fechar e que pode durar anos, já se passou um ano e não vejo nenhum diferença, o buraco continua do mesmo tamanho. O que devo fazer? Pode ser corrigido de alguma forma?
Juliane, a tendência da gengiva é ir “alisando” e essa depressão ficar, pelo menos, muito mais discreta. Acho complicado corrigir, por que aí provavelmente seria preciso enxerto. O ideal é a avaliação de um periodontista quanto a isso.
Olá!
Tenho 17 anos, e já ando com uma dúvida ao longo de algum tempo.
Eu não só tenho diastema como também tenho a falta dos incisivos laterais! Não sei qual é exatamente o motivo, se será de família ou outro problema qualquer mas sempre quis corrigir.
Sempre pensei que se tivesse apenas os dentes separados até poderia conviver com isso, não acho que seja assim tão “feio” e até pode dar sempre um ar diferente a pessoa. Mas o facto de eu não ter incisivos laterais deixa-me sem auto-estima, apesar do canino estar próximo dos incisivos centrais, assim até dá para disfarçar, mas não muito.
Queria saber se me poderia ajudar, dar algum conselho em relação a isso. Sempre que vou a algum dentista é sempre o assunto do aparelho, mas não queria pôr implantes ou algo do género no lugar dos laterais, talvez haja outra solução.
Espero pela resposta.
Obrigada e beijinhos.
Lauren, as soluções são basicamente duas: fechar os espaços com aparelho e transformar esses caninos em laterais com restaurações ou coroas OU abrir os espaços dos laterais e fazer implantes. Se os espaços entre os dentes forem pequenos, talvez dê pra fazer facetas e resolver isso sem aparelho, mas depende do caso. Procure um dentista especialista em estética (Dentística) pra avaliar.
Será que me podia enviar o seu email ou outro tipo de contacto para lhe poder enviar uma foto só para ter uma noção?
Envie para –> [email protected]
Boa noite Lauren, li o seu comentário, e tenho o mesmo problema que o seu, exatamente o mesmo, to usando aparelho há 5 meses, só que minha gengiva está alterada, já tive o mesmo problema quando usei a primeira vez, e tive que retirar, porque na época estava gestante, então para o meu bebê não correr risco, o dentista optou por retirar, e tenho medo de tirar novamente, se a Doutora puder me ajudar, agradeço!!!
Não entendi bem a situação, Ediene. Você está com medo de ter que tirar o aparelho por quê? Você não tem os incisivos laterais e não quer fazer implante, é isso?
Olá Dra. Ana,
Tenho 19 anos e fiz a frenectomia há um ano. Usei aparelho e meu dentista achou que seria necessária essa cirurgia, meus dentes da frente eram pra lá de separados. Nessa última semana eu tirei o aparelho e agora estou com a contenção superior e estou com medo de que meus dentes separem mesmo assim, acha que há riscos?
Beijosssss, amo seu blog
Obrigada, Isabelle. 🙂
Se você usar a contenção direitinho, é muito improvável que esse espaço se abra. Até porque o freio labial, que seria o motivo do diastema, já foi removido. Acho que você não precisa se preocupar.
Boa Tarde, Dra. posso enviar a senhora a radiografia panorâmica para ter a certeza que o meu diastema não irá fechar? Por favor, obrigada.
Não dá pra ter certeza só pela radiografia, Dálida… mas mande. –> [email protected]
Boa tarde Dra., já enviei a radiografia. Obrigada.
Respondi por e-mail.
Ola Doutora.
Uso aparelho ha um pouco mais de 1 ano e devido ao uso da borrachinha para puxar a mandibula estou com uma abertura nos dentes de cima, onde esta a borrachinha, o que posso fazer para diminuir essa abertura? Nao existia essa abertura antes do uso da borrachinha. Uso a borrachinha o tempo todo, tiro apenas para comer.
Obrigada.
Nada, Mariana. Assim que possível, seu dentista vai fechar esse espaço. Converse com ele.
Olá Dra. minha filha tem diastema grande, ela tem apenas 8 anos, fiz Raio X e não tinha nada entre os dois incisivos, mas agora parece que existe um dente nascendo entre eles com um giro de 45º graus (atravessado), o que devo fazer agora, a retirada por cirurgia?
William, depende de que dente é esse. Nessa região é comum a ocorrência de dentes supranumerários (além do número normal), mas talvez seja um canino permanente, por exemplo. Só avaliando pra ter certeza e propor alguma intervenção (se necessária). O dentista já viu a radiografia? Disse algo a respeito?
Boa tarde Dra. Ana. Realizei uma cirurgia de expansão de maxila em fevereiro/2016, estou com aparelho e mola para tracionar o incisivo 22, já retirei o hyrax esse mês mas o diastema entre o 11 e 21 continua com 3mm. Em dois meses com aparelho superior, o diastema de 9mm (após expansão) fechou até esses 3mm que estão há três meses. Por quanto tempo será que permanecerá esse amigo diastema ? Obrigado pelo post, ficou excelente !
Hudson, talvez esse diastema não feche totalmente, a não ser com o aparelho fixo. Você já está usando o aparelho?
Sim Doutora, estou com o aparelho fixo há 5 meses e percebo que tem uma camada (creio eu) de gengiva criando neste diastema.
Poderia ser o freio labial muito grande ou “baixo”. Mas se seu dentista não falou com você sobre isso, creio que não. O diastema deve fechar.
Muito obrigado Doutora, excelente site, parabéns.
😉
Dra. Ana, meu filho de 7 anos está com o espaço nos dentes da frente, foi feito os raio x necessários, e consultando 2 dentistas cada um tem uma opinião. Um sugere um espaçador para ganhar espaço para os dentes laterais nascerem, assim “juntando” os da frente. O outro sugere a retirada do “freio”. O meu receio é essa retirada causar um trauma desnecessário nessa idade. Mas também dizem que o espaçador dói e pode ser problemático para quem já tem um pouco de ânsia. Não sei o que fazer !
Li, as duas coisas podem ser necessárias… depende do caso. Se o freio estiver “baixo”, removê-lo pode fechar o espaço entre os dentes até espontaneamente (sem uso de aparelho). Mas, pelo que entendi, há falta de espaço, também… por isso o disjuntor. São estratégias diferentes pra problemas diferentes.
Bom dia Dra, tenho uma diastema superior considerável, o meu dentista disse, mesmo com o uso do aparelho, que esse espaço não irá fechar completamente. Gostaria de saber se existe uma solução para o meu problema? Obrigada.
Dálida, o que não fechar com o aparelho pode ser fechado depois com restauração.
Obrigada.
Dra, eu fiz uma cirurgia para a retirada do freio, logo após usei aparelho fixo por 2 anos e o diastema fechou. Porém agora, 7 anos depois, comecei a sentir um incômodo na região (uma leve pressão) e percebi que estão abrindo novamente, já está perceptível um leve espacinho entre eles. Estou desesperada, pensei que nunca me preocuparia com isso novamente, me incomoda muito 🙁 O que pode estar acontecendo e o que você me aconselha? Obrigada desde já!
Ana, o nome disso é recidiva… em ortodontia, principalmente quando havia diastema antes do tratamento ortodôntico, é bem comum. Pra fechar, só colocando aparelho de volta ou restaurando.
Doutora, já fui chamada até de falsa por causa do meu Diastema. Eu já sou uma senhora mas eu nunca consegui dar um sorriso gostoso por ter esse problema.
Vera, um diastema pode ser fechado com aparelho com com restauração estética. Procure um dentista pra avaliar.
Olá, doutora! Obrigada pela postagem, adorei! Meu caso é o seguinte… Aos 16 anos, comecei o uso do aparelho ortodontico fixo para corrigir problemas de alinhamento e também um diastema entre os incisivos frontais superiores. O espaço era de tamanho considerável. Com 18 anos, retirei o aparelho mas, mesmo com a contenção móvel, o diastema retornou exatamente como era. Procurei outro dentista, e este me indicou a cirurgia de freio. Fiz a cirurgia com 20 anos e logo coloquei novamente o aparelho fixo, que utilizei até os 23 anos. Após retirada, o dentista colocou contenção (fio com resina atrás) nos incisivos para evitar reincidência. O problema é que hoje, com 27 anos, estou com um diastema menor, mas dessa vez entre o incisivo frontal direito e o incisivo lateral. Então o problema não era o freio, certo? Quando criança, já havia feito tratamento com fonoaudióloga por anos para consertar minha fala (projetada nos dentes). Diante de tantas tentativas, só me resta corrigir com resina ou faceta já que o espaço não é tão grande? Desde já muito obrigada! Aguardo ansiosamente resposta por aqui ou por e-mail.
Priscila, o problema podia ser o freio, sim. Mas pode haver alguma sobra de espaço, também… ou um potencial dos seus dentes em se projetarem (aposto nisso). Já que você já usou aparelho por 2 vezes, acho que o ideal, agora, seria fechar o espaço com resina, mesmo.
Olá Dra, tenho 14 anos e tenho um diastema entre os dentes centrais superiores, eu uso aparelho fixo ha 3 anos, fiz a frenectomia, e até hoje nada de fechar, o diastema diminuiu bastante, mas ainda não estão juntos. Meu dentista disse que acha que não vai conseguir fechar tudo. Tem chances de o diastema fechar somente com o aparelho, sem precisar fechar com resina ou algo do tipo? Estou muito preocupada com isso, pois afeta muito a minha auto-estima. Desde já, obrigada.
Maria, tem chance, sim. Se seu ortodontista tem tentado fechar o diastema e ele não fecha, pode ser que as raízes desses dentes estejam se tocando, por exemplo (estou apenas supondo). Converse com o seu ortodontista.
Dra. Ana tenho 34 anos fiz uma frenectomia já tem 20 dias, mas no local da retirada desse freio minha gengiva continua como se tivesse uma vala, entre os dentes, numa coloração bem mais avermelhada que o resto da gengiva. E ela também ficou com o desenho em v invertido pra cima e não pra baixo, abraçando o dente como é o normal. Pior que agora o dentista de estética não quer mexer nesses dois incisivos centrais usando resina pra fechar o espaço pois ficou tipo um triângulo vazio invertido entre os dentes. Será que a gengiva vai voltar ao normal ainda, e crescer ali, ou a cirurgia foi feita maneira errada?
Lea, em caso de cirurgia gengival leva-se bastante tempo pra se ter noção do resultado final. Pelo menos 1 mês pra cicatrização inicial e uns 3 meses pra cicatrização final. Até lá, não se assuste muito com o aspecto da gengiva. Se depois desse tempo você ainda não estiver satisfeita, converse com a sua dentista. Acho cedo pra fazer as restaurações estéticas, o ideal é aguardar o período de cicatrização.
Dra. Boa tarde, hoje de manhã passei pelo procedimento cirúrgico de frenectomia labial superior e gostaria de um esclarecimento acerca do inchaço da minha boca. Até quantos dias pode persistir o inchaço e o que eu posso fazer para desinchar a minha boca?
Matheus, em 1 semana já deve estar bem melhor, mas seu lábio pode ficar com aspecto alterado até 1 mês. Passados pelo menos 3 dias da cirurgia, você pode fazer compressas mornas sobre o lábio, pra ajudar a resolver o processo inflamatório.
Dra. Parabéns pelo trabalho, pelo blog e pelas respostas, sempre claras e práticas. Meu filho de 7 anos tem um mesiodens, extranumerário no meio dos incisivos, como a senhora deve saber, e tem um diastema do tamanho dos seus incisivos, que já estão grandões. Levo ele numa odontopediatra há dois anos e ela ainda não extraiu, mas quer extrair agora: vai ficar um espação. Levei num ortodontista e ele recomendou outras coisas, como melhorar a mordida preenchendo os dentes com resina e extrair somente depois que os caninos apontarem… Os apelidos estão aparecendo. Qual a sua sugestão?
Jonathan, por que aguardar os caninos apontarem? Eu acho que quanto antes o extranumerário for extraído, melhor.
Olá, Ana. Tenho diastema nos dentes da frente superiores casusado pelo “freio baixo” e esse é o único problema. Tenho 23 anos e não queria usar aparelho, tem como a abertura fechar somente com a cirurgia? Ou qual o melhor tratamento nesse caso?
Willian, é provável que os dentes se aproximem um pouco, sim, só com a cirurgia. O que não fechar, pode ser fechado com restauração, sem necessidade de usar aparelho. Procure um dentista pra avaliar.
Boa noite! Retirei os pontos da minha frenectomia labial superior ha uma semana e pouco, porém notei que meus lábios estão diferentes… inchados. Quando sorrio dá impressão de pele “caida” fazendo com que meus dentes que antes apareciam não apareçam por total, mudando o aspecto do meu sorriso. Ainda uso aparelho fixo. É normal?
Sim, Ivina. A cirurgia ainda é bem recente, o processo de cicatrização leva mais tempo, e deve haver algum inchaço, ainda, também.
Olá Dra, coloquei aparelho há cinco dias, e tenho um diastema nos dois dentes da frente (superior) e a dentista já colocou a borracha, com quanto tempo mais ou menos ele pode se fechar?
Maria, se a ideia da sua dentista é começar já o fechamento do diastema, deve ser algo rápido, talvez uns 3 meses. Mas depende do caso.
Olá doutora, tirei o aparelho fixo ha uma semana e o móvel ainda não está pronto, tenho a impressão que um dente está “abrindo”, quando começar a usar o móvel irá juntar de novo?
Monique, se a contenção estiver bem justinha, provavelmente sim.
Olá doutora. Eu tive – ou tenho – diastema. Usei aparelho ortodôntico por mais de três anos, e juntou os dentes 11 e 21, não perfeitamente, porque ainda tem um espacinho bem pequeno perto da gengiva, só passando o fio dental que dá para enxergar. Tirei o aparelho há três dias e estou usando o móvel. É normal os meus dentes doerem com o uso desse aparelho? Porque estou com medo de os meus dentes 11 e 21 estarem abrindo e por isso o aparelho apertar tanto. Pesquisei e vi que para corrigir a diastema eu teria que ter feito frenectomia antes de usar o aparelho ortodôntico, mas agora que eu o tirei não quero voltar a usá-lo. Há alguma outra forma de eu corrigir esse problema – se eles voltarem a abrir – sem precisar fazer a frenectomia e/ou voltar a usar o aparelho ortodôntico? Estou tão preocupada com isso, que nessa mesma noite sonhei que meus dentes abriram e havia uma carne monstruosa, gigante entre eles.
Stéfany, não é em todo caso de diastema que está indicada a frenectomia. No seu caso creio que não, se não seu ortodontista teria encaminhado você pra fazer a cirurgia. Se a remoção do aparelho fixo é recente, mesmo com o uso do removível os dentes se “reacomodam”, e pode haver algum incômodo, mesmo. Caso o diastema abra (e não vejo razão, em princípio, pra isso), uma opção é usar resina (restauração) pra fechá-lo, em vez de aparelho.
Olá, Doutora!
Parabéns pelo site! Continue nos proporcionando boas e válidas informações no campo da ortodontia. Usei aparelho por 2 anos e 8 meses e, depois de 04 anos, percebi evolução de diastema entre o canino inferior e o incisivo lateral. O que é intrigante é que há uma barra de contenção fixa colada de canino a canino (não colada nos incisivos), que, segundo dentistas consultados, não está solta, ou seja, a resina continua colada. Sucede que, embora os incisivos não estejam apinhados (e nunca estiveram, mesmo antes do uso do aparelho), houve o aparecimento desse diastema. O canino inferior, embora esteja na sua mesma posição, está com sua cúspide apontada pro lado de fora, como presa de vampiro. Tenho medo de usar aparelho ortodôntico de novo e o problema aparecer novamente. Não tenho mais segurança na garantia do resultado.
Obrigada, Andre. Enquanto eu puder ajudar… 😉
É certo que essa contenção está solta. A resina está presa ao dente, sim, mas o fio está “correndo” dentro da resina, entende? Pra corrigir, só colocando aparelho novamente ou restaurando os dentes pra fechar o diastema.
Olá, meu nome é Gabriella e eu tenho 11 anos, meus dentes são bem separados por causa do freio superior que tem um tamanho irregular, sempre quis por o aparelho, a única coisa que eu tenho um pouco de medo é a frenectomia, a cirurgia do freio superior, queria saber a melhor idade? E se já posso por o aparelho?
Maria Gabriella, a primeira coisa que você tem que fazer é pedir que um responsável acompanhe você a um ortodontista pra avaliar. Aos 11 anos pode ser que você já possa usar aparelho fixo sim, desde que todos os seus dentes permanentes já tenham nascido. Ainda, você ter os dentes da frente separados não significa que você precisa fazer frenectomia… é preciso avaliar. Se for necessário, o ortodontista vai encaminhar você pra fazer a cirurgia, geralmente já no início do tratamento ortodôntico. E se ainda não for hora de você usar aparelho, você aguarda mais 1 ou 2 anos e faz uma nova avaliação.
Olá doutora!
Tenho 14 anos e tenho diastema de cerca de 1 a 2 mm.
Já que os meus dentes do siso ainda não nasceram, eu devo esperar para estes nascerem ou devo colocar um aparelho dental?
Sofia, depende da avaliação do ortodontista. O aparelho pode ser colocado antes ou depois da extração dos sisos (até porque pode ser que nem haja indicação de extração no seu caso).
Olá. Tenho 30 anos e cerca de 1mm de diastema. Tenho a mordida correta. Quanto tempo eu levaria para fazer essa correção usando aparelho? Obrigada.
Ana, fechar o diastema com aparelho é rápido… às vezes em até um mês isso é possível. Mas antes de fazer isso, é preciso alinhar todos os dentes, e é isso que demora.
Olá, meu nome é Leonardo e tenho um diastema de 1 mm nos meus dentes frontais da parte superior, eu acho que esse diastema se dá pelo fato de ter um espaço no fundo da minha boca de um dente que eu arranquei faz 1 ano e meio, mas o meu dente do siso está descendo e a cada dia o espaço vai ficando menor, mas como o processo do nascimento é demorado, permite que o outros dentes comecem a se afastar. Qual a solução mais eficaz nesse momento ? Obrigado.
Leonardo, não acho que o diastema anterior tenha a ver com a extração do seu dente posterior. Procure um dentista pra avaliar, esse diastema pode ser fechado com aparelho ou com restauração.
Ola Doutora,
Então, tenho diastemas nos dois dentes da frente, entre esses dois dentes tem uma bolinha tipo carninha, e meus dentes estão meio doloridos, tenho a sensação que vão cair, mas estão fortes e minha gengiva esta dolorida, poderia me ajudar?
Alexya, por que a sensação que os dentes vão cair se eles estão fortes? Procure um dentista pra avaliar.
Oi doutora, tudo bom ?
Tenho um diastema entre os dois dentes da frente de cima, na quarta feira (25) meu dentista colocou a famosa “corrente” com elástico e hoje dia (26) já deu uma mínima fechadinha, sendo q mnh gengiva na parte de cima perto do céu da boca está muita inchada e dolorida ! É normal ? Beijos !
Sim Monique, tudo é muito recente. A gengiva deve melhorar com o passar dos dias, apenas higienize bem.
Olá dra, eu removi meu aparelho ha pouco tempo com meus dentes perfeitos e juntos, porém com pouco tempo depois se abriu um diastema nos dentes de cima de aproximadamente 1mm. Minha dentista disse que quer fechar com resina, porém não sei se faz sentido fazer um tratamento ortodôntico e sair com “falhas”, ela pediu que eu continuasse a usar o aparelho móvel e na próxima manutenção ela ia ver como estava a abertura. O que é mais recomendável que eu faça?
Gustavo, você não saiu do tratamento com “falha”… o diastema abriu depois de remover o aparelho fixo. Sinal de que esse fechamento que foi feito não é estável, e isso não é culpa da sua dentista. Quando isso acontece, ou o diastema é fechado novamente e usa-se uma contenção fixa “pra sempre” (se é que cabe uma) ou faz-se o fechamento com resina, mesmo.
Olá Dra. Ana,
Tenho um pequeno diastema entre os dentes centrais (mais ou menos 1mm). Porém eles não são 100% alinhados, um deles é um pouco pra frente. Gostaria de saber se ainda assim seria possível fechar com resina.
Obrigada!
Sim, Jordana. Esse desalinhamento, se for pequeno, pode ser corrigido com resina, também. Procure um dentista pra avaliar.
Olá Ana, excelente seu blog !!!
Tenho diastema nos dentes frontais da arcada superior e gostaria de saber qual é o melhor tratamento que devo fazer, colocar o aparelho fixo ou fazer o tratamento com resina ou porcelana,? Como já estou com 20 anos gostaria de um que desse um bom resultado estético e que não dure muito.
Obrigado pela atenção !!!
Tatiana, o tratamento mais rápido é a restauração ou faceta, que é imediato. Mas há a possibilidade de fazer o fechamento com aparelho também, o que evitaria a restauração. Vai muito do que você deseja. Sugiro a avaliação de um dentista especialista em estética (dentística) e de um ortodontista.
Oi Ana, que incrivel é voce respondendo a tantas perguntas! Parabens pelo profissionalismo!
Estou usando aparelho ortodontico fixo ha 2 meses. Meus dentes incisivos superiores estavam ligeiramente girados e os inferiores ficaram “espremidos” desde que os sisos nasceram. Coloquei mais por questao estetica, pois meus dentes sempre foram certinhos e os incisivos centrais inferiores fizeram um V pra dentro desde entao (nao precisei retirar os sisos que, apesar de terem empurrado os da frente, tinham espaço suficiente pra nascerem).
Os meus dentes inferiores ja estao alinhandos e ta tudo ok, mas nos superiores abriu um diastema entre o incisivo central e o incisivo lateral de em torno de 2mm que nao existia antes. Meus superiores eram bem bonitos e apesar de um pouquinho girados nao me incomodavam, mas agora esta feio com essa separacao. A dentista disse que com o uso de elasticos esse espaco vai fechar (mas ainda nao estou usando esses elasticos), mas gostaria de saber se é normal abrir esse espaco, pois se nao for vou ter que procurar um outro dentista antes que seja tarde. To bem preocupada pois alem de esteticamente feio, tenho medo de nao voltar ao normal depois. Obrigada demais!
Obrigada, Bethania. 🙂
Sim, é normal que, durante o tratamento ortodôntico, abram-se espaços indesejados entre os dentes. Mas tudo isso será corrigido até a época de remoção do aparelho.
Bom dia Dra. Uso aparelho há 5 anos, meus dentes eram para fora, todos juntos, meu dentista arrancou 4 molares (acho que molares mesmo), 2 em cima e 2 embaixo, realmente precisava pra ver se entrava pra dentro rsrs, ja fecharam, depois disso arranquei 1 siso em cima e 1 embaixo, falta 1 de baixo e o outro de cima ainda não nasceu (eu não sinto ele), recentemente coloquei aqueles elásticos que pegam em cima até embaixo (que é de acertar a mordida), depois que comecei a usar senti meus dentes em cima, os da frente, arredarem e ficar com um pequeno espaço, mas que me incomoda quando como e “garra” comida 🙁 aí esse mês o dentista disse que mês que vem já vai tirar o aparelho de cima, eu quero saber se eles vão ficar assim ??? Esse mês ele não disse pra continuar com os elásticos, mas também não disse que é para parar, creio que é pra continuar, mas o que você acha se eu continuar vai arredar mais? Responde minhas perguntas por favor 🙁 🙁 obrigada 🙂
Não Fernanda, seu dentista não vai finalizar o tratamento com seus dentes fora de posição e com espaços entre eles. Se ele não disse pra continuar usando os elásticos, imagina que não seja pra usar, mas estou apenas supondo. Entre em contato com ele e pergunte.
Depois de feita a cirurgia de frenectomia o diastema começa a fechar em quantos dias/meses?
Brenda, isso varia de pessoa pra pessoa. E nem sempre ocorre de forma espontânea, é provável a necessidade de uso de aparelho pra fechar o diastema.
Boa noite,
Parabéns pelo site.
Tenho diastema e usei aparelho fixo por 2 anos. Em novembro de 2015 tirei o fixo e passei a usar aparelho móvel na parede de cima onde tem o diastema) e na parte de baixo uso um fixo.
Estou usando o aparelho móvel há 6 meses (só tiro pra comer e limpar os dentes) e toda vez que tiro, basta meia hora e os dentes voltam ao normal.
Pedi pro dentista colocar fixo nos dentes de cima e ele disse que não se usa fixo no dente de cima.
MINHA DÚVIDA: Posso usar fixo em cima e não usa mais o aparelho móvel?
Marcos, via de regra não dá pra usar a contenção fixa na parte de cima porque, quando a gente morde, os dentes de baixo encostam nos de cima exatamente onde a contenção seria colada. Por isso é que se usa a removível em cima e a fixa só embaixo. Algumas pessoas, com trespasse horizontal um pouco maior, podem usar a contenção fixa em cima… mas imagino que não seja o seu caso.
Obrigado pela resposta. Mas no meu caso quando mordo, os dentes de baixo e de cima ficam certinho um em cima do outro. Os dentes de baixo não encostam no lugar onde ficaria a contenção.
Você morde topo a topo? Mesmo após a conclusão do tratamento ortodôntico? Bom… se há espaço pra fixar a contenção, você pode usar, sim.
Mal conheci o site e já estou apaixonada <3
Tenho uma duvida… Meus dentes de leite eram bem pequenos, pelos doze anos, quando quase toda dentição ja era permanente, usei aparelho removivel. Tirei o removivel com 13/14 anos e no final do ano passado, coloquei aparelho fixo. Tenho impressão que o aparelho removivel possa ter prejudicado o crescimento dos meus dentes, pois usei por um tempo um que cobria toda parte de baixo dos dentes. Praticamente todos meus dentes da frente (apenas superior) têm espaço! Minha irma disse que quando nascer o siso, esses espaços diminuirão, mas por enquanto isso me atrapalha muito, as vezes da ate uma baixa na autoestima! Por enquanto o aparelho não mudou quase nada. Tenho 16 anos, será que a melhor escolha serão as facetas???
OBS: Meus dentes são muito pequenos e cheio de espaços.
Obrigada.
Fabiana, não sei que tipo de aparelho removível você usou, mas não me parece que ele tenha prejudicado o crescimento ósseo. Pelo contrário, há uma sobra de espaço. Converse com o seu ortodontista, pois se seus dentes forem pequenos mesmo e você quiser intervir esteticamente, o ideal é não fechar esses espaços por completo, pra ampliar os dentes com facetas. É tudo uma questão de planejamento. Já se você preferir fechar esses espaços todos com aparelho, também é uma opção.
Boa noite ! Minha dúvida é referente a diastema.
Tem como diagnosticar o diastema na dentição decídua ?
Caso esse diastema seja provocado por inserção de freio labial na dentição decídua, o mesmo sendo removido por frenectomia a dentição permanente irá erupcionar na posição correta? Ou seja, sem a presença do diastema !
Drika, o diagnóstico de diastema é essencialmente clínico. Se ele está lá, é porque ele existe. 😉 Se há diastema na dentição decídua, não quer dizer que haverá na dentição permanente. Já se o freio labial é grande e houver indicação de frenectomia ainda na dentição decídua, sim, seria bom fazer a cirurgia antes que esse freio cause o diastema na dentição permanente. Sugiro a avaliação de um periodontista (dentista especialista em gengiva).
Olá! Meus dentes são bem pequenos e todos são separados, eu gostaria de saber se posso usar o aparelho, pois passei 1 ano e meio usando e ai ele inchou minha gengiva a medida q ia fechando os espaços entre os dentes e então minha gengiva entrava no espaço do aparelho quando começou a fechar, e quando eu tirei ficou muito feio! Gostaria de saber por que que isso aconteceu? Ou se foi algum erro do dentista!
Saaria, isso é hiperplasia gengival, o que, em quem usa aparelho, costuma ser causada por placa bacteriana. Ou seja: era preciso melhorar a higienização. Por outro lado, quando o espaço entre os dentes é relativamente grande, pode ficar uma “dobra” de gengiva quando o aparelho fecha o espaço, criando esse efeito que você relata. No momento, considerando que você tem dentes pequenos e separados, eu sugiro a avaliação de um periodontista (dentista especialista em gengiva) e de um dentista especialista em estética (dentística). Acho que usar aparelho pode não ser a melhor opção pra você.
Dra. tenho 16 anos e estou usando aparelho há 2 anos na parte superior, há 1 ano atrás mais ou menos eu parei de ir ao dentista por questões financeiras, retornei ao dentista agora em fevereiro, sim, fiquei 1 ano com aparelho na boca sem manutenção nenhuma. Eu tinha a mordida invertida por causa do crescimento excessivo do meu queixo, usei a mascara facial durante uns 7 meses e minha primeira dentista falou que ajudou MUITO, hoje minha mordida é normal, mas vou ter que fazer a cirurgia ortognatica quando tiver uns 18 anos e parar a fase de crescimento. Nesse período que fiquei 1 ano sem ir ao dentista eu estava com um aparelho fixo no céu da boca, acho que se chama expansor palantino, quando comecei a usar ele minha antiga dentista disse que os meus dentes da frente iam se separar abrindo uma janelinha, só que quando os meus dentes abriram foi o tempo que eu parei de ir ao dentista então fiquei quase 1 ano com eles abertos e agora que eu retornei em fevereiro minha nova dentista falou que eu irei precisar fazer uma cirurgia para ter a retirada do freio. Tenho um irmão gêmeo e ele passa o mesmo problema que eu, até do queixo, só que ele estava mais adiantado do que eu no dentista, então quando nós paramos de ir ao dentista os dentes dele ja tinham fechado e o meu estava começando a abrir, será que se eu colocar esse aparelho no céu da boca pode voltar a fechar? Ela esta certa disso, preciso mesmo fazer essa retirada, estou com muito medo por causa que vi pessoas falando que o lábio superior cai, não quero que isso aconteça, ja basta meu queixo agora meu lábio. 🙁 Sempre tive os dentes juntos só depois que eu comecei a usar essa maldita aranha no céu da boca que ele começou a abrir.
Caique, não dá pra afirmar que haja necessidade de frenectomia (remoção do freio) apenas com base na sua descrição. Se sua dentista falou que há, deve ser porque há 🙂 . Como você tem um irmão gêmeo, facilita a observação: seu irmão ainda usa o disjuntor (expansor)? Se não, quando ele tirou, os espaços entre os dentes abriram novamente?
Não me lembro muito quando ele tirou, mas acho que foi no comecinho de novembro (tempo que nós ficamos sem ir ao dentista), o disjuntor dele quebrou e logo após umas 2 semanas o meu veio a quebrar também, o dele fico um espaço muito muito pequeno, quase não da para perceber no sorriso, um milímetro mais ou menos, acho que não passa disso, já o meu tem uns 3 ou 4 milímetros, para você ter uma noção acho que só com uma foto. E quando quebrou o disjuntor os dentes dele não se separaram, e os nossos dentes sempre foram juntos. Também tem um espaço entre o incisivo central direito e o incisivo lateral, o incisivo central direito é isolado.
Então o espaço, no seu irmão, apenas não fechou por completo. O motivo pode ser o freio, sim. Mas não dá pra afirmar isso só com base no seu relato.
Ok, Dra muito obrigado. Vou pergunta a minha dentista se é necessário mesmo fazer a retirada. Agradeço
Olá doutora, uso aparelho fixo e mesmo assim meu diastema não fechou inteiro, ainda há um pequeno espaço. A dentista falou que eu devo usar resina entre eles. Como ainda sou muito jovem (tenho 14 anos) meus dentes do siso ainda não nasceram. Meu pai teve os dois de cima mas os dois de baixo não nasceram, ele tem sobra de espaço mesmo com o siso, então ele não fez a extração do siso porque nunca lhe causaram dor. Já minha mãe teve os quatro e fez a extração. Minha dentista falou que provavelmente terei os dentes do siso. Gostaria de saber se no caso de eu não fechar o diastema com resina, não precisarei arrancar o siso, ou a resina não vai influenciar nisso? Tenho sobra de espaço na boca. Obrigada desde já!
Uma coisa não influencia a outra, Daniela. Fechando ou não fechando o diastema, pode haver indicação de extração dos sisos. São questões em separado.
Boa tarde Doutora, usei aparelho fixo por 2 anos… e por motivo financeiro tive de parar alguns meses o tratamento… agora retirei… mas ficou um espaço (buraco) médio entre os dentes da frente… isso volta ao normal… o aparelho ajuda ou tem outra forma????
Sim Marlene, o aparelho fecha esse espaço, desde que você retome o tratamento.
Bom dia,
Tenho uma duvida, o freio pode voltar? É verdade que ele nasce de novo???
Passei por uma dentista que me falou que além da frenectomia eu tenho que fazer um enxerto para o freio nao voltar. Estou com muito medo, acho que não tem a necessidade de fazer um enxerto, pode me ajudar?
Erika, via de regra, não. Deve ser uma situação muito específica.
Me tire uma dúvida por gentiliza, doutora?
Fiz a cirurgia para remoção do freio labial, ocorreu tudo bem… A recuperação foi muito rápida, demorou 3 dias para cicatrizar e os pontos cairam sozinhos dentro de 4 dias. Só ficou um entre e gengiva e o lábio, fui no consultório e o dentista removeu o último ponto e até me elogiou pela recuperação rápida, contudo, 5 dias depois de ir no consultório, o freio voltou a “crescer”, tá tipo um “bolo”. Não há vermelhidão e nem dor, o que pode ser? É normal isso? Meu retorno (para retirar o aparelho) é só no próximo mês. Quando eu comprimo os labios para dentro sinto tipo um caroço entre os dentes e os labios (lá em cima próximo ao nariz).
Douglas, me parece que vai tudo dentro do esperado. A cirurgia ainda é recente, os tecidos ainda não estão bem “soltos”. Acho que você não precisa se preocupar.
Tenho diastema, faz uma semana que estou com o móvel, e nos dentes de cima uso a contenção ondulada, minha dentista disse que se ela descolar volta tudo como era antes, e que vou ficar pra sempre com ela, é verdade?
Pode haver alguma recidiva (os dentes voltarem a entortar um pouco), sim. Não que seja necessário usar a contenção pra sempre, mas o máximo possível… e, depois que ela for removida, não há garantia de que os dentes vão se manter no lugar. Não sei sua idade, mas é bom manter usar as contenções pelo menos até uns 25 anos, principalmente a inferior, porque há uma tendência dos dentes inferiores anteriores entortarem por causa do crescimento terminal da mandíbula, que ocorre até mais ou menos essa idade.
Olá Dra. Fiz frenectomia labial dia 4 de março e ja se passaram 4 dias, e tenho percebido mudança no meu sorriso. Quando sorrio meu lábio superior está “caído” e tampa os meus dentes. Está horrivel. Fiz para melhorar e só piorou. Eu liguei para o meu dentista e ele disse que logo logo ira passar. Mas eu acho que nao. Meu labio ja desinchou. Parece que ele agora ficará assim. A frenectomia em algumas pessoas pode acontecer isso? O labio pode “cair”? Me responda por favor, estou desesperada. Muito obrigada e aguardo uma resposta!! 🙂
P.s: esqueci de comentar que pesquisei o antes e depois da frenectomia e pelas imagens percebe-se que o labio superior realmente abaixa. Mas o meu abaixou muito. Vc acha que isso ocorreu porque meu freio era muito grande? (ele ia ate o ceu da boca)
Acho que é muito cedo pra achar que o lábio vai ficar da forma que está, mesmo com pouco inchaço. A evolução da cicatrização vai “soltar” o lábio, está tudo muito “preso” ainda, em franca (e inicial) cicatrização. Compreendo sua preocupação a respeito, mas realmente acho que o aspecto do lábio ainda tem muito o que melhorar nas próximas semanas.
Dra. Fiz a frenectomia não faz nem uma semana, o pós-operatório está doendo bastante, consigo comer de tudo mas dói, e percebo que está inchado, isso é normal?
Sim, Leticia. Dada a cirurgia recente, esses sintomas são esperados.
Olá doutora, terminei meu tratamento com aparelho hoje, e semana que vem esta marcada minha cirurgia, depois da cirurgia terei que usar aparelho novamente? Ficará algum buraco após a retirada da carne ?
Não Fernanda, se o tratamento ortodôntico foi concluído, não será mais necessário aparelho. Não vai ficar nenhum “buraco”.
Olá Dra. Ana!
Estou indecisa em relação a cirurgia do freio do lábio superior (devido a um diastema)… a minha preocupação é se o lábio vai ficar caído (com o tempo)… se vai afetar o sorriso. Pois já tenho 53 anos. Li um relato que aconteceu isso… depois de muitos anos de operado.
Obrigada.
Vera, não é comum que isso aconteça. Mas também não é comum fazer frenectomia na sua idade… você está usando aparelho?
Usei aparelho por 2 anos, retirei e fiquei usando o móvel a noite, durante o dia abria. O dentista achou que deveria fazer essa cirurgia e depois colocar o aparelho de novo. Eu cheguei a usar resina antes do aparelho, houve um desgaste de um dente e ficou mais esquisita a abertura… um dente ficou com mais abertura do que o outro.
Obrigada.
Vera.
Então se há indicação de cirurgia e você não quer fechar o diastema com resina, faça a cirurgia. Mas você provavelmente vai ter que usar aparelho mais alguns meses.
Olá Ana!
Foi indicada a cirurgia e usar o aparelho por mais um tempinho… só que a minha preocupação é a retirada do freio e o lábio cair (como citei lá em cima, devido a idade).
Obrigada.
É como eu disse… é improvável que isso aconteça. Mesmo considerando a sua idade. Converse com o seu dentista, exponha essa sua preocupação.
Olá doutora, tenho a “carninha” entre os dentes da frente, mas os mesmos sao fechados, ja fiz todo meu tratamento odontologico com aparelho e nao fiz a cirurgia, que somente foi pedida agora quando terminei o tratamento, se eu fizer a cirurgia ficara um buraco entre meus dentes? Terei que usar aparelho novamente ?
Rodrigo, em princípio não. A cirurgia não vai abrir espaço entre os seus dentes.
Olá, usei aparelho por 1 ano e 4 meses, fiz a cirurgia de freio e ja tirei o aparelho faz 2 meses e meus dentes separaram muito. No meu freio ainda tem muita carne. Não estou usando aparelho móvel. Eles ainda vão separar mais ? O que devo fazer?
Sofia, a cirurgia foi feita antes de você remover o aparelho? Por que você não está usando o aparelho removível?
Fui na dentista aqui na minha cidade, e ela disse que eu teria que fazer uma frectonomia, para meus dentes se juntarem. Só que essa separação é bem pequena, gostaria de saber em quanto tempo mais ou menos essa junção demora para acontecer.
Até pode acontecer, mas não há garantia de que o espaço vai se fechar apenas com a frenectomia, Larissa. Caso realmente o único motivo do diastema seja o freio labial, o espaço pode fechar em algumas semanas.
Olá doutora, usei aparelho 1 ano e 6 meses, pedi pra fazer o aparelho movel e quando fui utiliza-lo ele escapava dos meus dentes toda vez que a dentista pedia pra eu morder. Nisso ela mandou o movel pra revisão para acerta-lo e colocou uma contenção nos meus dentes de cima, pois a minha diastema é aberta, e que em 3 dias ficaria pronto. Gostaria de saber se isso é normal, pois paguei 200 reais pra chegar na hora e nao dar certo, estou apreensiva da contenção descolar e meus dentes voltarem durante esses 3 dias!!!
Acontece, Luciana. Mas se você está usando uma contenção fixa, acho que não precisa se preocupar.
Boa tarde, Dra!
Tenho 26 anos e já usei aparelho aos 17. Na época não finalizei o tratamento, pois senti uma certa insegurança transmitida pela dentista, que não me garantiu que meus dentes fossem juntar. Eu tenho dentes pequenos e separados na frente. Pra completar, tenho um dente extra entre o canino e o grande da frente (n sei o nome kkk, o de coelho). A dentista chegou a dizer que, pelo espaço que já tenho, mais o dente extra e a minha idade, não pode garantir que eu não fique com um buraco no lugar do dente extra. Ultimamente estou muito insatisfeita com meu sorriso, que além de tudo está torto por n ter concluído o tratamento. Mas também não quero tirar o dente e ficar com um buraco na frente. Você já viu algum caso em que o espaço do dente não fechou? A idade influencia na não obtenção de êxito? O aparelho é eficaz?
Aguardo retorno, grata!
Camila, às vezes é complicado de fechar o espaço, mesmo… pois o seu caso não é de falta de espaço, mas de “sobra”. Então, o que eu acho que sua dentista quis dizer é que vai continuar sobrando espaço, simplesmente porque é muito espaço pra “pouco dente”. Respondendo às suas perguntas: sim, nem sempre o espaço fecha e sim, o aparelho é eficaz, mas não faz milagre. 😉
O seu dente “extra” já nasceu ou está dentro da gengiva?
Já nasceu sim. Por sinal, olhando rápido não dá pra notar que é um dente extra. Mas depois dá pra ver que a arcada tá torta. O que eu queria mesmo era desentortar meu sorriso (que eu evito até de usar) rsrs. Seria viável deixar o dente onde está, e só alinhar a arcada? Pq minha mordida torta já está, por mim não teria problema.
Te agradeço pelos esclarecimentos! Um beijo!!
Só pra ver se eu entendi mesmo: seus 6 (7) dentes anteriores superiores são –> CANINO / INCISIVO LATERAL / DENTE EXTRA / INCISIVO CENTRAL / INCISIVO CENTRAL / INCISIVO LATERAL / CANINO. É isso? Ou você não tem incisivos laterais?
É exatamente isso!
Dá pra alinhar os dentes com esse dente extra junto… mas pode ficar estranho, por ser um dente anterior. O ideal é que ele não estivesse aí.
Já nasceu sim. Isso é ruim?
Não. O interessante é que você tem um dente a mais e, mesmo assim, sobra de espaço.
Só pra ter uma ideia de como é:
https://m.facebook.com/photo.php?fbid=1498169950457121&id=100007923903685&set=a.1397295297211254.1073741825.100007923903685&source=56&ref=bookmarks
Tá sobrando espaço aí mesmo, Camila? Não parece…
Bom, eu usei aparelho movel 3 anos e aparelho fixo 3 anos, fiz a cirurgia do “freio”, isso tudo por causa do diastema, faz cerca de 1 ano e 6 meses que retirei o aparelho e uso apenas a contenção! Percebi que os dentes se moveram durante esses 1 ano e 6 meses que fiquei só com a contenção, o que e normal, mas gostaria de saber se eles ainda vão continuar se movimentando?
Carlos, nossos dentes se movimentam a vida toda, nossa oclusão é dinâmica e se adapta às fases da nossa vida. Isso não quer dizer que os dentes vivem “entortando”, mas certamente eles vivem se “acomodando” onde for mais fácil pra eles e exigido funcionalmente. Você não vai usar a contenção pra sempre – embora fosse o ideal -, ninguém usa. E quando deixar de usar seus dentes provavelmente vão se movimentar um pouquinho. Via de regra, sem muito prejuízo.
Doutora, uso aparelho há 5 anos e os meus dentes superiores da frente, aqueles do centro, se encontram em cima mas embaixo não. Meu dentista disse que talvez não vá fechar totalmente esse espaço, é verdade ?
Isabelle, não conheço seu caso, imagino que sim. Às vezes não dá pra fechar alguns espaços com aparelho, e aí é preciso fazer restaurações. Depende do caso.
Ja gastei uma fortuna no dentista durante 2 anos, não estou satisfeito com meu sorriso, ainda tem espaço aberto e o dentista fala que tenho que corrigir com resina, mas n é o proprio que vai por e sim outro e tenho que desembolsar + dinheiro, me sinto um verdadeiro idiota !!!
Entendo sua frustração, Pedro… mas às vezes não dá pra fechar o espaço, mesmo. É preciso considerar como estão as raízes dos seus dentes dentro da gengiva. De qualquer forma, você pode procurar um segunda opinião a respeito.
Olá, uso aparelho ha 1 e 6 meses, tinha a diastema abertissima, me chamavam de bob esponja kkk, fiz a cirurgia pra remover o freio no começo de 2015, ai venho fazendo a manutenção e sinto que a gengiva que fiz a retirada inchou novamente, tem uma bolinha pequena que me incomoda, a dentista que eu fiz a cirurgia disse que eu precisava fazer retoque, mas no dia que eu fui marcar a consulta fui informada de que não existe retoque apos um ano, ou seja paguei 300 reais pra nada!!! A dentista que faço manutenção disse que vai colocar a contenção e o aparelho movel nos dentes de cima, mas não disse se a gengiva que esta me incomodando vai desinchar, eu queria saber se isso realmente vai melhorar ou se vai me trazer mais problemas, porque sinceramente nao aguento gastar mais dinheiro com dentista que não faz o serviço direito.
Não entendi, Mirian… o “retoque” custaria R$ 300,00 ou a cirurgia (frenectomia), em si? A sua dentista não trabalha mais nessa clínica?
Boa tarde, Dra.
Meus dentes superiores frontais (os centrais), desde sempre foram “bem juntinhos”. Porém de uns meses pra cá tenho percebido que parece que está surgindo um pequeno espaço entre eles, pouca coisa, cerca de 1mm no máximo. Nunca usei aparelho e já tirei os quatro cisos ha uns dois ou três anos atrás. Tenho 29 anos e gostaria de saber se isso é normal ou se pode ser algum problema.
Dani, tanto pode ser normal, embora não frequente na sua idade, quanto pode revelar um problema periodontal, ou seja, nos tecidos de suporte dos dentes (osso e gengiva). Então, pra tirar a dúvida, seria bom procurar um dentista e fazer uma avaliação.
Dra. Meus dentes superiores da frente são juntos, mas percebo que as pontas deles, somente, são separadas, já usei aparelho de correção e pensei que ia ajudar mas não ajudou, o que posso fazer nesse caso?
Kelly, seu problema deve ser anatômico, e não de posicionamento dentário. Ou seja: seus dentes não são separados, o que ocorre é que o formato deles deixa esses espaços. Nesse caso, a correção se dá com restaurações.
Olá, coloquei aparelho fixo ha algumas semanas para fechar o diastema na parte central dos dentes… O espaço é um pouco grande, queria saber quanto tempo demora a fechar.
Desde já agradeço.
Juliana, depende. O fechamento do diastema, em si, é algo rápido… coisa que pode ser resolvido em até 1 mês. Mas antes de começar a fechar o diastema é preciso um bom alinhamento inicial dos dentes, e isso pode levar alguns meses. O fechamento do diastema, via de regra, não é a primeira coisa a ser feita num tratamento ortodôntico, mesmo que seja o que mais o paciente quer.
Dra, tenho diastema e a maioria dos espaços são nos 6 dentes superiores frontais, nesses os dentes estão inclinados pra frente com os espaços maiores e nos 6 dentes inferiores frontais com pouca inclinação pra frente. Minha dentista disse que preciso extrair os 4 sisos. Minha duvida é: será mesmo necessaria a extração dos 4 sisos se tem espaços entre os dentes da frente? Me responda por favor, estou com medo das extrações.
João, uma coisa não tem nada a ver com a outra. Pode haver indicação de extração dos sisos mesmo com esse espaço anterior “sobrando”. Talvez o espaço só esteja sobrando porque os dentes estão muito inclinados para frente… ao alinhá-los, o espaço some.
Fiz a cirurgia no freio, ele inchou logo depois, já faz um mês, minha dentista recomendou q eu passasse água oxigenada, mas não adianta nada, ela falou q se não desinchar vou fazer outra cirurgia, mas não quero, como desinchar??? Me ajuda pfvvv ?
Lucia, apenas mantenha uma boa higienização. É aguardar pra ver como o seu organismo vai se comportar.
Mantive uma boa higienização e não adiantou nada, a dentista falou que irei fazer a tal cirurgia, porém não quero gastar mais dinheiro com dentista que não admite que errou (eu acho que ela errou na frenectomia), o q eu faço pra desinchar o freio? Algum remédio a me indicar?
Se está indicada a cirurgia, certamente não há outra forma de “desinchar” a gengiva. Provavelmente houve uma hiperplasia, algo que foge do seu controle ou do controle da sua dentista.
Dra. Tenho freio desde quando nasci. Uso aparelho ha quase 4 anos e não vi mudança alguma. A cirurgia não fizeram, me cobraram 400,00 a mais pela cirurgia e nada. Como já cansei de aparelho, existe a possibilidade de fechar com resina? E você sabe me informar o valor de mercado pra fechar com resina?
Juliana, se há indicação de cirurgia e você pagou por ela, você tem que fazer! Não se conforme, exija uma posição do seu ortodontista quanto à realização da frenectomia (que certamente não será ele que irá fazer, mas algum dentista terá que fazer). Diastemas de até 6 mm podem ser fechados com resina, sim. O valor depende de muitas variáveis, seu próprio ortodontista pode dar uma ideia de custo pra você.
Doutora, tenho um diastema entre os 2 dentes superiores da frente. Fiz manutençao por 4 meses e agora coloquei o elastico. Tem 2 semanas que estou com o elastico, e ainda nao fechou nada. Será que vai demorar?
Iara, cada organismo reage de forma própria ao tratamento. Talvez leve mais duas semanas pra você notar diferença, talvez mais.
Olá doutora, tenho diastema, vou numa primeira consulta na segunda que vem, eu não sentia incomodo quando eu sorria, agora eu sinto, quando eu sorrio os dentes de baixo encostam nos de cima que têm diastema, aí parece que os de baixo vão empurrando os de diastema, o que faço para aliviar até eu ir no dentista??? Aguardo resposta, obrigada.
Thaiane, aliviar o quê? Você sente dor?
Olá doutora. Minha dentista está abrindo espaço com aparelho ortodontico pra colocar dois dentes provisórios (incisivos laterais). Esses dentes tenho que pagar ou é por conta da clínica, e se for pra pagar, quanto custa em média esses dois dentes?
Felisberto, de alguma forma você vai pagar por esses provisórios… não dá para o dentista ou a clínica assumir os custos sempre que um paciente precisa de um provisório. Mas vale o que você e sua dentista combinaram a respeito.
Olá Doutora, coloquei aparelho fixo vai fazer 4 meses, e uns dias depois da minha última manutenção a gengiva que fica no espaço do diastema começou a inchar muito, e ainda está vermelha e sangra, mesmo se eu escovar devagar, já tem duas semanas e não sei por que isso tá acontecendo, tô desesperada, tá feio demais, me ajuda por favor, o que devo fazer, ainda falta umas duas semanas pra eu ir na clínica ? Por favor Doutora, obrigada. Abraço, aguardo sua resposta !
Mary, e dói? Se não, provavelmente é uma gengivite local. Continue higienizando muito bem, o sangramento é consequencia da inflamação, então não deixe de escovar por causa disso.
Doutora, usei aparelho durante 6 anos. Quando retirei o aparelho eu não usei aparelho movel, só um fio de aluminio e resina atras dos dois dentes superiores centrais. Quando caiu a resina, meus dentes começaram a se separar. Fui em uma clinica e a dentista me pediu para eu fazer a cirurgia da retirada do freio labial superior para eles voltarem a fechar novamente. Porem meu dentista disse que não precisou retirar todo freio. Ai eu te pergunto: os dentes centrais superiores irão se fechar ou é preciso usar novamente aparelho fixo?
Fiz a cirurgia ontem, 28/12/2015, dia 04/01/2016 irá fazer 7 dias e irei remover os pontos, quanto tempo vai levar para os meus dentes centrais superiores fecharem ou é preciso usar aparelho fixo novamente?
Renato, pode até haver um pequeno fechamento apenas com a remoção do freio, mas é quase certa a necessidade de ter que usar aparelho novamente. Converse com o seu dentista.
Olá! Usei aparelho já tem uns 5 anos. No início e até poucos meses atrás meus dentes eram todos alinhados, até eu fazer uma cirurgia de retirada dos 4 cisos. Depois daí eu não sei por qual associação ou motivo os meus dentes começaram a se desalinhar e abrir espaçamento entre eles, desde então sinto muita dor quando como algum alimento que fique preso entre eles. Toda vez tenho que sair correndo pra pegar fio dental e daí quando passo o fio dói demais, é péssima a sensação. Usei contenção. A minha dúvida é saber se tem relação a retirada dos cisos, pois ja havia anos que nada mudava e desde a cirurgia em questao de uma semana eles começaram a se desalinhar. E o que posso fazer para amenizar o incômodo diastema até que seja feita utilização de aparelho ou correção com resina?? Grata!
Caroline, a extração dos sisos pode, sim, ter promovido uma sobra de espaço, que fez seus dentes se movimentarem, criando espaços entre eles. A dor que você sente se dá pelo impacto do bolo alimentar diretamente contra a gengiva, pois a falta de contato entre os dentes deixa a gengiva desprotegida. Não há muito o que fazer pra evitar esse incômodo além de usar o fio dental logo após cada refeição. Nem quanto ao diastema, até que ele seja fechado.
Oi Dra., eu fiz frenectomia, usei aparelho por 3 anos e coloquei depois o aparelho de contenção. Porém meu dentista mandou eu usar o de contenção por 6 meses, já deu seis meses e parei de usar, mas o meu dente voltou a abrir, o que eu posso fazer?
Obrigada.
Vanessa, tente voltar a usar a contenção… se ela ainda entrar, ótimo, é provável que o espaço entre os dentes se feche. Se não, ou você opta pelo fechamento com restauração, ou é preciso usar aparelho fixo novamente (mesmo que por pouco tempo).
Olá, Ana; Tenho 31 anos e estou usando aparelho ortodôntico pela segunda vez, a primeira foi dos meus 14 aos 17 anos quando meu diastema foi fechado com elástico corrente sem necessidade de frenectomia. Já naquela época, o ortodontista falava que, mesmo sem extração dos sisos, ainda sobrava espaço em minha maxila e mandíbula, o que poderia acarretar a volta dos diastemas. Após retirada do aparelho fixo, usei o aparelho móvel por aproximadamente 8 meses, porém, após esse período, parei de usar o aparelho móvel e não dei continuidade aos exercícios recomendados pela fonoaudióloga para tratar disfunções de motricidade orofacial que ela identificou. Com o tempo, desenvolvi disfunção na ATM e também ocorreu a volta de alguns diastemas sendo os maiores os localizados entre os incisivos centrais superiores e também entre o canino inferior direito e o incisivo lateral inferior direito.
Voltei a usar aparelho há 2 meses e, dessa vez, a ortodontista recomendou a extração dos 4 sisos, pois disse que esses estão pressionando os molares adjacentes, bem como uma frenectomia para fechamento do diastema localizado nos incisivos superiores.
Porém, além da frenectomia, a ortodontista também recomendou ostectomia para extração de formação óssea localizada entre os incisivos.
Minha dúvida é com relação a esses dois procedimentos combinados e ao tempo de recuperação. Nunca fiz nenhum procedimento cirúrgico, nem mesmo restaurações e estou um pouco nervosa…
Questionei o odontologista que fará os procedimentos e ele disse que são procedimentos simples, porém, como nunca fiz nada parecido, não sei o que esperar…
Lisiane, são procedimentos relativamente simples, realmente. Quando se “mexe” em osso, o pós-operatório costuma ser um pouco mais “chato”… mas nada que a medicação analgésica não resolva. O tempo de recuperação é basicamente o mesmo da frenectomia comum, talvez 2 ou 3 dias a mais. Depois de pouco mais de 1 semana você já deve ter uma boa cicatrização inicial, e aí é vida normal.
Dra, infelizmente ontem meu incisivo lateral caiu, em abril eu dei uma pancada na raiz desse dente com a escova, e de la pra ca ele começou a balançar e doer, só que pela falta de tempo, pois estava no fim da faculdade, eu deixei pra la e descansei, mas acabei perdendo ele, saiu sem sangrar, caiu do nada e não quebrou, pelo que li pode ser por periodontite, mas enfim, será que consigo fechar o espaço com ortodontia, pois meu caso é de dentes tortos e caninos apinhados.
Poliana, provavelmente não foi por periodontite, mas por reabsorção radicular, resultado direto do trauma. Sim, é possivel fechar o espaço com aparelho, mas é preciso considerar se essa é a melhor opção no seu caso. Procure um ortodontista pra avaliar.
Olá Doutora, eu perdi um dos incisivos centrais e uso uma prótese, mas tem um espaço que mesmo com o aparelho não esta fechando, o que faço, estou preocupado com minha estética, já faz 2 anos e 8 meses que uso, ja troquei de dentista 3 vezes pq eles não conseguiam fechar o espaço e vinham com a desculpa de fazer o implante depois corrigir com aparelho. Estou muito preocupado.
Onde fica esse espaço, Marcelo? Junto ao espaço do incisivo perdido?
Depois de uma frenectomia, há possibilidades do freio voltar? Como saber se foi retirado tudo q era preciso? Pq vejo que bem entre os dentes ainda possui uma “linguinha”, é verdade q comparada a q eu tinha antes ñ é nada, pois era bem volumosa, mas tenho medo q tenha ficado algo q ñ era p ficar.
Não Samini, o freio não volta. E a “liguinha” é o seu novo freio labial, agora do tamanho adequado.
Olá Doutora, fiz a cirurgia de retirada do freio, após a retirada do cimento cirúrgico ficou um buraco muito feito, quanto tempo demora para se regenerar?
A cicatrização vai levar algumas semanas, Juliana.
Bom dia, Dra. Meu diastema é entre os centrais e já faz 3 anos que minha dentista colocou resina pra fechar ele. Agora eu vou por aparelho por outros motivos e também devido aos diastemas que eu tenho entre o lateral e o central. Eu vou por o Invisalign, aquela plaquinha, e queria saber se eu tenho que remover a resina pra fazer o molde pro aparelho. Pro aparelho juntar meu diastema eu tenho que moldar sem a resina né? Não queria ficar com o dente aberto até o aparelho chegar.
Não Emily, a moldagem é feita com a resina, do jeito que está. Não é preciso removê-la.
Olá dra, tem como moldar o meu dente, tipo lixando, depois que colocar a resina?
Quero colocar, mas tenho medo de ficar muito na cara que é resina!
Nossos dentes, pelo menos o da maioria das pessoas, tem uma “entradinha” tipo um /\ (como uma letra V de cabeça p/ baixo, pequenina), é possível o dentista fazer isso logo depois que deixar meu dente quadrado?
Pois conheço uma pessoa que usou resina e está com os dentes ? ? (assim) retos, sem esse detalhe do V (virado)…
Abraço
Julia, é possível reproduzir qualquer detalhe anatòmico com resina ou desgastes. O dentista estuda anatomia dental pra isso. 🙂
Boa noite Dra, se eu colocar resina na minha diastema, quanto tempo em média ela dura? E quando ela começar a escurecer (se escurecer) o dentista consegue tirar com facilidade, deixando meus dentes exatamente como antes? Dra. Se eu colocar resina na minha diastema, é possível amarelar? E se amarelar, quando eu for retirar, dá p/ deixar meu dente como antes? Tenho medo de me arrepender.
Camili, a duração de qualquer restauração depende muito dos hábitos do pacientes (higiene, alimentação, etc.), assim como da própria confecção dela. Pode durar 2, 3, 5 anos. Se não for feito nenhum desgaste no dente, em tese, a restauração pode ser removida, sim. Mas não faz sentido fazer uma restauração pensando em removê-la, então pense bem se realmente você quer fechar esse diastema com resina.
Doutora, tenho diastema de 3mm nos dentes centrais superiores, se eu fizer o fechamento com resina quanto tempo vai demorar pra eles se fecharem mesmo?
Luana, o fechamento em resina é imediato.
Dra, meu dentista fechou minha diastema com resina, mas meus dentes estão parecendo que são um único dente! O resultado ficou artificial. Por isso que estou pensando em remover.
Ele não fez o detalhe em baixo, os meus dentes ficaram muito juntos e só estão separados por um espaço que nem dá p/ enxergar.
É possível consertar isso? Ou terei que retirar a resina toda e colocar outra? Quero um resultado mais natural e não dois dentes grandes grudados :((
Obrigada novamente :))
Bianca, se for só a questão anatômica (do formato dos dentes), é fácil de resolver, com um pequeno desgaste. Procure seu dentista e relate o problema.
Olha, eu tenho os dentes da frente separados e pra frente, ai eu so consultei um dentista ate agora, ele me disse que eu tenho que fazer frenectomia ai em seguida colocar aparelho fixo, so que eu não quero fazer a frenectomia, eu vou consultar outros dentistas pois eu queria saber se é possivel eu colocar o aparelho pra depois fazer a cirugia ou se é mesmo necessario a cirugia, e q eu ja vi casos parecidos e que eles colocaram aparelho pra depois realizar a cirugia com o aparelho mesmo, ou se eu podia colocar aparelho sem fazer a cirugia.
Kelly, você pode clocar o aparelho antes de fazer a cirurgia. Mas vai ter que fazer a cirurgia.
Dra, boa tarde.
Tenho um espaço entre os dentes centrais de aproximadamente 7mm, gostaria de saber quanto tempo em media leva para que eu possa fecha-los totalmente, e confesso que o maior receio é sobre o aparelho, qual seria o tipo/modelo de aparelho que tenho que usar?
David, o fechamento de um diastema não é algo demorado, em si (pode levar 3, 4, 5 meses)… o que demora é alinhar os dentes satisfatoriamente pra, só então, começar o fechamento. Há uma “ordem” de procedimentos pra se corrigir a posição dos dentes, e o fechamento do diastema não costuma ser um dos primeiros. O tipo de aparelho varia, pode ser convencional, estético, lingual… todos eles podem ser usados pra fechar um diastema.
Olá! Coloquei uma resina na minha diastema, mas ficou um pouco estranho. Estou pensando em retirar. Essa retirada prejudicará meus dentes incisivos centrais?
Quero que continue como era antes.
Att, obrigada! Conto muito com sua resposta! :))
Bianca, se seus dentes não foram desgastados, em princípio é só desgastar as restaurações e pronto. Mas eu sugiro que você aguarde mais um pouco pra se habituar, porque é muito comum que a pessoa ache estranho o sorriso com o diastema fechado, mas via de regra o resultado estético é muito melhor do que com o diastema aberto.
Doutora, removerei meu aparelho ortodôntico daqui a 3 dias, mas só ontem voltei a perceber algo que me preocupou um pouco. Existia um diastema entre meus incisivos centrais superiores que aos poucos foi desaparecendo, até que não mais existia. Hoje, o espaço entre os dois dentes é imperceptível, mesmo olhando bem de perto no espelho. Porém, somente quando uso fio dental, um espaço aparece na região superior entre os dentes, abaixo da gengiva. O espaço é realmente pequeno, até porque os dois dentes se encostam na base, mas em menos de um minuto o espaço some. Se os dois dentes já estão totalmente juntos na base deles, e o espaço na parte de cima (abaixo da gengiva) é quase imperceptível (porém um pouquinho mais perceptível ao usar fio dental) é possível que esse espaço seja normal e não precise de reparo? Desde sempre considerei o diastema solucionado, mas sempre que usava fio dental notava esse pequeno espaço, que logo desaparecia após o uso. Muito obrigado pela ajuda desde já!
Allan, essa é uma questão anatômica, não de posicionamento dentário. Como você descreveu, os dentes estão encostados “na base”, ou seja, o aparelho fez o que tinha que ser feito, fechou o espaço, mas seus dentes devem ser mais triangulares, e fica esse espacinho perto da papila interdental. É compreensível que ele apareça mais quando você usa o fio dental, já que isso afasta a gengiva do dente momentaneamente.
Olá Ana… bomm diaa!! Vamos ao que interessa rs.
Tem 2 anos que uso aparelho, meu dente era muito torto.
Estou quase tirando o aparelho, só que estou com uma dúvida, pois estou com um diastema no dente incisivo lateral esquerdo… Já usei aquelas borrachinhas trançadinhas para fechar o espaço entre os dentes… só que quando meu dentista tira aquelas borrachinhas e coloca as normais o diastema volta… e a gengiva perto do dente com diastema está inchada, será que a gengiva está atrapalhando meu dente a fechar? Será que vou precisar de gengivectomia? Meu dentista não falou nada ainda sobre isso. Já colocou aquelas borrachinhas trançadinhas uma 5 vezes, ai fecha e quando tira abre… Zig-zag rsrs Bjoos
Lía, sim, o problema pode ser a gengiva e, nesse caso, pode estar indicado algum tipo de cirurgia gengival. Converse com o seu dentista.
Olá doutora, tenho diastema superior 3mm. Nas duas últimas semanas meu freio labial inchou muito e não melhora por nada. Troquei creme dental, enxaguatório e melhora zero. Não fiz nenhum procedimento. Outra coisa que gostaria de perguntar é sobre a possibilidade de fechar meu diastema sem a necessidade de usar aparelho ortodôntico. Já visitei 3 dentistas, e mesmo o meu diastema sendo de apenas 3 mm nenhum deles se dispos a fechar com resina sob a justificativa de que a resina iria cair, ou meu dente iria ficar muito largo e com a uma estética prejudicada, ou que meus dentes são muito pequeno e iriam passar os outros. Tenho os dentes alinhados, nenhum maior que o outro, então gostaria de saber se isso procede. E quanto ao inchaço repentino no freio, o que poderia ser?
Thais, parece ser uma gengivite local. Quanto ao diastema, se os seus dentes são “curtos”, fechar com resina pode deixá-los muito largos, mesmo. Eu sugiro uma avaliação com um dentista especialista em estética (dentística), pode ser que seus dentes não sejam realmente curtos, mas que estejam desgastados ou que haja coroa dentária “escondida” sob a gengiva.
Olá Ana… Boa tarde… Eu estou com um diastema no incisivo lateral, eu uso aparelho tem 2 anos e 3 meses, estou quase tirando. Meu dente era muito torto… Mas vamos ao que interessa. Meu dente não para fechado, meu dentista coloca aquelas borrachinhas trançadas ai fecha… ai ele tira as trançadas, abre… já deve ter repetido isso umas 5 vezes esse zig-zag rsrs.
Será que vou precisar de gengivectomia ? Pode ser por causa da gengiva ? Ela ta um pouco gordinha rsrs
Pode ser por causa da gengiva sim, Lia. Aí poderia ser necessária a gengivectomia ou a frenectomia, se o freio labial estiver muito grande ou baixo. Converse com o seu dentista.
Doutora, tenho um dente extra entre os principais de 6mm, tem um média de tempo pra fechar com o aparelho ortodôntico?
Cris, não se entendi bem a pergunta: você tem um espaço de 6mm ou um dente a mais que tem 6mm entre os 2 dentes da frente? Me explique melhor.
Olá doutora Ana, coloquei aparelho em abril de 2010, extrai 4 pré molares. Em novembro de 2011 decidi trocar de dentista e só voltei ao tratamento em junho de 2011. O dentista com quem faço meu tratamento há 4 anos, inicialmente, me deu um prazo de 2 anos a 2 anos e meio. Entendo que possa haver demoras, mas atualmente ele não sabe me dar um prazo pra o término do tratamento porque meus dentes se movimentam de forma lenta. É possível isso ou estou sendo enrolada? Também tenho outro medo, o de que não fosse necessária a extração e por isso não se consiga fechar um diastema entre o canino e incisivo lateral superior. Todos os diastemas fecharam, menos este no lado esquerdo. Está com 4mm e penso em procurar outro profissional para fechar com resina, embora tenha poucas esperanças pois é só de um lado. Não sei mais o que fazer pois são ao todo 5 anos com este diastema, inicialmente eu só queria consertar um canino que era levemente levantado (o do lado direito), mas meu caso era de má oclusão classe II e foi necessário tudo isto. Estou bem decepcionada porque já não aguento mais usar aparelho e ainda mais sem um prazo para o término. O dentista é obrigado a pelo menos nos dar um prazo?
Sa, não tenho como opinar apenas com base no seu relato. Sim, em alguns pacientes o tratamento é mais lento. A sobra de espaço pode ser um fator complicador quando se pretende fechar um diastema, pode estar acontecendo isso. Outra possibilidade é que as raízes estejam se tocando dentro da gengiva, aí os dentes não “andam”. Converse com o seu dentista, seja franca, e peça que ele também seja. Algum prazo deve haver… se não há, que ele esclareça por que não.
Então não adianta eu falar “eu quero que tenha duas manutenções” porque cada caso é um caso? Que tipo de caso necessita de duas manutenções por mês por exemplo?
Daniela, você pode falar o que você quiser para o seu dentista / ortodontista. Mas se o seu pedido não for for possível dentro do seu plano de tratamento, não vai dar pra atendê-lo. Converse com o seu dentista. Os exemplos eu dei no comentário anterior.
Então por que tem dentista que faz duas manutenções por mês, que diferença isso faz nos dentes?
Depende do plano de tratamento. Em aparelhos estéticos, por exemplo, às vezes é preciso trocar as borrachinhas a cada 15 dias porque elas mancham muito facilmente. Alguns tipos de movimentações e dispositivos exigem ajustes mais constantes, também. Depende do caso.
Tenho uma filha de 9 anos e tem uma separação entre os dois dentes maiores da frente, pois teve um dente a mais entre os dois (o que também aconteceu na dentição de leite) e que já foi arrancado pelo dentista. Será que não é altura para fazer uma união dos 2 dentes maiores que estão separados só com elásticos nos mesmos ao invés de esperar para mais tarde colocar aparelho que ocupe a boca toda? Obrigada pela sua opinião!
Não Marta, em princípio não é hora de intervir, porque ainda há dentes permanentes dentro da gengiva, e movimentar esses 2 dentes pra fechar o diastema pode interferir na irrupção dos dentes que ainda não nasceram. É normal e esperado que crianças tenham diastema entre os incisivos superiores.
Dra. Ana, meu nome e Jheisy, estou um pouco desesperada, eu fiz uma cirurgia pra retirada de um freio que eu tinha na frente dos meus dentes, deixando assim eles separados, meu dentista me relatou que ele era grande, que não bastava somente cortar ele na frente, teria que cortar atrás tbm, levando a cirurgia até o céu da minha boca, enfim ficou um buraco na minha gengiva, já está tudo cicatrizado, faz 3 meses que fiz a cirurgia, consigo ver o a raiz do meu dente, minha sorte que tenho a boca um pouco grande, sendo assim ngm consegue ver esse buraco… Poderia me explicar o que poderia ter acontecido, se talvez ele pode ter cortado esse freio demais impossibilitando o nascimento da carne. Obrigada desde já ! Beijo.
Jheisy, se você que há algum problema, converse com o seu dentista. Acho improvável que tenha sido retirado tecido demais. Mas, se por acaso foi, ele tem que corrigir isso.
Exemplo: foi determinado que eu use aparelho por dois anos, com uma manutenção por mês, se eu fizer duas manutenções por mes, eu vou usar o aparelho por 1 ano?
Não Daniela, não é assim que funciona. A movimentação ortodôntica tem um certo tempo pra acontecer… quando o aparelho é ajustado, leva de 3 a 4 semanas pra que esse ajuste movimente os dentes da forma desejada. Por isso é que não dá pra antecipar a manutenção. A movimentação ortodôntica é lenta e com força controlada.
Olá Dra,
Estou usando um aparelho fixo estético para correção dos dentes e do diastema e vamos começar a retirar a resina aos poucos para não aparentar meu diastema. Acredito que meu diastema seja em torno de 6 mm. Quanto tempo em média demora para juntar completamente?
Ca, o fechamento de diastemas costuma ser rápido, questão de poucos meses. Digamos que seu dentista remova 1 mm de resina por mês, levaria uns 6 meses.
Oi…. usei aparelho por cinco anos, dai tirei e tive um diastema nos dois dentes superiores, mas foi um diastema muito pequeno, entao coloquei aparelho ontem para consertar e meu dente já fechou, eu já posso tirar?
Não, Leticia. Com certeza o diastema vai abrir de novo, é preciso que o resultado se estabilize. Converse com o seu dentista e peça uma previsão de tempo de tratamento.
Olá Ana. Meu nome também é Ana rsrsrs, tenho diastema e coloquei o aparelho fixo, mas com as borrachinhas normais, eu vi q a borrachinha trançada que fecha e n o normal, isso e vdd ?
Ana 🙂 , até é verdade. Mas há outras formas de se fechar o diastema também, e nem sempre ele pode ser fechado de imediato, é preciso que já haja um bom alinhamento / nivelamento dos dentes. Quando for a hora, seu dentista vai fechar o diastema.
Olá doutora, tenho diastema nos dentes da frente, 2mm, e está sendo sendo aproximado com aparelho ortodontico, aqueles com liguinhas, vizinhos a estes dentes tbm há espaços. Faltou nascer 2 dentes vizinhos aos caninos. Minha dentista está usando o aparelho para empurrar mais indo pra trás, pra poder colocar os dentes provisórios, de resina. O problema é que vou ficar com dois buracos vizinhos ao caninos até que ela coloque os dentes de resina. Tem como melhorar a estética até ela fazer isso, ou vou ter que conviver com essa anomalia?
Felisberto, como sua dentista está abrindo os espaços, dá pra colocar pequenas próteses de resina (“dente de estoque”) presas ao próprio aparelho e ir aumentando a largura dessas próteses a medida que o espaço aumenta. Converse com a sua dentista.
Olá doutora… Gostaria de saber se existe algum procedimento que faça com que seu dente fique “maior”, por exemplo, os meus dois dentes do meio são maiores que os outros dois que estão ao lado, já me apelidaram de coelha rs, mas tem como arrumar? Ou então, o procedimento de “empurrar” a gengiva, a Sra tem alguma ideia de quanto custa? Só pra eu ter uma base? Agradeço desde já.
Juliana, as duas coisas são possíveis: aumentar o dente ou diminuir a gengiva. Mas pra saber o que é o mais indicado em cada caso, é preciso uma avaliação criteriosa. Pode ser que não seja preciso nem fazer uma coisa nem outra, mas o problema seja de alinhamento dentário, o que deixa os dentes anteriores projetados para frente e com aparência de maiores. Enfim: procure um dentista pra identificar o que se aplica ao seu caso. Sugiro um especialista em estética (dentística), em princípio.
Ola Dra, tenho diastemas. Queria saber se nesse espaço pode dar alguma cárie? Porque desde que meus dentes permanentes nasceram tenho uma manchinha em um deles. E se eu tivesse alguma cárie nesse espaço, meu dentista falava!? Pq sempre pergunto. Obrigada desde já.
Maria, sim, pode aparecer cárie em qulaquer superfície dentária, em diastemas também (embora seja improvável). Sim, se houvesse cárie, seu dentista falaria.
Obrigada Dra, mas e que nessa manchinha vejo um pontinho minusculo, não sei se e coisa da minha imaginação. Pq uma hora eu vejo depois não vejo mais, as vezes some. Só consigo ver esse tal pontinho com uma luz e quase não vê. To fazendo um tratamento pra colocar o aparelho e fechar os diastemas. Me ajude Doutora. Isso pode ser uma cárie? Estou muito preocupada.
Poder pode, Maria. Mas se seu dentista já viu e não disse nada…
Na próxima consulta, peça pra ele verificar especificamente esse “pontinho”.
Boa tarde / dia! Tenho uma duvida, Eu tenho um diastema… não muito grande mas eu gostava de o fechar… portanto vou usar aparelho… mas tenho 4 microdentes que vou ter de aumentar… posso depois mal tire o aparelho usar alguma massa para aumentar esses dentes e ficar com o sorriso perfeito ? E quanto tempo devo ficar com o aparelho para o diastema desaparecer ?
Daniel, sim, é possível restaurar esses 4 microdentes / dentes conóides. Mas isso não precisa ser feito depois do uso de aparelho, depende do caso… pode ser antes, pode ser durante o tratamento. É questão do seu ortodontista planejar o caso. O fechamento do diastema costuma ser rápido (alguns poucos meses), porém só se começa a fechar o diastema depois de um certo alinhamento de todos os dentes… então certamente não será a primeira coisa que o ortodontista vai fazer. Procure um ortodontista pra avaliar.
Hum ok! Eu estive a falar com a ortodontista e mandou-me fazer um Raio X, etc… Que depois vai examinar o meu caso e implementar o aparelho. Ela diz que eu não sou um caso com urgência visto que os meus dentes estão praticamente todos direitos, que era mais para fechar os diastemas, ela diz que depois do aparelho me coloca ceramica ou massa (não percebi isso muito bem ainda) e acrescenta-me os dentes que tenho pequenos…
🙂
Boa noite, em primeiro lugar obrigada pela disposição em responder a todos, tbm tenho uma pergunta, é certo fazer a frenectomia antes de colocar o aparelho? O espaço fica mais evidente?
Pode ser feita antes ou durante o uso de aparelho, Sergiane. Depende da indicação do seu dentista. Não, o espaço não fica mais evidente.
Dra, eu tinha um diastema frontal, ele foi fechado com o uso do aparelho fixo, se eu não usar o aparelho de contenção ele pode abrir novamente ?
Pode, Vinicius. Diastemas costumam ter grande chance de recidiva (de abrir novamente), principalmente sem o uso da contenção.
Olá, uso o aparelho fixo faz 3 anos para fechar os espaços de mais de 3 dentes, porém ainda não fiz a cirurgia para retirar o freio, minha dentista disse que eu iria ter que usar o aparelho de contenção, pois está com medo de abrir de novo, e ainda tenho que fazer uma outra cirurgia para retirar excesso de gengiva, tenho algumas dúvidas: fazendo remoção do freio corre risco de abrir de novo ? A cirurgia de retirada da gengiva é eficaz? Volta a crescer novamente ?
Mariana, mesmo com a remoção do freio, se você não usar a contenção, pode voltar a abrir o espaço, sim. Já a cirurgia de remoção de gengiva é eficaz sim, desde que a razão da hiperplasia gengival seja removida (que geralmente é o acúmulo de placa, então a higienização bem feita evita que a gengiva cresça de volta).
Doutora, é normal sentir dor após fechar o diastema? Faz três dias que fechei e ainda sinto dor de vez em quando quando mastigo, e sempre quando toco! Obrigada.
Carolina, fechou como? Com aparelho? Com restauração?
Olá doutora.
Eu tenho todos os dentes separados, tanto os de cima quanto os de baixo e os da frente mais que os de trás. Meu siso está nascendo e me disseram que quando todos eles nascessem meus dentes juntariam, será que isso é verídico? Eu realmente não gosto de todo esse espaço entre eles, mas o custo pra usar resina em todos eles seria alto, por isso eu gostaria de saber se eu espero os sisos nascerem ou se eu boto aparelho, acredito que o meu problema seja genético pois o meu pai também possui os dentes separados.
Obrigada.
Lindaines, não compartilho da opinião de que os sisos “empurrem” os outros dnetes quando nascem… então eu não aguardaria eles nascerem com essa esperança. Procure já um ortodontista e faça uma avaliação, aí você já fica sabendo das possibilidades de tratamento no seu caso.
Dra. que tipo de a alinhação com o aparelho que tem que ficar o dente, a senhorita pode me mandar uma foto por favor?
Os centros dos dentes têm que ficar alinhados e na altura adequada. Não tem como enviar uma foto pra você, pois cada caso é um caso.
Bom dia, Dra! Usei aparelho fixo por quase 6 anos (embora não tenha frequentado regularmente as manutenções), tirei em 2012, não usei o móvel, pois nunca ficou bem ajustado na minha boca, hoje não cabe mais. Antes do aparelho, tinha um diastema do lado direito do dente central, após a retirada, o diastema passou para os dentes centrais. Não gostaria de usar aparelho novamente, mas tenho medo que o espaço fique muito largo, pois já está me incomodando. Com relação a colocar resina, tenho medo de colocar e cair e ficar mais feio ainda, além disso, tenho os dentes muito amarelados, acho que com a resina pode não ficar visivelmente bonito. Gostaria de saber se tem alguma recomendação a respeito. Mandei as fotos para o email: [email protected].
Outra coisa. tenho muitas restaurações feitas com amálgama, gostaria de tirar e colocar resina, é recomendável?
Desde já, agradeço.
Maria Renata, se você não pretende usar aparelho novamente, o fechamento do diastema com resina, considerando as fotos que você mandou, é possível e deve ficar bem natural. A cor da resina não é problema, basta usar a cor adequada e a restauração não ficará visível. Quanto a cair, embora seja possível, é bem improvável. Acho que você não precisa se preocupar quanto a isso.
Quanto às restaurações de amálgama, se você quiser MUITO trocá-las, se esteticamente elas REALMENTE incomodam você, procure um dentista pra avaliar e faça a troca. Mas tenha em mente que sempre corre-se o risco de haver sensibilidade após as restaurações, não é incomum esse tipo de queixa.
Ok, Dra. Ana. Muito obrigada!
Olá Dra. Ana, uso aparelho fixo ha 4 meses e o meu dentista usa a forma de ir fechando dois em dois (começamos pelos da frente) com um fio cruzado (ainda estamos nos da frente e o espaço que existe agora é muito pequeno, quase não se nota mais), segundo o meu dentista os meus dentes são perfeitos, e o único “problema” são os diastemas, queria saber se essa forma funciona para o fechamento de diastema ou o ideal seria mesmo usar a corrente elástica ?
Ceandre, essa forma funciona, sim. Cabe ao ortodontista indicar a melhor forma de fazer qualquer movimentação dentária, inclusive fechamento de diastemas.
Bom dia,
Coloquei aparelho justamente para ajustar o diastema que eu tinha entre os dois dentes da frente, minha mordida se encaixa perfeitamente, a finalidade era exclusivamente estética, fiz a retirada do freio também, porém meu dentista me disse que as vezes o problema é genético e casa abrisse não teria como fechar esse espaço e infelizmente após a retirada do aparelho ele voltou a abrir, nesse caso eu posso fazer o fechamento com resina?
Obrigada.
Suzane, se o diastema tiver no máximo 6 mm (imagino que tenha bem menos que isso, se você até já usou aparelho), pode sim.
Boa tarde doutora, uso aparelho ortodôntico há quase 7 anos, meus dentes superiores da frente eram muito separados, e eu fiz a frenectomia. Só que quando meu aparelho descola por algum motivo, em menos de uma semana é possível ver que os dentes abrem espaços novamente. Minha dentista disse que a raiz dos meus dentes estão todas certas e não vê explicação para os mesmos estarem separando. O que pode ser ? Depois que eu retirar o aparelho eles podem abrir novamente ?
Dayanna, diastemas costumam ter alto potencial de recidiva, mesmo. Isso quer dizer que quando você remover o aparelho fixo, vai ter que usar contenção por muito tempo… talvez “pra sempre”. Seria o caso até de pensar em algum tipo de contenção fixa ou de deixar o distema abrir e fazer a correção com restauração de resina.
Olá Doutora! Meu ciso inferior direito está “nascendo”, pelo menos parte dele, e uma parte está coberta pela gengiva e depois de algumas pesquisas aqui mesmo na internet, descobri que essa dor e inchamento da gengiva se chama pericoronarite. A dor e o inchaço é só ao redor do dente. E não sei se tem algo a ver, mas meu pescoço tem ficado muito tenso no lado do dente em questão. Gostaria de saber se esse problema é algo sério.
Álamo, não que seja grave em si, mas é uma inflamação / infecção que merece atenção, sim. Sugiro que você procure um dentista pra avaliar assim que possível.
Olá, uso o aparelho ortodontico há 1 ano e 8 meses, hoje fiz o molde para a realização do aparelho móvel, porém alguns dos meus dentes possuem um espaço aberto ainda, o dentista disse que era por causa da minha mordida, e depois ele colocaria a resina nos espaços, a minha dúvida é, a resina é colocada logo após que retirada do aparelho ou depois do término do uso do aparelho móvel?
Larissa, em princípio, assim que o aparelho fixo for removido é possóvel fazer as restaurações. Porque o aparelho removível não vai fazer nenhuma movimentação dentária, apenas manter os dentes na posição em que já estão.
Bom, aconteceu o mesmo comigo, o que ocorreu com a Larissa, porém o dentista não comentou nada do que ela citou, apenas disse que ia colocar o aparelho móvel. Os espaços que estão sobrando irão juntar com a ajuda desse aparelho ? Ou irei necessitar de fazer algo a mais ?
Não Luiza, os espaços não devem se fechar com o aparelho removível. Talvez a intenção do seu dentista seja fechar com resina, também. Converse com ele.
Olá doutora, usei aparelho fixo até uns 3 anos atrás e o diastema foi fechado, mas hj o diastema voltou a aparecer, gostaria de saber se realizando a cirurgia de remoção do freio labial o problema é resolvido.
Att,
Fábio
Fabio, se a causa do distema for o freio labial, a remoção dele ajda muito. Mas talvez não seja suficiente pra que o diastema se feche sozinho, é bem possível que seja preciso usar aparelho novamente.
Olá Dra.
Eu já venho ha um tempo questionando qual seria o melhor a se fazer em relação ao meu diastema, contudo, cada profissional que eu vou me diz uma coisa e eu tenho ficado realmente confuso e não quero tomar nenhuma decisão errada quanto a isso.
Gostaria de sua opinião a respeito. Segue o link com uma foto do meu diastema. Obrigado 🙂
http://imgur.com/kztMW5A
Luca, embora se recomende que se tiver até 6 mm um diastema pode ser fechado com resina, eu acho que o seu é grande demais pra isso… pode ficar esquisito. Se você estiver disposto a se submeter a um tratamento ortodôntico, eu acho que fechar com aparelho seria melhor.
Olá doutora! Estou para tirar o aparelho, ja era para ter sido feito mês passado, porém não pude retirar a parte de cima porque havia um pequeno espacinho, quase não visível, entre os meus dentes da frente. Minha dentista fez umas “dobras” no fio, e me disse que em aproximadamente 2 semanas esse espacinho fecharia. Até agora não fechou e já passaram duas semanas. Parece que embaixo os dentes já estão bem encostados, mas na parte superior, perto da gengiva ainda existe este espaço. Tenho medo que não feche até eu ir para minha próxima manutenção e eu não consiga tirar o aparelho. Tem algum outro método para fechar esse espacinho nas próximas duas semanas? Ou é normal essa lentidão? Acredito que o espaço seja de 1mm ou 2mm.
Obrigada.
Marina, 1mm ou 2mm até que não é pouco. De qualquer forma, às vezes demora mesmo… e olha que 2 semanas não é nada em se tratando de ortodontia. Existem várias formas de se fechar espaços, como elásticos corrente, amarrilhos… mas cada caso é um caso. Converse com a sua dentista.
Olá doutora, quando eu tinha 19 anos fiz a frenoctomia na parte inferior, a dentista disse que em cima não precisaria fazer. Mas agora aos 38 anos observei que o espaço entre os dentes tanto superiores como inferiores vem aumentando, causando muita dor no maxilar. Sei que preciso colocar aparelho e sei que tenho desgaste ósseo, a minha dúvida é: existe a chance de meus dentes caírem com a colocação do aparelho? Preciso fazer a frenectomia na parte superior? Ah! Só tenho a falta de um dente, do lado esquerdo inferior o 3º.
Marli, a abertura de espaço entre os dentes e a ocorrência de perda óssea são dois sintomas característicos da doença periodontal (periodontite). Se você tem periodontite não pode usar aparelho, sob pena dia seus dentes caírem, sim. Já se a doença estiver controlada e o periodontista liberar, é possível colocar aparelho ortodôntico, sim. Na minha opinião a primeira coisa que você deve fazer é procurar um dentista especialista em periodontia (periodontista) pra avaliar.
Doutora, uma vez eu perguntei quanto tempo demora pra fechar um diastema e a senhora respondeu de 2 a 3 meses, mas a minha prima completou um ano com o aparelho e os dentes dela ainda não fecharam? Por que?
Porque nesse tempo o ortodontista talvez nem tenha começado a fechar o diastema, mesmo. O fechamento pode levar de 2 a 3 meses, mas pra poder fazê-lo é necessário um bom alinhamento dos dentes e ja estar usando um arco mais grosso, quase nunca o diastema pode ser fechado logo no início do tratamento.
Olá, eu tenho que fazer a cirurgia de frenectomia labial, pois os meus 2 dentes da frente são um pouco separados, uns 2 mm no máaaximo, e os 2 dentes dos lados desses tbm são um pouquinho. Depois que eu fizer essa cirurgia, queria saber com quanto tempo ficarei mais ou menos com o aparelho ortodôntico. 2 anos é muito tempo, queria saber se só pra juntar eles teria menos tempo de aparelho.
Obs: Eu só tenho esse problema com meus dentes, meus dentes são perfeitos tirando esse diastema.
Obg 🙂
Raissa, se a única correção que você necessita é o fechamento do diastema, você deve usar aparelho no máximo por 1 ano. Mas é preciso avaliar, além de cada caso ser um caso, muitas vezes a pessoa ACHA que tem dentes perfeitos, mas do ponto de vista oclusal, não tem. E aí haveria outras correções a serem feitas também, aumentando o tempo de tratamento. Procure um ortodontista pra avaliar.
Olá Ana, vai fazer seis meses que faço uso do aparelho ortodôntico, e nos últimos dois meses tenho utilizado a ligadura elástica corrente, pois segundo meu dentista estava no momento de começar a juntar os espaços, eu possuia um diastema entre os incisivos superiores cujo espaço já diminuiu bastante, porém minha gengiva inchou muito e atrás dos dentes ela está comprimida e grande, chega a ficar “caída”, quase encostando no fim dos incisivos, e na frente ela esta bem inchada, sensível e meio mole. No decorrer do quinto mês já estava assim e no momento da manutenção para começar o sexto mês, meu dentista me recomendou fazer uso do periogard, porém esse inchaço não diminuiu, esta ficando esteticamente muito desagradável, esse pedaço de gengiva atrás dos dentes e essa parte na frente grande, a solução é uma frenectomia ? Tal procedimento pode ser feito durante o tratamento ortodôntico ? Obrigado ! 🙂
João, creio que isso seja uma “sobra” de gengiva, pois os dentes, ao se aproximarem, comprimiram a gengiva que estava no meio deles. Pode ser necessária uma cirurgia corretiva sim, talvez não uma frenectomia, mas a remoção da gengiva excedente, pelo menos. Converse com o seu dentista, ele mesmo pode indicar um colega periodontista que faça essa correção. E sim, isso pode ser feito mesmo durante o tratamento ortodôntico.
Dra. fiz a cirurgia da frenectomia e não levei ponto nenhum, e fiquei curiosa pra saber se era necessário ter levado o ponto ou isso varia de dentista, uma amiga minha fez e levou uns pontinhos, pq eu não ?
Julia, geralmente se dá pontos, mas não é obrigatório, depende da técnica utilizada.
Olá Dra.
Fiz o fechamento do diastema com resina ha um tempo atrás. Porém agora quero tirar pra usar aparelho fixo. Já até fiz orçamento. Minha dúvida é: como o dentista tira essa resina que tenho nos dentes? Esse procedimento doi e compromete a estrutura do dente?
Gostaria muito de saber como como é retirada.
Agradeço desde já.
Abraço !
Larissa, não é obrigatório retirar essas restaurações… mas se você for fazer isso, é preciso desgastá-las com uma broca. Se não foi feito nenhum desgaste nos seus dentes antes de fazer essas restaurações, seu dentista não deve ter problemas pra remover por completo e sem dano qualquer ao seu dente.
Dra., quando criança usei aparelho ortodôntico e acho que passei por este processo de “aumentar o tamanho dos dentes com resina” porque vejo uma espécie de borda nos dentes e uma vez uma lasca saiu de um deles, parecia um invólucro. Agora cresci e falta espaço, estou fazendo tratamento ortodôntico para corrigir a mordida, a pergunta é: como ter certeza se passei por este processo quando criança e se existe um modo de reverter, retornando ao tamanho original dos dentes. Ufa, tentei sintetizar. Abs e obrigada!
Obrigada por tentar sintetizar, Thais… me ajuda bastante. 🙂
Uma radiografia panorâmica deve mostrar onde você tem restaurações e de que tipo elas são. Mode de reverter nem sempre há, não dá pra simplesmente remover a restauração e deixar assim, porque via de regra são feitos certos desgastes ao dente, mas dá pra readequar a restauração da forma que for mais interessante para o seu tratamento ortodôntico. Converse com seu ortodontista, você deve ter feito uma radiografia panorâmica quando fez a documentação ortodôntica, não? Lá dá pra ver.
Olá, Dra. Ana. Adoro o seu blog e essa postagem em específico fala ao meu problema. Uso aparelho há quase 3 anos para corrigir um diastema nos dentes superiores da frente e já tive que trocar de dentista 3 vezes em razão de mudança de cidade. Eu fiz a frenectomia no início do tratamento e fui informada pelo meu dentista atual que eu terei que usar o aparelho móvel para sempre :O fiquei muito triste por isso. O meu diastema era enorme (não sei o tamanho em mm), você acha que se no final do tratamento eu colocar resina ou faceta vai resolver ou vou realmente ser refem de aparelho para o resto da vida? :'(
Bruna, diastemas costumam ter alta chance de recidiva, mesmo. Por isso a sugestão do seu dentista de usar a contenção “pra sempre”. Se não for possível colocar uma contenção fixa – e as vezes não há espaço pra isso, por causa da mordida -, você pode até deixar de usar a contenção… ciente de que o diastema deve abrir. E se abrir, você pode optar por fechá-lo com restauração ou faceta, sim.
Ola doutora!!
Eu uso aparelho ortodôntico e tinha uma fenda nos dentes da frente que já foi fechada, mas minha gengiva atrás ficou inchada como se ao apertar ela tivesse ficado presa no meio sabe, e o meu dente ficou sensível, isso é normal de acontecer?
Obrigada pela atenção.
Pamela
Pamela, isso pode acontecer, sim. Se permanecer dessa forma, pode ser indicada a té a remoção de parte dessa gengiva. Mostre isso para o seu dentista / ortodontista e peça a opinião dele a respeito.
Boa tarde, Ana.
Tenho uma falha entre os dois dentes da frente superiores. Coloquei aparelho fixo ontem. Nao senti a dor que todos disseram que eu sentiria rsrs
Minha dúvida é:
1_ a dentista colocou apenas o aparelho comum (tubo, fios e braktes). Nao colocou fios amarrando os braktes para “puxar” os dentes. Achei estranho. Está certo? Nao precisaria de algo mais pra fechar o diastema?
2_ do jeito que ela colocou, demoraria pra fechar o diastema?
Agradeço desde já.
Abraço
Larissa, é compreensível a sua “pressa” de fechar o diastema, mas essa não é a primeira coisa que a sua dentista vai fazer. Existe uma sequência no tratamento, e antes ela vai alinhar os seus dentes pra se chegar a um arco mais calibroso e, só aí, fazer a “amarração” que você sugere. E mesmo depois do diastema fechado, deve ter muita coisa pela frente dentro do tratamento. Então, pra uma previsão de quando o diastema deve fechar, converse com sua dentista.
Boa Tarde Dra.
Uso aparelho fixo ha mais de 4 anos, já troquei de dentista duas vezes e a impressão que tenho até hoje é que meu caso não tem jeito.
Meu dentista atual já disse que quando eu quiser já poderei tirar o aparelho, porém não estou nem um pouco satisfeita.
Meus dentes em cima parecem ser uns mais gordinhos que outros, não largos e sim gordinhos e isso me incomoda muito. Meu dentista já me disse que isso só pode ser arrumado com resina, mas sinceramente? Não acredito! Embaixo existe tanto defeito que parece que nunca usei aparelho, uns mais tortinhos que outros e não estão todos no mesmo angulo ou mesma linha.
Gostaria de saber se realmente existem casos que apenas a resina fará eles ficarem retos, e se corre risco dessa resina cair futuramente.
Agradeço desde já.
Maytê, o aparelho ortodôntico é capaz de resolver apenas problemas de posicionamento dentário, e não de anatomia, de formato dentário. Então o que o seu ortodontista disse faz sentido, e considerando que você diz achar seus dentes “gordinhos”, me parece que problema é anatômico mesmo. Ainda, os dentes podem já estar alinhados mas, por causa de certos desgastes ocorridos ao longo da sua vida, parece estar tortos, com as incisais (extremidades) dos dentes sem alinhamento. E isso o aparelho ortodôntico não corrige. Restaurações em resina não são eternas, mas via de regra, não ficam caindo. Tudo depende de indicar o tipo correto de restauração e confeccioná-la dentro da técnica.
Gostaria de saber qual costuma ser o valor do procedimento com resina !
Desde já, obrigada.
Depende do caso, Tamara. É preciso procurar um dentista pra avaliar.
Olá, doutora.
Então, quando eu era mais nova, o dentista chegou a dizer que seria necessário o aparelho. Retornei agora e o ortodontista que me avaliou disse que como na raiz os meus dentes são juntos, o aparelho não seria a melhor opção, também pelo formato dos meus dentes (oval, se não me engano) e recomendou a restauração estética.
Entretanto, achei um pouco estranho porque, antes de entrar, uma dentista que me atendeu há algum tempo quando tive manifestação lúpica na boca, falou com o orto após me avaliar e me encaminhou pra ele fazer a avaliação dele. Assim que sentei, ele perguntou minha idade e se eu tinha alguma doença.
Eu disse que tenho LES e disse os medicamentos que faço uso. Após isso, ele me avaliou e disse o que já mencionei. Depois fiquei na dúvida se haveria alguma ressalva com o uso do aparelho e o lúpus, talvez pra evitar lesões na boca ou algo do tipo? Não sei, fiquei um pouco confusa. E se há alguma ressalva, não haveria motivos pra que ele não me dissesse, visto que sou maior de idade, conheço a doença, ele como profissional deve ser transparente etc.
Gostaria de saber a sua opinião. No caso, penso que o ideal seria alinhar além dos dois do meio os dois seguintes a eles. É possível com a resina/porcelana? Gostaria de uma uniformização, por esse motivo, na minha leiga opinião, penso que o aparelho seria a melhor opção. Em caso de restauração, qual a mais indicada, resina ou porcelana?
Desde já muito obrigada pela atenção.
Sim Lia, se o lúpus interferisse de alguma forma, seu ortodontista deixaria claro. Pode ficar tranquila.
Vi as fotos por e-mail, os links que você passou não abrem (até removi). Você não tem diastemas, nas verdade é como o ortodontista falou, seus dentes são ovais, o espaço entre eles é anatômico, não de posicionamento. Portanto, o ideal seria fazer restaurações estéticas, mesmo. Não que você não vá se beneficiar de um tratamento ortodôntico, existem problemas de posicionamento dentário também, mas o aparelho não va resolver o que for anatômico. As restaurações podem ser tanto diretas (resina) quanto facetas (porcelana ou resina), depende do que você deseja.
Muito obrigada pelas informações precisas, doutora! Aparentemente nasci toda errada, rs. Ah, fui checar a resposta e acabei encaminhando novamente sem querer o email hoje, releve.
Obrigada!
Ahuahuahua, imagina, essas pequenas imperfeições são comuns… todo mundo tem alguma. 😉
Olá,
Que bom que pode ser fechado com resina !!! Pela foto, acha que os dentes ficariam grandes ? Poderia aumentar o comprimento do dente com resina?
Teria algum dentista para indicar em Niterói-Rj ?
Mt obrigado !
Não acho que ficariam grandes, e talvez aumentar o comprimento seja até desejável. Sugiro a avaliação de um dentista especialista em dentística (estética).
Olá Dra,
Tenho um diastema nos dentes da frente, e desejo fechar logo, pois sinto vergonha. Desejo saber algumas coisas que tenho dúvida ha um tempo. Em 1 consulta se fecha por completo o diastema ? São necessárias mais que 1 consulta ? Quanto tempo demora ( 1 / 2 horas ) ?
Alguns dentistas quando eu era mais jovem, falavam para usar aparelho, e alguns falavam para colocar resina.
Deixarei uma foto para que possa ver se é possível e se é necessário ou não aparelho, pois não tenho problemas de mastigação e nem nada…
http://prntscr.com/6w9srm
Muito obrigado.
Felipe, se o fechamento for feito com resina direta, faz-se em 1 sessão. Se forem feitas facetas em porcelana, por exemplo, seriam necessárias 2 sessões, pelo menos. O tempo por sessão depende, pode levar em torno de 1 hora. Pela imagem, seu diastema pode ser fechado tanto com resina quanto com aparelho, depende do que você pretende.
Queria saber como conseguir meus dois dentes da frente juntos, pois tem uma fresta, mas sem ir ao dentista, sendo em casa mesmo… por favor!
Ou com aparelho ou com restauração, Valentina. Sem dentista, não dá.
Eu enviei para Ana Paula Pasqualin Tokunaga.
Envie novamente para [email protected], por favor.
Doutora, responda a pergunta que te fiz no email, eu nao perguntei por aqui porque aqui nao tem como colocar foto.
Que pergunta, Daniela? Mande para [email protected]. Mas dá pra colocar foto aqui sim, basta que você faça upload em algum lugar e me mande o link.
Olá Dra., tenho diastema nos dentes centrais, esse sábado irei fazer uma cirurgia de frenectomia labial, gostaria de saber se logo após o procedimento já poderá fechar o diastema?
Brenda, com resina ou com aparelho? De qualquer forma, em princípio, sim. Converse com o seu dentista.
Quem foi rude foi voce!
Se pareceu, peço desculpas, não foi em nenhum momento minha intenção. Só quis esclarecer que pra qualquer assunto relacionado à Odontologia, o ideal é consultar um dentista. Portanto, não faz muito sentido pedir pra um dentista explicar pra você como saber o que só um dentista sabe pra que você não precise procurar um dentista. De qualquer forma, espero que minha explicação tenha esclarecido o que é mordida cruzada e, agora que você já sabe, procure um dentista pra confirmar se é ou não o seu caso.
O querida eu so te perguntei com se identifica, eu nao falei se vou tratar ou nao, e tambem nao te interessa, eu so queria saber antecipadamente se eu tenho… ok
Ué, e eu não respondi? Pra quê ser rude?
Oi, eu queria saber como se descobre se eu tenho essas mordidas cruzadas, tipo sem ir no odontologista, so vendo, tem algum jeito de identificar?
E por que não procurar um dentista, Maia? Pois, se você tiver qualquer problema de mordida, é o dentista quem vai tratar. E se você tiver e não pretende tratar, pra quê saber? De qualquer forma: mordida cruzada é quando os dentes de baixo estão mais pra fora do que os de cima. O normal é o contrário.
Ola, eu tenho um diastema de 2mm e queria saber se eu colocasse aparelho quanto tempo ficaria com ele so para fechar o diastema, e em quanto tempo eu ja perceberia os resultados?
Daniela, fechamento do diastema, em si, é algo rápido… às vezes leva uns 2 ou 3 meses, apenas. Porém nem sempre dá pra começar a fechar o espaço entre os dentes já quando se coloca o aparelho, é preciso que os dentes tenham um certo alinhamento. Sugiro que você procure um ortodontista e faça uma avaliação.
Ola, eu tenho os dentes separados 2mm, eu quero colocar o aparelho pra fechar o diastema, quanto tempo demoraria pra fechar, da pra fechar em 10 meses?
Daniela, o fechamento diastema, em si, pode ser feito em até menos tempo, 3 meses, por exemplo. Mas isso depende do alinhamento inicial dos seus dentes, se eles não estiverem bem alinhados pra começar o fechamento, pode demorar pra que seu ortodontista comece a fazer isso. Procure um dentista / ortodontista pra avaliar.
Olá, tenho um espaço no dente da frente de 1mm. Queria saber quanto custa em media para fechar com resina.
Obrigada !
Anne, isso varia muito, não existe “em média” pra procedimentos odontológicos, porque as variáveis são muitas e cada dentista tem liberdade pra fazer seus próprios honorários. Procure um dentista (pode ser um especialista em estética / dentística, se você preferir) e faça uma avaliação.
Boa noite,
Eu tinha um diastema frontal superior enorme e foi corrigido com o uso do aparelho, apos retirar o aparelho a minha dentista disse que se eu nao fizesse uma restauração no dente 12 (de tamanho menor) os dentes poderiam se movimentar, acontece que eu nao consegui marcar com o meu dentista no dia da retirada do aparelho e o meu dente da frente (dente direito) se moveu o que gerou um diastema que deve ter entre 1 mm no maximo, pergunto, com a restauração do dente citado eu consigo empurrar o dente que se moveu e fechar este espaço ? Ou por causa disso terei que usar aparelho novamente ? A restauração esta marcada para o dia 19/03.
Marcos, o espaço disponível para a restauração do 12 foi alterado, não há como a própria restauração “empurrar” os outros dentes de forma a fechar o diastema. Converse com a sua dentista, talvez não seja o caso de colocar aparelho fixo de volta, mas será preciso intervir ortodonticamente de alguma forma, talvez com um aparelho removível.
Oi Dra.
Eu fiz frenectomia e usei aparelho por 6 anos. Tirei o aparelho faz uns três anos. Após eu tirar o aparelho fixo, minha dentista me orientou a usar o aparelho movel por um ano. Completado um ano não precisaria usar mais. Eu usei por um ano o aparelho movel, porém quando eu fui tirar o aparelho o dente abria, acontece até hoje. Voltei ao consultório, consultei com outra dentista, pois a minha dentista não trabalhava mais no consultório, ela me disse que vou ter que usar parelho movel para o resto da minha vida. Como assim! Me senti enganada, pois nao fui informada desse detalhe. Gostaria que a senhora me informasse se é correto, vou ter mesmo que usar para sempre o aparelho movel?
Mirela, em algumas pessoas o resultado do tratamento ortodôntico pode ser bem instável, ou seja: com alto potencial de recidiva (dos dentes “entortarem” de volta, mesmo que pouco). É uma questão biológica, mesmo, e parece ser o seu caso. Uma opção é fazer uma contenção fixa, por exemplo, aí você pode “aposentar” o aparelho removível. Mas é fato: o dia que você não usar nenhuma contenção, é provável que o espaço abra novamente.
Dra, tenho uma dúvida! Usei aparelho durante 3 anos, com extração. Faz 3 dias que eu tirei o aparelho e, observo que tem um espaço em média de 2 mm, é claro que uso o aparelho móvel. Com base nisso que relatei… É possível que isso seja corrigido pelo próprio aparelho móvel? Pois, quando o usei pela primeira vez notei que ele não estava tão “firme, preso” nos dentes, hoje noto que ele se encaixa melhor. Estou com receio, pois gostei do resultado e, agora esse espaço está tirando meu sono.
Desde já agradeço!!!
Althieres, em tese, se o aparelho removível for “apertado”, ele até poderia fechar esse espaço… embora a função dele não seja de movimentação dentária, mas de contenção, ou seja, de manter a posição dos dentes. Converse com o seu ortodontista.
Eu fiz a cirurgia para retirar o freio ha 5 dias e queria saber sobre os pontos, eles se soltam sozinhos ou não? E se soltarem, tem algum problema?
Via de regra não, Karoline. Eles precisam ser removidos pelo dentista. Se um ou outro soltar antes disso, em princípio, sem problema.
Boa noite! Bem, eu tenho 14 anos e tenho diastema porque meus dentes sao bem pequenos, só que o espaço aumentou! Estou com receio de colocar aparelho, e depois ele voltar a ter espaço, alguma sugestao ou explicaçao porque ele aumentou? Obrigada desde já, abraços!
Nina, nossa oclusão (“mordida”) é dinâmica, ela vive mudando. Não é incomum que você perceba espaços abrindo entre os dentes, dentes “girando”, “batendo” de forma diferente, etc.. Procure um dentista / ortodontista e faça uma avaliação, o aparelho ortodôntico pode corrigir isso.
Ola dra, fiz a frenectomia labial superior há 22 dias e percebo que no meu lábio existe “algo como se fosse um corpo diferente rígido q eu não sentia antes”, pode ser o freio que foi reposicionado? Sinto uma certa dificuldade para sorrir, parece que o labio enrijeceu e meu lábio ficou torto.
Andre, sua cirurgia é bem recente ainda, já houve uma boa cicatrização inicial, mas ainda há muito o que cicatrizar. Essa rigidez que você relata é normal, o tecido gengival ainda está “soltando”. Sue sorriso deve ficar normal, mas vai levar ainda algum tempo.
Olá Dra,
Deixei de usar aparelho faz tempo, uns 9 anos, usei o movel durante 1 ano, e deixei de usar depois, notei que alguns dentes moveram um pouco, ainda tenho o movel guardado até hoje, posso utilizar ele novamente ou devo recolocar o aparelho fixo?
Sarah, é improvável que o aparelho removível ainda caiba depois de tanto tempo. Se ele entrar, você até pode usar, mas não force. O ideal mesmo é colocar aparelho fixo novamente.
Eu tenho um diastema entre os dentes da frente e pretendo fecha-los, mas não sei quanto custa para fazer o tratamento. Gostaria que a doutora me dissesse os preços dos tratamentos.
Edilson, sem examinar você qualquer coisa que eu diga será “chute”. A melhor forma de ter ideia de valores é procurando um dentista e fazendo uma avaliação, pois pode variar muito.
Boa tarde Dra., eu usei aparelho por 5 anos, pois tive problema com o crescimento dos meus dentes, tanto para cair quanto p/ nascer, e sempre foram pequenos e separados, apos tirar o aparelho meus dentes da frente voltaram a separar novamente e o Dr. orientou que eu passasse na Fonoaudiologia. O que acontece é que eu não queria ter que usar aparelho novamente para fechar a diastema, eu gostaria de saber se tem outro metodo para fechar esse espaço ou se eu poderia fecha-los com resina?
Obrigada!
Sim Kawani, se o diastema for menor que 6 mm, pode ser fechado com resina. Procure um dentista especialista em estética (dentística) pra avaliar.
Olá doutora,
Fiz a cirurgia ontem e minha dentista colocou uma proteção na gengiva.
Ela disse q no outro dia, a mesma sairia sozinha ou eu teria que tirar, mas eu não consegui, tirei só as partes laterais, a parte que fica bem no meio não sai, parece que ta grudada, tem algum problema se eu ficar com ela?? Minha dentista só ta no consultório na sexta!!
Imagino que você esteja falando de um cimento cirúrgico, Helena. Se não der pra tirar, não se preocupe, na sexta sua dentista remove.
Boa tarde doutora, a frenectomia pode ser feita após o tratamento ortodôntico e o fechamento do diastema?
Geralmente é feita antes ou durante, mas pode ser feita, pelo menos, no final do tratamento ortodôntico.
Oi Dra., obgda por responder, realmente agora to mais calma, seu site ajuda bastante, muito legal essa iniciativa d ajudar a esclarecer nossas dúvidas, ainda estou com os pontos e irei retirar na sexta, obg bjo!
😉
Oi Dra, adorei esse site e li todos os comentários, é q estou muito nervosa sobre o meu problema, eu fiz a frenectomia e notei q meu sorriso ta estranho, o lábio superior n levanta e esta cobrindo meus dentes da frente q já são pequenos, o dentista n me explicou e estou arrependida, q era pra ser estético e to achando q vai diminuir ainda mais minha autoestima, estou usando aparelho e me submeti a todo esse processo devido a estar com a minha formatura próxima e queria um sorriso bonito, mas esta horrível, alem dele n ter tirado o pedacinho de gengiva q fika entre os dentes, estou com muito medo d fikar com o sorriso assim, meu lábio superior n levanta, fiz a cirurgia ha dois dias e n tenho dor, e acho ate q tambem n ta inchado nem nada, só queria q meu dente ficasse mais visível e ate agora tá muito feio se dou risada, a minha vontade é de processar ou coisa e tal, q minha autoestima agora ta um horror. Tem como reverter a situação em relação ao meu sorriso, o q eu posso fazer pra voltar ao normal? Por favor me ajude, estou desesperada, se puder me informe o endereço d seu consultório aqui e irei ate ele, sou de Curitiba tbm. Bjos! Obg.
Gar… CALMA. Essa falta de mobilidade do lábio superior após a frenectomia é algo comum. Sua cirurgia é muito recente, a gengiva ainda está em cicatrização. Imagino que você esteja com pontos, isso restringe a mobilidade, também. Tente ficar tranquila, o seu lábio vai voltar ao normal… mas isso acontece aos poucos, à medida que a cicatrização avança.
Bom, coloquei o aparelho disjuntor faz duas semanas e com a ativaçao acabou separando os dentes… vou colocar o fixo agora, quanto tempo leva em media para eles se juntarem novamente? Obg.
Fabiana, não existe “média” de tempo pra isso, algumas vezes os dentes sequer se separam. Mas eles devem se aproximar ainda na fase de contenção do aparelho (quando ele não é ativado), o que leva pelo menos uns 3 meses.
Boa tarde, Doutora.
Meu caso é o seguinte, tinha vários diastemas, tanto na arcada inferior quanto na superior. Estou usando aparelho fixo há 4 meses. Na arcada inferior eu tinha um diastema entre o canino e o primeiro pre-molar, em ambos os lados, só que o do lado esquerdo era gigante, tinha espaço para outro dente. Com um mês usando a o elástico o da direita fechou e, o da esquerda está quase terminando de fechar com quase 2 meses usando o elástico. Minha dúvida é com relação aos diastemas da arcada superior que não estão fechando do mesmo jeito. Usei o elástico um mês e praticamente o diastema dos incisivos centrais fechou, mas os dos incisivos laterais que são bem grandes também ainda não e não estou vendo nenhum progresso neles. Essas diferenças são normais?
Karina, é assim mesmo. Cada movimentação dentária é única, as condições que fazem com que ela seja mais rápida ou mais lenta, também.
Boa tarde, doutora! Ontem fiz a remoção do freio labial e o nervo que fica entre os dentes. Mas o cirurgião alegou não ser necessário fechar com pontos, pois fez com bisturi elétrico, onde o mesmo cauteriza no ato. Mesmo assim sangrou por pelo menos umas 12 horas. Temo pegar alguma infecção por estar aberto, até mesmo quando me alimento. Então pergunto se seria melhor pedir que feche com pontos ou não será necessário? E quanto ao tempo de cicatrização não seria mais rápido também? Obrigado!
Realmente André, se a cirurgia foi feita com bisturi elétrico não há a necessidade de pontos. A gengiva fica cruenta, é assim mesmo, dar pontos agora não ajudaria nem aceleraria o processo de cicatrização.
Boa tarde doutora. Fiz frenectomia e coloquei aparelho fixo para fechar um diastema. Estou usando faz 5 meses e o diastema fechou. Na semana que vem meu ortodontista quer tirar o fixo e colocar a contençao. A orientaçao para tirar o fixo com esse pouco tempo de uso e ja colocar a contenção estão corretas? Obrigada.
Se o diastema era causado pelo freio, você fez a frenectomia e o diastema já foi fechado, não há razão pra manter o aparelho, Debora (isso se não há nenhum outro problema de oclusão ou estético a ser resolvido, claro).
Dra., tenho diastema e estou ha um mês com aparelho fixo, e no meio dos incisivos central superior a minha gengiva é baixa e fica um pedacinho separando os dois. Quando eu fizer a frenectomia será retirado só o pedacinho de gengiva no meio deles ou vai começar desde o freio?
Abraço!
Desde o freio, Claudia. O dentista / periodontista vai remover a quantidade necessária de gengiva / freio.
Dra., quanto custa em media para se fechar um diastema e como se mede ele?
Daniela, não tem “média” pra esse tipo de procedimento. Depende do tamanho do diastema, de como ele será fechado, do fato do dentista ser especialista ou não, dos custos do laboratório de prótese (quando for caso), etc.. É preciso procurar um dentista e fazer uma avaliação. Você pode medir o diastema com uma régua, mesmo.
Olá, eu uso aparelho fixo e mês passado eu fiz o molde para o aparelho móvel, mas agora abriu um espaço entre o incisivo central e o lateral. Queria saber se o móvel vai servir mesmo assim e se esse espaço vai fechar depois…
Deve “servir” sim, Eduardo. O aparelho removível até pode fechar esse espaço se bem “justo”, mas a ideia não é essa. Contenções servem pra manter os dentes em determinada posição, e não pra movimentá-los. Converse com o seu ortodontista.
Olá! Usei aparelho fixo durante 1 ano e meio, mas não usei o aparelho móvel da maneira correta. Estou com um pequeno espaço entre os incisivos superiores (é pequeno, mas está me incomodando). Existe algum procedimento que faça esse espaço fechar rápido? Minha formatura é na primeira semana de fevereiro e não queria estar de aparelho fixo.
Desde já, agradeço…
Milena, existem aparelhos removíveis que podem resolver isso, talvez até a sua contenção removível, se ela ainda couber, possa fechar esse espaço. Outra forma de resolver isso é com restauração, aí o resultado é imediato. Converse com o seu dentista.
Olá Dra. Ana,
Estou com um corte bem fundo na língua por causa do aparelho Hyrax, é normal? O que eu posso usar para melhorar a dor? Minha dentista está de recesso, vou demorar para voltar lá, será que a senhora pode me ajudar? Obgd!!
Yasmim, certamente não é normal. É preciso verificar que parte do aparelho está “pegando” na sua língua e colocar algum tipo de proteção. O que pode ajudar são aquelas ceras ortodônticas pra proteger de machucados, você encontra na farmácia. É só fazer uma bolinha de cera e aplicar no aparelho, em cima da área cortante.
Oi boa tarde, meus dentes sao separados e estou usando aparelho fixo ha 8 meses, em 4 meses de uso meus dentes abriram mais, ai o dentista colocou um fio para fechar meu dois dentes da frente, mas nao colocou nos outros dentes, ja estou ha 4 meses com este fio so nos dois dentes da frente e o restante nao tem, e cada vez estao abrindo mais, eu nao sei o que fazer, estou querendo mudar de dentista, pois acho que ele nao esta fazendo certo, minha mordida e cruzada e neste 8 meses ele so fez isso nos meus dentes, me ajude ele esta certo ou nao?
Katia, não posso dizer com base no seu relato que seu dentista está fazendo alguma coisa errada. Existe um plano de tratamento, e ele deve estar seguindo esse plano, existe um tempo pra se resolver cada problema durante o tratamento. Imagino que esse “fio” que você diz usar seja um amarrilho, visando fechar o diastema. Dessa forma, não deve ser o caso de usá-lo em outros dentes, mesmo. Quanto à mordida cruzada, estou certa de que seu dentista pretende resolvê-la. O melhor que você pode fazer é perguntar pra ele o que ele pretende e quando. Conversar é sempre melhor.
Fiz frenectomia mais remoção de excesso gengival. Minha dentista parece que me operou de má vontade. Não me deu instrução alguma. Só para tomar medicação, mas não me disse nada a respeito de restrição alimentar ou de falar. Fiz a cirurgia dia 15/12/2014 (sangrou muito depois e doeu tanto depois de passar o efeito da anestesia que meu crânio todo doía) e dia 19/12/2014 ela já tirou os pontos (novamente doeu muito). Acho que ela resolveu tirar os pontos nessa rapidez por conta das festas de Fim de Ano. Acho que não vão mais atender este ano, só ano que vem. Ela costurou tanto que na parte da frente e de trás do dente tem uma parte da carne toda esbranquiçada, parecendo carne morta. Na parte da frente um pedacinho da carne esbranquiçada até se soltou. Se essa carne morta sair toda amém, mas estou com medo de nem cicatrizar e nem se soltar. A parte de trás ficou um pedacinho da linha preta que ela usou pra costurar, além da parte esbranquiçada de carne parecendo solta de tanto que foi costurada e remexida. O pedacinho de linha preta está dentro da carne e como está muito machucado eu tenho medo de tentar tirar com pinça. Estou com medo de inflamar também. Eu retirei três dentes no início do ano por motivos ortodônticos com um outro dentista e foi tudo tranquilo. Mas este dentista não fazia frenectomia pelo meu convênio e resolvi procurar essa Buco Maxilo e está sendo um pesadelo pra mim, pois não confio mais nela e não sei o que fazer. Devo procurar outro Buco Maxilo? Algum periodontista? Será que alguém vai querer cuidar do meu caso ou vão me mandar procurar essa Buco Maxilo que não está nem aí pra mim?
Bianca, como a cirurgia já foi feita, não acho que procurar outro cirurgião bucomaxilofacial vá ajudar… a não ser para orientações gerais. Me parece que você apenas está tendo um pós-operatório mais “chato”, comum nesse tipo de cirurgia. Procure falar pouco (porque falar exige muito da região), prefira alimentos e bebidas mais mornos e não tão consistentes e descanse. Seu organismo vai se recuperar aos poucos e a tendência é só melhorar. Os sintomas pós-operatórios vão ficando mais brandos e você vai se sentir melhor. Se houver um pontinho sobrando mesmo – espero que não – ele pode ser removido depois.
Ola Dra. Muito obrigado pela resposta, realmente não descrevi muito o problema por não entender, então fiz uma pesquisa para poder reformular minha pergunta. Vamos la.
Uso aparelho um pouco mais de 1 ano e meus dentes eram separados quando coloquei aparelho, no decorrer do tempo, quando eles foram juntado, só os dentes incisivos centrais eram separados, quando eles foram fechando minha gengiva inchou apenas entre os dentes incisivos centrais, a minha Dra. falou q e normal. Então meus dentes juntaram com a borrachinha trançada, porem minha gengiva continua inchada. Ela diz q vai cortar se precisar *MAS E CLARO QUE VAI PRECISAR*. Então ela quer pagar pra ver se vai separar.
O que eu queria saber é se ela tinha que cortar antes, ate mesmo por estética, não esta aquela coisa horrível, mas é feio.
Não estou certa de que seus dentes vão se separar, Mauricio. Mas se você está com medo disso, converse com a sua dentista pra fazer a remoção dessa gengiva (ou do freio labial) antes de remover o aparelho, de forma preventiva.
Dra., uso aparelho fixo ha mais de 1 ano, tinha dentes super separados e quando ela colocou o aparelho e meus dente foram juntando a minha gengiva ficou super inchada, então a Dra. falou q e normal, okay. Escovo os dentes super bem, porem ela não volta ao normal, e minha dentista falou que quando terminar o tratamento ela ia ver se os dentes iam separar mesmo com a gengiva inchada. Me ajude por favor. Ela devia ter feito algum tipo de cirurgia como a frenectomia ?
Agradeço desde já.
Mauricio, não consigo opinar apenas com base na sua descrição, seria preciso entender se esse inchaço que você relata é um inchaço mesmo, se é uma hiperplasia ou se é uma “prega” de gengiva entre os incisivos centrais, aí sim poderia estar indicada a frenectomia.
Olá dra, eu tenho um espacinho entre os dentes superiores (em sua maioria os 4 da frente). Os dois da frente são maiores e um pouco mais largos que os demais, eu uso aparelho fixo há 1 ano e 2 meses e o diastema não fechou (apenas os dentes inferiores juntaram), é um espaço de uns 3mm e minha gengiva parece um pouco inchada entre esses dentes. Devo mudar o dentista ou verei algum resultado? É normal passar tanto tempo pra fechar? Obrigada desde já. 🙂
Carol, fechar um diastema, via de regra, não é algo demorado. Seu dentista não deve ter feito isso ainda ou porque não é hora, considerando o plano de tratamento, ou já seria possível e ele não percebeu que você tem certa urgência nisso. Sugiro que você converse com ele e exponha a vontade de fechar logo esse espaço, se for possível neste momento, estou certo de que ele o fará.
Olá Dra. Ana, coloquei o disjuntor ha 1 dia e está doendo muito! É normal doer mesmo? Quanto tempo a dor fica?
Yasmim, algumas pessoas relatam dor na ativação do disjuntor, outras não. É difícil determinar um prazo pra que não haja mais dor, já que cada organismo se comporta de forma diferente. Converse com o seu dentista, é possível tomar um analgésico.
Dra. Ana, também sinto dor nos dentes em que os ferrinhos do aparelho estão presos, é normal sentir dor ?
Se for a dor da movimentação dos dentes, é esperado, sim.
Dra., meu freio labial que fica atrás dos dentes está muito inchado. O que posso fazer para desinchar?
Depende da causa do inchaço, Pamela. Procure um dentista pra avaliar.
Usei aparelho por 1 ano e meu dentista disse q meu diastema n iria fechar, resolvi interromper o tratamento. Quero por resina, posso por conta própria procurar um dentista estético ou existe um tipo de “encaminhamento”?
Pode sim, Thaina. Procure um dentista especialista em estética (dentística) pra avaliar.
Dra. Tinha diastema, mas quando fui fazer a frenectomia o odontologista me falou que não ia adiantar, porque meu freio não estava atrapalhando muito. Tirei o aparelho ortodontico faz uma semana e meu dentista colou um ferrinho atrás dos dois dentes para que não abram, mas está me incomodando muito e quando mordo minha mordida pega lá. Só com o uso do aparelho móvel meus dentes ficarão fechados? Pois quero tirar esse ferrinho de trás. que está me incomodando… Pensei em colocar resina caso abrisse, mas vi várias pessoas falando que ela muda de cor, isso é verdade? Ela amarela? Desde já obrigada.
Júlia, se seu ortodontista colocou uma contenção fixa é porque acha que a removível pode não conter a abertura do diastema. Converse com ele, talvez seja só questão de fazer um ajuste ou colocar um fio mais fino. Não é que a resina amarele, mas ela não é um material “eterno”… eventualmente, terá que ser substituída.
Olá,
Dra., retirei meu aparelho fixo faz duas semanas, e estou com o móvel. Percebi que meu dente do lado direito dos “da frente” está com um espaço, o aparelho móvel vai corrigir? O que devo fazer?
Obrigada.
Paula, não, o aparelho removível de contenção serve pra manter os dentes na posição em que estão, e não para movimentar os dentes (fechar espaços, por exemplo). Entre em contato com o seu dentista e relate esse problema.
Ola, fechei meu diastema com resina ha cerca de 1 ano, porém está muito escuro e manchado, o dentista me disse que resina nao clareia e que teria que trocar, questionei se poderia tirar, pois não quero mais, ele disse que não da para tirar pq depois que coloca a resina nao da para saber onde o dente começa e nem onde termina, ai pergunto isso é verdade? Vou ter que usar para sempre? Como ele vai trocar se nao da para tirar? Por favor me responda pois me sinto perdida, obrigada…
Tatiana, toda restauração pode ser removida… o que não dá pra garantir é que o dente por baixo dela ficará intacto. Se foi feito algum desgaste quando essas restaurações foram feitas, certamente você terá dentes restaurados pra sempre. Mas não fique chateada com isso, tudo é questão de fazer uma boa restauração e de você cuidar dela. Sugiro – se já não for o caso do seu dentista – que você procure um especialista em estética (dentística) e faça uma avaliação.
Dra, uso aparelho há 2 anos e 5 meses e meus dentes já estão alinhados, agora estou usando os elásticos para encaixar completamente a mordida. Minha dentista disse que em um mês ela vai “soltar” o aparelho para que a falha abra totalmente (porque só com o aparelho ela já fechou por ser pequena) e eu possa fazer a cirurgia para evitar que depois ela abra de novo. A minha dúvida é: depois da cirurgia eu ainda preciso usar o aparelho fixo ou já tem como tirar e usar apenas a contenção?
Thamires, você precisa usar aparelho até que o tratamento ortodôntico esteja concluído, essa necessidade não tem muito a ver com a frenectomia. Se o diastema estiver fechado, ok. Converse com o seu ortodontista sobre isso, eu acho que ele vai querer que você faça a frenectomia antes de tirar o aparelho (mas, como disse, fazer a frenectomia não significa que é hora de tirar o aparelho).
Fiz a frenectomia ha uns dois anos e meio, estou usando aparelho desde então, mas tenho medo dos meus dentes voltarem a separar, tem risco disso acontecer?
Catarina, risco há. Mas se você já fez a frenectomia, o risco é bem menor. É essencial que você use a contenção direitinho depois que remover o aparelho fixo.
Ola Doutora, tenho os dentes da frente separados desde bem pequena, eu estou com 20 anos, e percebi que ha mais ou menos um ano os meus dentes estao bem mais separados. Converso com meu dentista, mas ele fala que se nao esta me incomodando nao ha necessidade de usar o aparelho para junta-los, eu nunca me incomodei com eles, nunca me atrapalhou, so que agora to sentindo que nao ta legal. Tenho uma “carninha” da gengiva (nao sei como se chama rs) entre eles, e meu dentista disse que se eu for por o aparelho terei qe fazer uma pequena cirurgia para cortar essa “carninha” que esta entre os dentes, pois se eu deixa-la, mesmo usando o aparelho, podera voltar a se separar. Como esta muito separado, isso pode prejudicar os outros dentes? A minha mastigação sera afetada?
Aguardo resposta. Obrigada 🙂
Lays, é como o seu dentista falou. Esse espaço não prejudica os outros dentes, mas pode ser esteticamente ruim – se você achar assim. É questão de você decidir se quer ou não se submeter a um tratamento ortodôntico pra fechar esse espaço.
Olá Dra. Ana, vou colocar o aparelho e vai abrir um diastema entre meus dentes, estou com muito medo e gostaria de saber quanto tempo leva para ele fechar?
Qual aparelho, Yasmim? Um disjuntor? Se sim, geralmente o diastema se fecha ainda na fase de contenção, que dura uns 4 meses. Veja sobre aqui –> https://medodedentista.com.br/2011/11/o-aparelho-no-ceu-da-boca.html
Dra. Ana, é sim o aparelho disjuntor, o meu dente canino nasceu encavalado, só que nao tem nenhum espaço em meus dentes. Por isso minha dentista resolveu colocá-lo. Estou com medo que meus dentes demorem muito para voltar ao normal. Será que vai resolver mesmo colocando este aparelho?
Deve resolver, sim. Como disse, o diastema costuma se fechar relativamente rápido, ainda na fase de contenção.
Ana, tenho um diastema nos incisivos, cerca de 15mm, gostaria de saber a faixa de preço para se fazer o fechamento com resina e que tipo de dentista faz este procedimento.
Paulo, qualquer dentista pode fazer o fechamento de diastema, mas se você quer um especialista, procure um dentista especialista em dentística (estética). Quanto a valores, varia muito, é preciso avaliar… converse com ele.
Olá… Usei aparelho fixo por 02 anos para fechamento do diastema, na época minha dentista disse que não havia necessidade de fazer uma frenectomia, hoje faz dois dias que retirei o aparelho fixo e comecei a usar o móvel e reparei um pequeno movimento de abertura nos dentes da frente (onde havia o diastema), é normal os dentes se movimentarem um pouco poucos dias após a retirada do aparelho fixo?
Por eu não ter extraido os dentes cisos a conteção móvel não está encaixando perfeitamente, qndo fiz o molde a moldura usada não foi ate os dentes cisos e com isso o ferrinho q passa por trás do ultimo dente fica por baixo do dente Ciso quando eu fecho a boca. Minha dentista disse que é normal isso e que não tem jeito de consertar, mas fiquei com a pulga atrás da orelha… isso é normal acontecer? Pois incomoda muito e não consigo usar o aparelho móvel o dia inteiro por causa disso.
Tiago, sim, se a contenção não estiver muito bem adaptada e o paciente já tiver predisposição para a recidiva (os dentes “entortarem” novamente após a remoção do aparelho), pode haver essa abertura do diastema em pouquíssimo tempo. Ficar “mordendo” a contenção também é um problema bem comum, que costuma não ser tão crítico se o aparelho removível não se desloca na mordida. De qualquer forma, sugiro que você procure sua dentista e relate esses problemas.
Fui fechar meu diastema com resina e o dentista errou na cor, e ela ficou um pouco transparente, o que devo fazer? Estou com muita vergonha.
Retorne ao dentista pra ele verificar. Não precisa ficar com vergonha (nem das restaurações, nem de reclamar com o dentista). Se você não acha que está legal, diga isso pra ele… tenho certeza que ele vai resolver. 😉
Ola Dra.
Fiz a cirurgia ha mais ou menos uns 6 anos, desde la usava aparelho fixo para correção do diastema. Troquei de dentista e continuei a usar o aparelho até 2013, a partir daí usei o de contenção. Porém começou a abrir um espacinho entre os dentes da frente novamente, e há uns 8 meses mais ou menos meu dentista colocou um fio atras dos mesmos para segurar. Hoje estou ainda com uma pequena abertura, gostaria de uma opinião, coloco o aparelho novamente ou faço a resina? Ficou 280 r$ cada dente para fazer a resina, é mais ou menos isso mesmo?
Aline, em se tratando de um diastema pequeno e se você não quer se submeter a um novo tratamento ortodôntico, o fechamento com resina é uma boa ideia. Com relação a valores, depende do caso. Cada dentista tem liberdade pra fazer seus próprios honorários.
Olá, Dra. Fiz a frenectomia labial superior recentemente e, ao retirar os pontos e cimento cirúrgico, percebi que ficou um “buraco” maior na região da gengiva onde fica o diastema. Também estou salivando muito e com dificuldades de falar. Isso é normal? Em quanto tempo uma pessoa que fez esta cirurgia pára de sentir esse incômodo e volta a falar normalmente? Obrigada!
Os sintomas que você relata são bem comuns, Leilian… e vão diminuindo com o passar dos dias e o progresso da cicatrização. Umas 2 ou 3 semanas devem ser suficientes para o incômodo diminuir. A região do freio labial superior é muito exigida (pra falar, pra sorrir), por isso incomoda tanto e demora mais pra “voltar ao normal”.
Iniciei meu clareamento, na primeira sessão a resina nem apareceu ainda heheheheh, ta tranquilo. Obrigado pela força, vamos ver nas proximas.
😉
Ola dra. Fiz a frenectomia de labio superior ha 20 dias e meu sorriso ficou um pouco torto. Levanta mais de um lado do que o outro. Sera que tem como corrigir? Fiz pra evitar diastema, retracao gengival e melhorar o sorriso gengival. Obrigada.
Gisela, a cirurgia é bem recente, isso deve se corrigir de forma espontânea com o tempo. Mas se persistir, é possível corrigir, sim.
Doutora, ainda estou no tratamento do diastema (faz 4 anos, acho que estou sendo enrolada), fiz a frenectomia. Será que mesmo tendo feito a cirurgia corro o risco de o diastema abrir novamente?
Risco há, Nathália… por isso é essencial usar a contenção após a remoção do aparelho fixo. Mas com a frenectomia, a chance é bem menor.
Dra.,
Fiz a frenectomia labial hoje, levei apenas um ponto e percebi que foi cortada só uma parte do freio entre os dois dentes da frente que são separados, o diastema é em torno de 1 mm.
Achei que ia cortar até embaixo na parte de trás, tipo inicio do céu da boca, mas enfim estou com cimento cirurgico nesse unico ponto.
É normal o corte ser pequeno? O dentista me explicou que ele nao retirou todo o freio, apenas “empurrou” para cima a parte da gengiva que fica entre os dentes evitando que eles se juntem; ja uso aparelho fixo ha quase um mes, quanto tempo demora em média para juntar?
Caroline, a porção do freio a ser removida depende da avaliação do dentista. O fechamento do diastema costuma ser rápido, desde que os dentes já estejam mais ou menos alinhados. De 3 a 6 meses.
Li seu post, é muito interessante e esclarecedor, mas tira uma duvida pra mim, fiz uma frenectomia ha 15 dias, os pontos caíram no decimo dia, só que estou sentindo um certo desconforto na boca, como de se tivesse algo dentro onde foi feito a frenectomia, é normal acontecer isso. Me ajude, estou preocupada.
É assim mesmo, Jakeline. A região do freio labial é muito usada e exigida, essa “estranheza” que você sente é esperada, além da maior demora pra cicatrizar por completo. A tendência, com a cicatrização, é tudo voltar ao normal.
Olá Dra, no caso do fechamento de um diastema (mesmo que pequeno) seria cobrada uma ou duas faces ? Sei que não é ético perguntar preços, mas nesse caso como funcionaria isso ?
Provavelmente o dentista cobraria 2 restaurações. Mas varia com o caso, se for um fechamento mais complexo, que exija mock-up / enceramento (um estudo prévio em cera sobre o modelo de gesso), certamente o valor será fechado, considerando também o custo laboratorial.
Oi Dra. Ana!
Tenho uma duvida, coloquei aparelho fixo faz 3 dias e a dentista informou que ja posso fazer a frenectomia no freio labial superior pois tenho diastema.
Estou com medo pois ainda está doendo meus dentes. Devo esperar mais um pouco para fazer a remoção do freio?
Antes de colocar o aparelho ela informou que a frenectomia seria feita depois, que não teria nenhum problema, mas sinto que minha gengiva está sensivel por ter colocado recentemente. Será que vou ter alguma reação adversa se eu fizer a frenectomia daqui uma semana?
Problema nenhum Carol, a frenectomia pode ser feita já. Mas se você for se sentir mais segura, deixe pra daqui a algumas semanas. Não interfere muito.
Olá Dra, tenho um pequeno diastema nos dentes superiores incisivos centrais, usei aparelho por um bom tempo e meu dentista disse que eles não fecharam pela anatomia dos dentes. Ele me recomendou que eu fizesse a restauração de resina. Traduzindo os termos da odontologia “restauração de resina de uma face” o que quer dizer ? O que significa uma face ?
Marcos, face é um “lado” do dente. Os dentes têm vários lados, a parte que “morde” (incisal ou oclusal), a parte de dentro (palatina ou lingual), a parte de fora (vestibular) e entre os dentes (distal ou mesial). Restauração de uma face, portanto, é a restauração que ocupa apenas um desses lados.
Olá, Dra. Ana!
Após usar aparelho fixo por 3 anos e aparelho móvel por mais 3 anos, agora estou há 2 anos com a contenção fixa, mas percebi esses dias que meus dentes superiores centrais voltaram a se abrir, mesmo com a contenção fixa. Isso é comum? Por que isso acontece? Meu dentista disse p/ eu fazer a frenectomia e voltar a usar aparelho fixo por mais uns 4 meses p/ fechar esse diastema. Eu só queria entender: como os dentes puderam se abrir, mesmo com o fio colado na parte de trás dos dentes? Tenho receio de colocar novamente o aparelho e, mesmo assim, haver recidiva e nunca conseguir me livrar definitivamente desse problema, que é o diastema.
Aguardo sua opinião.
Obrigada!
Ligia, realmente é inesperado que o diastema se abra novamente usando contenção fixa. Provavelmente ela não está colada em todos os dentes anteriores, talvez só no caninos… porque se os dentes se movimentaram, me parece que eles não estavam fixados do fio. Se você tem um freio labial grande ou “baixo”, sugiro fazer a frenectomia, mesmo… se não a tendência é do diastema abrir novamente após a (nova) remoção do aparelho.
Obrigada por me responder, Dra.! Então, na verdade, a contenção fixa estava colada apenas nos dois dentes da frente superiores, e estava bem coladinha, por isso que não entendi como aumentou o diastema entre eles… mas vou fazer a frenectomia, como sugeriu. Parabéns pelo blog!
Doutora, fiz a frenectomia e esta sangrando, é normal?
Não deveria, Lucas. Se for um pequeno sangramento com resolução rápida, ok. Se for contínuo e/ou em quantidade, procure seu dentista pra verificar o que está acontecendo.
Ola, tenho 14 anos e tenho um pequeno espaço entre os dentes, e pequeno mas incomoda igual, deve ter 1, 2 milimetros, gostaria de saber o que posso fazer para tratar e quais os custos…
Tiago, como explico no texto, as opções para o fechamento do diastema são: restauração em resina OU aparelho ortodôntico. Como o seu diastema é pequeno, as duas opções são válidas. Com relação a custos, é preciso procurar um dentista (especialista em dentística ou ortodontia – embora um clinico geral possa avaliar também – e fazer uma avaliação).
Eu sou de Portugal, nao me pode dar mais ou menos uma estimativa de quanto é que ia ficar?
Não Tiago porque, além de cada caso se um caso, eu sou brasileira. Não tenho noção de valores de procedimentos odontológicos em Portugal (e ainda variaria com a região).
Sabe doutora, porque eu to tendo uma impressão que o dente vizinho depois que eu fechei o diastema, esse dente vizinho ele esta entrando por debaixo do que foi fechado, sei la, não sei se agora tem alguma força nele, com a resina tem algo a ver? Obrigada de novo.
Alessandra, até pode. Mas acho que o motivo deve ser outro, talvez alguma interferência, na hora de morder, com o dente de baixo. Procure seu dentista pra avaliar.
Só mais uma dúvida, e se daqui uns meses ou ano eu sinta saudade do meu espacinho rsrs e queira voltar o dente a ser como era antes o que tenho que fazer? Obrigada.
Volte a procurar seu dentista. Se não tiver sido feito nenhum desgaste nos seus dentes, basta remover as restaurações.
Boa tarde, tenho diastema nos dentes superiores da frente e fechei ontem com resina, só que agora ao morder sinto estranheza nos dentes que foram mexidos, não esta a mesma coisa, o que pode ser? Obrigada, no aguardo da resposta.
Alessandra, talvez as restaurações tenham ficado um pouco “altas” pela parte de trás. Sendo isso, pra resolver, basta fazer um pequeno ajuste (desgaste). Entre em contato com o seu dentista e relate o problema.
Boa noite, primeira vez que encontro um post sobre isso tão explicativo e ao mesmo tempo simples de entender.
Depois de ler os comentários e ver sua atenção com todo mundo, digo que se tivesse dinheiro iria até Curitiba só pra me consultar com vc.
Tenho um diastema nos dentes frontais superiores de 6-8mm, desde criança, o espaço era menor e com o tempo foi crescendo, é hereditário, boa parte da família tem ou teve.
Fiz um canal em um molar e coloquei uma espécie de resina pra “completar” o dente, uma parte disso quebrou depois de pouco tempo e soltou. Paguei caro por isso e agora a dentista disse que se eu quiser colocar o aparelho, tenho que pagar e colocar novamente a parte que quebrou ou meu dente com canal não aguentaria. É assim mesmo que essas coisas funcionam? Essa resina não é só estética, ou tem alguma função na ‘estrutura’?
Obrigada Ana, fico feliz em ajudar. 🙂
Sim, a resina tem função estética e estrutural. E é importante que o seu molar esteja com a função restabelecida pra instalação do aparelho, então será preciso fazer a nova restauração, sim. A dentista é a mesma que fez essa restauração? Faz tempo que o dente foi restaurado?
A dentista é a mesma, quebrou faz uns 3 meses, mas quebrou menos de um mês depois da restauração. E eu não estava comendo nada demais, acho que era um biscoito comum, não queria ter que pagar novamente pela colocação e pior, pela prótese.
Ana, converse com ela então! Se foi a restauração que quebrou, é provável que ela refaça pra você. Já se foi o dente, é outra história, principalmente se for necessário prótese…
Dra. esse freio que ficou, bom chamo de freio porque percebo que está segurando minha língua, ele está doendo quando falo e também outros movimentos que faço. Será pelo fato de não ter terminado todo o processo de cicatrização? Espero que seja, esse o motivo. Abraço dra.
Aguardo resposta! Muito obrigada!
É o que eu acho, Ana!
Ana, fiz a frenectomia ha 15 dias, todos falavam em cirurgia simples, mas no meu caso foi horrivel, estou sofrendo ate hj, pois meu sorriso nao esta normal, minha boca esta tipo sem elasticidade e um pouco de dor no local… isso realmente é normal? Minha boca ainda esta um pouco inchada tb… estou nervosa pq nao sei se meu sorriso voltara a ser como antes ? Por favor me ajude!
Carolina, é assim mesmo. Enquanto o local não estiver bem cicatrizado, pode ficar com aspecto e sensação estranhos. A região do freio labial é muito exigida, principalmente ao falarmos, então demora a cicatrizar e o pós-operatório ser dolorido. Mas, pela sua descrição, vai tudo bem… é aguardar pela recuperação do seu organismo, mesmo. Mas de você em qualquer momento achar que há algo errado, não hesite em entrar em contato com o seu dentista.
Dra. Muito obrigada pela atenção. É muito importante essas informações que a sra. passa, me sinto mais tranquila. Voltando para o meu caso, percebo que aos poucos que minha língua está voltando os movimentos de antes. Hj observando melhor no espelho, na minha ignorância, fiquei achando que não foi retirado totalmente o freio. Acho que foi isso que aconteceu. Abraço dra. Muito obrigada mesmo ! E parabéns pelo seu lindo trabalho.
Fico feliz em ajudar, Ana. 🙂
Quem me indicou foi uma dentista, quando viu o meu freio, e perguntou se eu não queria retirar. Daí pensei que com a retirada, minha língua ficasse maior. Porém o que percebo é que minha língua ficou na mesma ou tenha ficado menor. Nao sei. Será que existe essa possibilidade da língua ficar menor? Obrigada Dra. mais uma vez.
Só se aconteceu algum tipo de fibrose no local da cirurgia, Ana… mas eu acho precipitado afirmar isso, acho que é cedo, a cicatrização ainda está em curso.
Olá Dra. Ha 9 dias fiz uma frenectomia lingual e já retirei os pontos. Agora o que está me incomodando é que estou com a sensação que a minha língua está mais curta a ponto de não leva-la aos lábios. O médico disse que minha língua é curta mesmo e que não tem mais freio a ser retirado. Estou arrependida. Não sei em que vai melhorar essa cirurgia, já que falava bem. E agora estou sentindo um pouco de dificuldade de falar algumas palavras. Deus me abençoe. Abraço dra. Obrigada pela atenção!
Ana, os tecidos ainda estão em cicatrização, então essa sensação deve ser apenas passageira. Quem indicou a frenectomia? Por qual razão?
Olá, eu fiz a cirurgia de freio labial sexta passada, dia 13, não levei ponto, o dentista colocou uma massa no meu dente e no meu céu da boca, e no outro dia eu pude tirar a massa, e normal sentir os dentes dormentes? Eu sinto como se o dente tivesse “mole”, mas na verdade não ta “mole”, isso é normal ? E demora quanto tempo pra cicatrizar ?
Essa “estranheza” no local é normal sim , Stefany. Em 1 ou 2 semanas já deve estar bem cicatrizado.
Olá, Dra. Ana
Minha dentista removeu o meu aparelho fixo pois os meus dentes já estavam certinhos, e eu precisava tirar a foto do convite da formatura, porém ficaram pequenos espaços entre os dentes superiores, os quais ela me informou que fecharia com o aparelho móvel. Porém, nao consigo imaginar como a contenção móvel pode unir os dentes, já que com o fixo eu sempre via ela apertando dente por dente. É possivel o aparelho móvel fechar espaços entre os dentes??? O meu problema é genético, a minha mãe e a minha irmã também tem diastemas, tenho medo de parar de usar o aparelho móvel e abrir novamente. Gostaria de saber se poderia usar aquela contenção por trás dos dentes para evitar que eles voltem a se abrir novamente, pois toda vez que demorava a apertar o fixo, os espaços voltavam.
Grata!
Bárbara, não entendi se esses espaços já existem ou se você apenas tem medo que eles se abram após a remoção do aparelho fixo. Se for o segundo caso, considerando a predisposição genética, a contenção fixa seria mais segura. Mas no arco superior nem sempre há espaço para colocação de contenção fixa, por causa da própria mordida. Converse com a sua dentista, pra verificar se, no seu caso, isso é possível.
Bom dia doutora, tenho diastema, dai acabei fechando ele, sera que eu poderia abrir de novo o diastema tirando a massinha e colocar um aparelho dentario?
Fernanda, deixa eu entender: você se arrependeu de ter fechado o diastema com restauração, quer remover e usar aparelho? Dá. Se não tiver sido feito nenhum desgaste nos seus dentes é mais fácil mas, mesmo se tiver sido feito, é possível remover pelo menos parte da restauração (ou fazer uma nova preenchendo apenas o que foi desgastado) e fazer o fechamento com aparelho. Procure um dentista / ortodontista pra avaliar.
Obrigada dra. pela atenção. Eu sei que é difícil de diagnosticar sem analisar o caso. Mas percebo que minha língua não está muito solta. Será que é por que eu não tirei os pontos, não consigo nem falar direito como antes e parece que está menor do que antes? Acho que vou ter um resultado depois da retirada dos pontos. Só essa curiosidade, não dá para encurtar a língua, mesmo em um erro?
Mais uma vez obrigada.
Aguardo retorno.
Sem dúvida tem a ver com os pontos sim, eles restringem o movimento da língua. Não creio que a sua língua esteja “encurtada”, fique tranquila.
Olá dra. Fiz uma frenectomia lingual há 4 dias e percebo que estou salivando mais, é normal? E acho que tem um ponto inflamado, pois está com uma cor amarelada por cima. Será que tem problema em tirar os pontos daqui a 3 dias? E sobre a saliva excessiva é preocupante? Parece ser uma saliva diferente, não sei explicar.
Aguardo retorno! Obrigada pela atenção!
Ana, creio que uma coisa não tem a ver com a outra… pelo menos, maior salivação não é um sintoma pós-cirúrgico comum. A “saliva diferente” talvez nem seja saliva, mas um exsudato inflamatório amarelo-transparente comum na fase de cicatrização. Quanto aos pontos, se o seu dentista julgar que dá pra remover, sem problema.
Oiii, fui ao dentista e ele me disse que da pra fazer com resina pois e menos de 6mm, e nao e grande meu freio labial… to muito feliz, nao vou precisar da cirurgia… muito obrigada pela sua atenção, bjs.
😉
Tenho os dentes da frente separados desde criança, sempre me incomodou, tenho vergonha de sorrir. Decidi procurar um dentista para me ajudar… ela me disse que tenho freio, que tenho que fazer a cirurgia, mas queria saber se posso fechar meu diastema com resina? E se der pra fazer, meu freio não vai aumentar mais?
Franceli, se o seu diastema tiver até 6 mm, em princípio dá pra fechar com resina, sim. Seria um problema, apenas, se o seu freio labial for MUITO grande. E não, o freio não vai aumentar mais.
Bom dia, Ana! Primeiramente parabéns pelo seu trabalho, bem explicativo, acessível. Parabéns também pela sua disposição em responder tão claramente todos os questionamentos daqueles que vem tirar alguma dúvida. Lendo alguns comentários acima, consegui identificar o meu caso no relato de algumas pessoas. Tenho diastema, e tento fechá-lo há mais de 6 anos, tive recidiva e precisei usar por 2 vezes o aparelho ortodôntico. Confesso que descuidei do uso da contenção móvel (passei mais de 1 mês sem usar, ininterruptamente), e voltaram a afastar. Estava incomodada com o afastamento dos dentes e passei a usar novamente, e agora estão fechados. Gostaria de saber se tem algum problema em usar a contenção para esse caso, e se usando de modo contínuo há probabilidade dos dentes não afastarem mais. Ademais, gostaria de saber se há alguma contenção fixa a ser utilizada que substitua a móvel. Tenho uma contenção nos dentes de baixo e queria saber se há alguma similar para o superior. Obrigada!
Clarissa, obrigada. 🙂
Se a contenção foi capaz de fechar o diastema, o uso contínuo dela deve estabilizar o problema, sim. A contenção fixa é uma alternativa (como geralmente é feito no arco inferior), porém é preciso avaliar se há espaço suficiente para instalá-la.
Ana, fiz a cirurgia há uns 3 dias e caiu 2 pontos que ficam na parte do lábio, há algum perigo de não cicatrizar ou eu ter que fazer outros pontos ? O dentista disse que os pontos são absorvíveis e portanto não preciso voltar nele. Tenho medo de ficar sem os pontos e o corte não fechar. E eu posso passar o omcilon orabase pra cicatrizar mais rápido ou deixa assim mesmo ?
Nique, você fala da frenectomia? Em princípio não há necessidade de novos pontos nem de usar nenhuma medicação. Mas se você for ficar mais tranquilo, entre em contato com o seu dentista e relato o ocorrido.
Ola, bom dia,
Eu uso aparelho ortodontico fixo ha 1 ano e meio, meus dentes sempre foram unidos, so que tenho pequenos buraquinhos (quando sorrio na foto fica aquele buraco negro bem pequeno) entre os dentes incisivos frontais, na junção com os incisivos laterais, qual seria a melhor solução? Diminuir o diametro com a aquela “maquina que desgasta o dente” e o aparelho fecharia de maneira que desaparecesse o buraco?
Thiago, pela sua descrição o problema é a anatomia dos seus dentes, o que cria um “espaço negro” no seu sorriso, e não a distância entre eles. Nesse caso, seria bom fazer uma avaliação com um dentista especialista em estética (dentística) pra definir qual é a melhor solução, mas geralmente é possível resolver o problema com uma restauração estética ou faceta.
Ola, eu tenho um diastema, porem ja foi fechado, pois uso aparelho ortodontico ha 5 meses, mas meu dentista me comunicou que precisarei fazer a retirada do freio, porem como ja foi fechado e esta de certa forma perfeito, o fato de estar fechado, atrapalharia o procedimento, sendo necessário o afastamento dos dentes novamente?
Não Jeremias, o fechamento do diastema não atrapalha a frenectomia.
Ola doutora, meu nome é Bruna e tenho os dentes certos, só os dois da frente q sao abertos, e fiz a cirurgia e tirei o freio, vou usar aparelho fixo so que o meu tratamento é pelo dentista do bem, de graça até os 18 anos, e ja tenho 17, em novembro faço 18 e tenho 8 meses para arrumar meus dentes, os meus dentes nao sao tao separados, só uma brecha, mas é visível, e gostaria de saber se vai demorar para fechar meus dentes e quanto tempo vai demorar, ja fiz toda a documentaçao, so falta por o aparelho, me ajude a saber, to ansiosa…
Bruna, não tenho como dar uma previsão de tempo de tratamento apenas com base na sua descrição. A melhor pessoa pra te dizer isso é o seu dentista, já que ele examinou você e conhece o caso. Mas, em princípio, se os seus dentes não forem muito tortos, a fechamento do espaço entre os dentes da frente é relativamente rápido, coisa de 2 ou 3 meses. Claro, estou considerando só o fechamento desse espaço, o tratamento completo vai demorar mais.
Oi, ouvi dizer que o tratamento realizado pelo plano odontológico é mais demorado, é verdade?
Lara, o tratamento, em si, não é. O que geralmente acontece é que o tempo de espera entre uma consulta e outra é maior, tanto por uma questão de agenda quanto de liberação dos procedimentos pelo plano.
Olá Dra., me tire uma dúvida, fiz frenectomia ha 13 dias e meu labio superior ainda continua inchado, isso é normal, demora muito para desinchar, detalhe, amanhã vou retirar os pontos.
Monique, se você ainda tem os pontos é esperado, sim, um pouco de inchaço. Com a remoção dos pontos, vai desinchar em alguns dias.
Oii Ana, usei o aparelho fixo por 2 anos, e estou usando a contenção móvel superior ha 1 ano, uso durante todo o dia, mas eventualmente deixo de usar 1 dia por ex. e noto que isso acarreta um mínimo diastema nos dentes da frente, mas quando volto a usar em questão de poucas horas voltam ao normal.
Minha dúvida é a seguinte, é normal haver esse movimento nos dentes mesmo após um ano? E como saber quando vão parar de se moverem? E se é necessário usar a contenção móvel por muuuitos anos para que não aconteça isso?
Muito obg pela atenção, ótimo blog!
É assim mesmo, Glauber. Após a remoção do aparelho fixo, os dentes tendem a se “reacomodar”, o que pode causar pequenas movimentações dentárias indesejadas. Infelizmente não há uma época segura pra parar de usar o aparelho removível de contenção (de forma que essas pequenas movimentações não ocorram), por isso o ideal é usar o maior tempo possível, pelo menos pra dormir. Todo tratamento ortodôntico tem chance de recidiva.
Eh justamente como falta de pele, gengiva no lugar… O dente continua junto, e em cima um buraco bem feio sem carne (gengiva) será q ainda volta? “Nasce”?
Se a frenectomia é recente (menos de 2 ou 3 meses), certamente a gengiva ainda está em cicatrização, então vai acabar se fechando espontaneamente.
Tenho diastema mas é pouco espaço aberto… vou colocar aparelho dia 17. Será q vai doer mt pra fechar ?
Não dói não, Keila. O fechamento, dependendo do tamanho do diastema, é rápido… às vezes até no primeiro mês já fecha.
Olá! Fiz uma cirurgia e retirei o freio… Era grande, e ficou um buraco enorme entre os meus dentes… Usei aparelho por 4 anos e assim que tirei a fiz… Será q ficará assim para sempre?? To me sentindo tão feia… Penso até em enxerto… O que faço ?
Ingrid, só pra eu entender melhor: o “buraco enorme” a que você se refere é entre os dentes (os dentes estão afastados) ou é na própria gengiva, como uma falta de tecido? Ainda: após a remoção do aparelho os seus dentes “abriram” ou não?
Olá, Ana!
Tenho um diastema que deve medir 1,5mm
Meu ortodontista me recomendou o preenchimento com resina, mas não fiz ainda pois tenho medo de ficar refém dos clareamentos periódicos para igualar a cor do dente com a cor da resina. Normalmente esta manutenção é feita com quanto tempo?
Pretendo fazer clareamento também, é melhor fazê-lo antes? o que você recomenda?
Obrigada :]
Ynayara, facetas de resina direta realmente costumam apresentar mais variação de cor ao longo do tempo. Seria preciso reavaliá-las a cada 5 anos, mais ou menos (claro, depende muito dos hábitos alimentares e de higiene do paciente, se ele fuma, etc.). Já as facetas de porcelana mantêm a cor por mais tempo (10 anos, talvez?), então eu acho que seria mais apropriado no seu caso. Quanto ao clareamento, ele tem que ser feito ANTES, porque facetas e restaurações não clareiam em contato com o gel, então devem ser confeccionadas já na cor dos dentes clareados.
Olá, faz mais ou menos uns 10 dias que eu tirei meu aparelho fixo superior que eu utilizava pra juntar o espaço que tinha entre os dois dentes da frente, porém notei um pequeno afastamento entre eles novamente, e minha duvida é a seguinte: o aparelho móvel pode juntar esse pequeno espaço que se abriu? Ele tirou o molde assim que retirou o fixo, mas só irei busca-lo daqui a uns 18 dias, isso pode prejudicar? Meu dentista não mencionou nada :/
Rayanne, em caso de fechamento de diastema o ideal é sempre instalar o aparelho removível no mesmo dia em que se retira o fixo, justamente pra garantir que o espaço não se abra novamente (o que é bem comum). Se o espaço que se abriu for BEM pequeno, a contenção pode até fechá-lo novamente (considerando que ela será confeccionada com base nos seus dentes sem o espaço)… mas só tentando pra saber.
Boa tarde Ana, meu nome é Kezia, tenho 21 anos e fiz a cirurgia para retirar o freio labial faz 3 dias hoje, ainda tá inchado, não consigo falar direito e sinto um liquido meio amarelado escuro, fiquei com medo, agora não tem cheiro, limpo com água oxigenada 10, escovo os dentes com frequência, isso é normal? Como proceder?
Kezia, pelo seu relato está tudo dentro do esperado. A região da cirurgia é bastante exigida (pra falar, pra comer), então é normal doer um pouco e estar inchado. O líquido amarelado é um exsudato inflamatório, uma “aguinha” cheio de proteínas comum nesse período de cicatrização. Apenas continue mantendo uma boa higienização, em mais alguns dias você vai estar bem.
Olá Ana,
Tenho um diastema pequeno entre os incisivos centrais e meu dentista sugeriu que eu o fechasse com resina, sem desgastar os dentes, por ser apenas uma questão estética (já que meus dentes são alinhados e minha mordida é certa).
Porém meu periodontista disse que com o fechamento a gengiva entre esses dentes poderia ficar avermelhada e irritada, que a resina com o tempo poderia ficar escura e que na retirada dela meus dentes poderiam ficar porosos e ásperos no local. O que você acha sobre isso?
Com isso fiquei na dúvida de fechá-lo ou não por medo de mexer em algo que está bom.
Obrigada desde já pela atenção!
Tatiana, eu acho que o fechamento do seu diastema com resina é uma boa opção, sim. Uma restauração bem feita não traria as consequências que seu periodontista citou.
Olá Ana!!
Minha filha tem quase 6 anos e um dos incisivos centrais superiores está ficando torto, ele era certinho quando nasceu e isso foi quando ela tinha 4 anos, ela tem diastema e a odontopediatra sugeriu procurar um especialista para fazer uma frenectomia, pois essa seria a causa do diastema e do dente estar ficando torto. Estamos com duvidas sobre qual especialista procurar e se esse tipo se cirurgia por ser em uma criança de 6 anos, precisa ser em hospital ou pode ser em clinica mesmo? O que pode ocorrer se não for feita a cirurgia nesse momento e deixarmos para fazer quando ela tiver uns 10 anos para que o pós-operatório seja mais fácil? Ela sempre teve dificuldade para falar algumas palavras e depois de diversas sessões de fono melhorou bastante, esse problema pode ter relação com o diastema ou com a inserção muita baixa do freio superior?
Desculpe esse monte de perguntas, eu e minha esposa estamos preocupados sem saber o que fazer.
Obrigado!
Diego, procurem um dentista periodontista. A cirurgia é com anestesia local e feita em ambiente ambulatorial (consultório, clínica), mesmo. Sim, a frenectomia pode ser feita na idade dela e, sendo a causa do diastema, pode ajudar bastante para o fechamento dele e no consequente aumento do espaço disponível no arco. Vocês podem aguardar também, mas não acho que o pós-operatório será mais fácil… crianças mais novas geralmente até enfrentam melhor situações assim. Creio que a dificuldade na pronúncia de certos fonemas não tem a ver com o freio labial grande, geralmente o freio lingual é que cria esse tipo de problema.
Olá Dra, boa tarde! 🙂
Eu tenho um diastema de mais ou menos 1 mm de largura, entre os dentes centrais da arcada dentária superior. Uso aparelho ortodontico há 4 meses. No mes de Outubro usei um elastico para melhorar o tamanho do meu diastema, e sim, meu diastema ficou bem melhor, os dentes se alinharam, está praticamente tudo certo, acho que deve estar com meio mm de largura. Nesta ultima manutenção, eu coloquei de novo o elastico para se fechar totalmente, mas pedi a minha dentista para tirar pois eu não me sentia bem com ele. 🙁 Estou um pouco arrependida, pelo o que ela disse, que o sozinho não ai segurar o diastema fechado. O arco que estou usando agora, é o mesmo que usei o mes passado e ele manteve meu diastema do tamanho que ficou quando tirei o elastico. Dessa vez usei o elastico por 3 dias e hoje tirei, sera que vai abrir muito? Vai ficar na mesma proporção que disse acima, (meio mm) ou vai abrir totalmente?
Fiz meio que uma loucura de amarrar meus 4 dentes centrais com ligas de cabelo (elastiquinhos) para impedir a movimentação da gengiva, mas faz mal? E meus dentes vão se separar em quanto tempo, isso é questão de alguns dias ou horas? :/
O seu blog é ótimo, gosto muito de visitá-lo, espero ser respondida. Agradaço desde já e boas festas Doutora ! 🙂
Gabriela, enquanto você usa o aparelho, o diastema deve ficar estável, ou seja, se for fechado, deve permanecer fechado. Portanto, ele não deve abrir (a não ser que haja algum outro fator a se considerar, como um freio labial grande, por exemplo). A fase mais crítica é a de contenção, quando o aparelho fixo é removido, aí todo cuidado é pouco, o diastema pode abrir se não for bem contido. Por favor, não use nenhum tipo de dispositivo “a mais” por conta própria, outros tipos de elásticos vão exercer forças diferentes sobre os seus dentes, o que pode levar a movimentações indesejadas e problemas mais sérios.
Olá Dra. Fui submetida a uma frenectomia labial há 48h, o dentista agendou a retirada dos pontos para 5 dias após a cirurgia pois entrará em recesso de Natal e Ano Novo. Mas me preocupei, será que não é cedo para retirada dos pontos? Se nao forem retirados, há problemas em mantê-los por mais de 20 dias? Qual a melhor alternativa?
Entre deixar por mais de 20 dias e remover em 5 dias, o melhor é remover em 5 dias, Amanda. É tempo suficiente sim, a não ser que seu dentista perceba alguma alteração.
Olá. Eu vou precisar colocar o aparelho hirax e fazer a cirurgia de disjunção palatina. Eu posso colocar o hirax e fazer a cirurgia apenas 1 mes depois? Obrigada.
Até pode, Larissa. Depende do caso e da movimentação ortodôntica / ortopédica que seu dentista pretende fazer. Ele deve esclarecer pra você quando / quanto será necessário usar o aparelho.
Oi Doutora! Percebi neste ultimo semestre uma pequena fenda entre meus dentes superiores, não chega a ser perceptivel, tem que olhar bem perto pra ver, mas não havia essa fenda antes, ela pode aumentar e virar uma diastema ?
Se é uma “fenda” já é um diastema, Atailon. Sim, pode aumentar, mas não dá pra afirmar que isso vai acontecer. É questão de acompanhar.
Olá, fiz o procedimento de frenectomia labial três dias atrás, estou tomando a medicação, não sinto dor, mas o lábio superior ainda está inchado e tenho uma dúvida quanto a escovação, pois ficou um pequeno espaço entre os dentes da frente e ficou tipo uma massinha branca… É a pele ou restos de comida líquida (sorvetes, iogurtes)? Pois não passo a escova próximo a gengiva desde que realizei o procedimento.
Esqueci de mencionar que meus dentes superiores (da frente) são separados.
Desde já agradeço.
Juliana, provavelmente é a própria gengiva em fase de cicatrização. Ela pode ficar com aspectos / colorações diferentes, mesmo.
Boa tarde Dra., uso aparelho ortodôntico há 1 ano e 6 meses, fiz cirurgia de frenectomia… atualmente uso corrente mas sempre que tiro meus dentes se afastam novamente. Gostaria de saber se é normal? Desde já agradeço.
Pode acontecer sim, Diego. Será preciso usar a contenção direitinho após a remoção do aparelho fixo pra que os seus dentes não se afastem… talvez, até, uma contenção fixa.
Olá Dra, após retirar o aparelho fixo penso em fazer a limpeza. Mas além disso existe um pequeno diastema que o aparelho não conseguiu fechar. Minha dúvida é se posso fazer a colocação da resina para fechar esse diastema após a limpeza ?
Pode sim, Antonio. O fechamento com resina está indicado para diastemas de até 6 mm.
Olá, Dra. Ana…
Tenho uma dúvida: se existe contenção superior, colagem de barra lingual entre os incisivos centrais, por que então os dentistas ainda pedem para fazer a frenectomia? Acredito que a contenção não incomoda e, se precisasse, poderia ser usado pelo resto da vida, não?
Mariane, porque a contenção não seria uma solução, ou, no máximo, uma “solução temporária”. Em caso de um freio labial realmente hiperplásico, bastaria que a contenção se soltasse por 1 ou 2 dias e o diastema fatalmente abriria. Além disso, toda contenção fixa é um fator de retenção de placa bacteriana, e exige que o paciente tenha um higiene exemplar… o que infelizmente, não é o caso de todos.
Olá! Por favor, me tire algumas duvidas.
Tinha diastema, usei aparelho ortodôntico por 2 anos, tem 2 dias que tirei o aparelho por conta própria porque estava me prejudicando, estava com muitas aftas. A dentista falou que ja estava tudo encaixado, mas que ficaria mais uns 2 meses, mesmo assim resolvi tirar. O problema é que percebi que os dentes estão abrindo novamente, porque a contenção não ficou pronta ainda. Qual o tempo máximo que posso ficar sem a contenção, me prejudiquei em tirar o aparelho com 2 meses de antecedência, quando começar usar a contenção entes se juntam novamente?
N., você se prejudicou, sim. Pergunto: sua dentista já havia moldado você pra fazer a contenção antes de você remover o aparelho? Se sim, há uma possibilidade de que a contenção “junte” os seus dentes novamente, ISSO SE ELA ENTRAR. Se não… infelizmente, só instalando o aparelho novamente (ou fechando o diastema com restauração).
Olá, uso aparelho fixo ha 1 ano e tinha os dentes da frente separados, agora que meus dentes juntaram, fiquei com um “pedaço” grande de gengiva atrás dos incisivos centrais, que incomoda e sangra com fio dental e está bem vermelho e sinto esse pedaço quando passo a lingua, vejo que parece estar solto. A cirurgia que tenho que fazer envolve o freio na parte da frente, ou é somente a retirada dessa carne na parte de trás dos dentes? Pois os dentes não se separaram mais. Há parte um excesso de gengiva também entre o incisivo central e o lateral, mas somente na frente do dente. O que é mais recomendado?
Elis, a cirurgia de freio labial geralmente é feita só pela parte da frente, mas havendo essa “sobra” na parte de trás, se o dentista julgar necessário pode remover, também. Da mesma forma com a gengiva entre o central e o lateral… sendo necessário, o dentista vai sugerir a remoção. De qualquer forma, chame a atenção dele para o fato, deixe claro que isso está incomodando você.
Doutora, gostaria de saber qual o custo do tratamento completo e qual a duração ?
Qual tratamento, Alan? Enfim, independentemente de qual seja, é preciso procurar um dentista pra avaliar seu caso clinicamente. Não há como saber valor / tempo de tratamento sem conhecer o problema e definir uma solução pra ele.
E essa questão da “mudança no sorriso”, isso realmente pode acontecer? Li comentários que o sorriso muda, na hora de sorrir, só aparecem os dentes inferiores, como se o lábio cobrisse os dentes de cima… Isso realmente pode acontecer??
Pode mudar um pouco, mas isso de “cobrir” os dentes de cima não é comum não, pelo contrário. É a presença do freio labial “grande” que geralmente causa isso.
Olá Doutora!! Uso aparelho há uns 4 meses, fui ao dentista esses dias e ele falou da necessidade de fazer a frenectomia, mas sou muito medrosa, morro de medo. Sou do tipo que não posso nem ver sangue que a pressão já baixa e tenho princípios de desmaio… Estou muito nervosa e acho que não vou conseguir fazer a cirurgia por conta do nervosismo. Queria saber mais detalhes de como funciona, se realmente existe dor, se tem algum perigo, quanto tempo em média demora… Queria saber de algo que me confortasse!!! Meu nervosismo está a mil!! Hehehehe
Rayanne, a frenectomia é um procedimento simples, que consiste em remover parte do freio labial. A anestesia é local, sangra só um pouquinho (e você não precisa ficar olhando, até porque vai ter um campo cirúrgico no seu rosto pra você não olhar mesmo :)), e não é uma cirurgia demorada, coisa de 20 minutos, meia hora. É muito seguro. Não dói, pode ficar tranquila. O que pode incomodar é o pós-operatório, já que essa região é muito acionada (pra falar, pra comer)… mas aí já foi, né?! 😉 Enfim… vá tranquila.
Doutora, uso aparelho ha 6 meses, meu diastema fechou em partes, os dentes ja estão alinhados e estou adorando o novo sorriso, contudo percebo que a raiz, bem no comecinho da gengiva ainda está aberta, só que não aparece por causa do freio labial que o tampa, mas ainda está aberta essa parte entre os dentes, será que irá fechar completamente sem precisar fazer cirurgia para retirar o freio?
Patricia, se bem entendi os dentes se encostaram mas, próximo à gengiva, persiste um espaço, como se fosse um “triângulo escuro”. É isso? Se for, provavelmente isso ocorre pela anatomia (formato) dos seus dentes. O aparelho não tem como resolver isso, pois é uma característica dos seus dentes. Nesse caso, há a opção de fazer uma pequena restauração estética em resina quando o aparelho for removido pra preencher esse “triângulo”.
Doutora, muito interessante sua matéria, parabéns pelo trabalho. Bom, o meu caso também é o diastema! E com certeza eu temo a ele KK’ Eu uso aparelho ha pouco menos de um mês, não me importo com dor de aparelho, nem que mude um pouco a aparência, mas me incomoda muito o espaço que fica entre os dentes e o aparelho, eu sou relativamente vaidosa e vou conhecer alguém que gosto muito, não é necessário entrar em detalhes, mas ele não pode me ver assim. D; Gostaria de saber se é possível usar resina entre os dentes da frente junto do aparelho só pra disfarçar um pouco? Se sim, a resina pode quebrar conforme o aparelho ajusta os dentes e teria que ser trocada a cada vez que eu aperte o aparelho? Sei que não é ético perguntar isso, mas preciso ter uma noção do preço para completar um espaço pequeno com resina… (?) Muito Obrigada!
Carolina, essa associação entre fechamento de diastema com resina e com aparelho não é algo que se faça todo dia. Aliás, eu nunca fiz e não sei de alguém que tenha feito :P. É uma possibilidade mas, considerando a relação custo-benefício, eu acho que não vale a pena. Você teria que fazer uma nova restauração (que ainda assim deixasse algum espaço entre os dentes pra que eles se movimentassem) a cada nova consulta. Seria até possível trabalhar com desgastes, como se esse dentes fossem “largos” demais e precisassem ser diminuídos, mas mesmo assim… seria bem trabalhoso, e mais trabalho significa mais $$$. Com relação a valores, não é nem uma questão ética, é que “fechamento de diastema” é um termo genérico pra um procedimento que pode ser feito de muitas formas, com ou sem enceramento diagnóstico (um “ensaio” num modelo), de forma direta, de forma indireta… depende. Então o valor varia muito, também. E depende do dentista… se ele for especialista em estética, vai cobrar mais caro, com certeza. Ainda, como citei, essa combinação de procedimentos é uma exceção, então a previsão de custos é totalmente personalizada.
Bom dia Ana Tokus, estou com uma duvida, minha namorada colocou aparelho para os dentes fecharem e fazer a cirurgia de remoção do freio… ela fez a cirurgia faz 5 dias, mas quando ela sorri parece que o sorriso dela mudou, ela sorri e só aparece os dentes de baixo, os labios superiores ficam tapando os dentes… ela esta bem preocupada… daqui a dois dias ela retira os pontos.
Marlon, é que os próprios pontos estão segurando o lábio dela, além de um provável inchaço que deixa o lábio “esquisito”. Podem ficar tranquilos, o sorriso dela vai voltar ao normal.
Oi Marlon, tudo bem? Poderia me informar se o sorriso de sua namorada voltou ao normal… estou na mesma situação que você descreveu… abraço!
Dra. Tenho diastema nos dentes da frente, creio que ele não seja mais de 3 mm, é um espaço pequeno. Eu coloquei aparelho dia 11.09.13, mas não quis ficar, pois vai levar muito tempo com este e terei que fazer a frenectomia. Minha dúvida é: tenho 15 anos, esse diastema pode abrir mais conforme o tempo? Ou ele permanece sempre do mesmo tamanho? Porque prefiro completar o espaço com resina, proporciona resultados satisfatórios e imediatos rs. Mas se o diastema se abrir é melhor continuar com o aparelho.
Não Gabriela, geralmente o diastema permanece do mesmo tamanho. Pode até abrir, mas é muito incomum.
Dra. Ana, estou para fazer uma frenectomia em meados de setembro. Uso aparelho ha 2 anos e 4 meses e meu diastema fechou no segundo mês. Tinha mordida aberta também, usei grade e fiz três meses de fono (graças a Deus foi rapidinho meu tempo de fono). Acontece que meu dentista só falou da frenectomia após 2 anos de tratamento, perto do fim praticamente, e ele disse que foi intencional, que ele preferia assim. Quais problemas terá para fazer essa frenectomia com o diastema fechado? Olhando vídeos da cirurgia só vi com diastemas abertos… me sentindo a única a fazer isso depois de fechado! Desde já, agradeço.
Problema algum, Mariane. A frenectomia pode ser feita normalmente, alguns dentistas preferem realizá-la (quando há necessidade, claro) no início do tratamento e outros no final. É uma questão de opinião clínica, com boas justificativas nos 2 casos. Pode ficar tranquila.
Ola, Drª Ana. Eu ja usei aparelho tem uns 10 anos, fiquei satisfeito, os dentes ficaram perfeitos tendo em conta que os tinha muito tortos. Fiquei com o fio em aço atras dos dentes e o aparelho de contenção que usei talvez uns 2 anos. Há uns tempos atras lembro-me do fio em aço ter-se solto no lado esquerdo dos dentes da frente, mas nem liguei muito. Hoje vi o aparelho de contenção e notei que na parte do dente direito estava ligeiramente a frente do esquerdo, coloquei nos dentes e ja me magoava nas gengivas! Ao passar a mão nos dentes notei que agora é o dente esquerdo que esta ligeiramente (1 milimetro) a frente do direito. O facto de o fio ter-se solto originou isto de o dente se mover.
O que eu queria saber é:
É só voltar a colar o fio e o dente voltará ao normal? Ou terei que usar aparelho outra vez?
Ah, e para fazer um aparelho de contenção novo (visto que este magoa-me nas gengivas) terei que esperar que o dente volte como estava antes?
Agradecido.
Fabio, se a ideia é movimentar dentes, as contenções não resolvem. Elas servem pra manter os dentes em uma determinada posição, mas não pra movimentá-los ou devolvê-los pra uma posição anterior. Ou seja: seria necessário um novo tratamento ortodôntico. Mas se você usou aparelho há 10 anos, é perfeitamente normal que a contenção superior não encaixe mais (achei incrível o fato dela ter entrado!), pois os dentes tendem a se “acomodar”, e pequenas movimentações são inevitáveis. Você até pode fazer uma contenção nova hoje, mas ela não vai fazer seus dentes se movimentarem, apenas os manterá do jeito que estão.
Pois, compreendo. Então o primeiro passo é arranjar o fio de aço que se moveu. Neste caso, como a diferença nao é muita para o que estava antes, o mais adequado seria o aparelho móvel?
Muito obrigado pela rápida resposta, já sei mais ou menos que esperar quando for ao dentista.
Não, você pode continuar usando a contenção fixa, não precisa ser removível.
Uso aparelho fixo ha três anos, estou prestes a retira-lo. Porém meu diastema não fechou totalmente. Meu dentista disse que pela anatomia dos meus dentes, ele (o diastema) não ia fechar. E recomendou que no final do tratamento eu usasse a resina. Minha dúvida é se a resina é durável e se não vai aparentar diferença de coloração com os outros dentes ?
Esteticamente falando os resultados com resinas também são bons ?
Guga, a resina é durável, sim, e pode proporcionar excelentes resultados estéticos. Não há razão pra haver diferença de cor com os outros dentes, basta escolher a cor / opacidade certa no momento da confecção.
Bom dia Dra., vi a matéria e achei bem interessante, usei aparelho durante 3 anos, após tira-lo não me adaptei ao móvel e os meus 2 dentes da frente voltaram a ficar separados, embora meu diastema seja pequeno, confesso que me incomoda… 2 opções, cirurgia ou resina… o que vc me indicaria?
Desde ja agradeço!
Michele, a que tipo de cirurgia você se refere? Uma frenectomia? Seu freio labial é grande? Em princípio, se você não quer se submeter a um novo tratamento ortodôntico, eu sugiro a resina, que pode ser uma boa solução pra um pequeno diastema.
Dra. Tenho 53 anos e estou querendo fazer implante de 5 dentes na parte superior, porém sou hipertensa. Posso fazer? Outra dúvida, dói muito? E a recuperação é rápida? Muito obrigada, aguardo resposta. Seu site é especial.
Juciara, pode sim! DESDE QUE a sua pressão esteja controlada no momento do atendimento. Se você toma medicação pra isso, não terá problema algum… o dentista / implantodontista vai aferir a sua pressão arterial e, se ela estiver controlada, o procedimento pode ser feito normalmente. Não, a cirurgia não dói, e é feita com anestesia local. A recuperação depende muito do paciente… alguns apresentam sintomas mais fortes, outros menos… mas qualquer desconforto no pós-operatório pode ser minimizado com medicação. Se você não vai precisar de enxerto ósseo, a recuperação deve ser tranquila.
Dra. boa noite,
Fiz cirurgia do freio labial, porém depois de 3 dias apareceu uma bolha de sangue no céu da boca e está sangrando muito. O que devo fazer para parar esse sangramento? Muito obrigada. Seu site é excelente.
Deusy, seria bom procurar seu dentista pra reavaliar. Sangramento não é normal, ainda mais depois de 3 dias da cirurgia.
Em relação á minha pergunta (topo) se a frenectomia pode causar perda óssea, já ouvi opiniões que pode ter relações, sim. Mas respeito sua opinião. Estava pesquisando na internet a respeito, mas ainda não encontrei nada de cientifico, encontrei apenas o blog, que por sinal é muito informativo! Obrigada!
Erika, tem algum link aí que você tenha encontrado e que possa me passar a esse respeito? Porque a frenectomia como causa direta da perda óssea realmente não é algo que eu já tenha ouvido / lido a respeito. Mas vou conversar com alguns colegas periodontistas pra saber a opinião deles, fiquei curiosa. 🙂
São opiniões de amigos meus.
Erika, conversei com 3 colegas periodontistas e, na média ;), a opinião foi a seguinte: não, frenectomia não CAUSA perda óssea. O que causa perda óssea é infecção. Uma possibilidade é que, antes de fazer a frenectomia, a infecção já estivesse instalada… nesse caso a perda óssea apareceria depois. Ainda, um freio muito fibroso e mal inserido pode causar retração gengival e possível perda óssea. Mas, aí, a frenectomia seria a solução, não o problema.
O meu diastema tem 4 mm de largura, seria possível fazer o fechamento com resina? Os meus dentes frontais são grandes. Estou com medo de ficar feio. Na infância o dentista aconselhou ao meu pai a cirurgia de frenectomia. Será possível o fechamento da diastema mesmo depois de velho? Parabéns, pelo seu trabalho. Muito legal o site.
Paulo, diastemas de até 6 mm podem ser fechados com resina, mas é preciso avaliar porque, dependendo da anatomia dos dentes, pode ficar meio estranho sim (dentes com aspecto muito largo). Se os seus dentes são grandes no sentido de compridos, pode ser uma boa alternativa. Caso você faça a frenectomia, o fechamento pode ser feito com aparelho ortodôntico, também. Em qualquer idade.
Boa noite!
Eu irei realizar essa cirurgia no mês que vem e tenho muito medo (não de dentista, pois até hj não precisei realizar nenhum tratamento como canal, extração ou até mesmo uma obturação… e sim de anestesia c/ agulha, pq já passei por diversas cirurgias até os meus 7 anos de idade e fiquei com essa fobia… então pra tomar vacina, tirar sangue, etc eh um tormento =(
Então as dúvidas seriam:
1 – O cirurgião pode aplicar o anestésico local antes de aplicar a mesma ou existe alguma contraindicação? Mesmo com esses anestésicos locais (Ex.: Xilocaina) ainda sentirei alguma dor da agulha em si?
2 – Os pontos doem muito? E depois de quanto tempo tenho que ir retirar?
3 – A area fica mais sensível? Com a continuação do tratamento poderei sentir dores na gengiva?
4 – Como é o pós operatório (cuidados, alimentos, higienização etc)? Em quanto tempo voltará td ao normal?
Obrigado pela atenção ^^
Fernando,
1. Sim, pode-se fazer a aplicação da “pomadinha”, o anestésico tópico. Ajuda bastante a “disfarçar” a picada da agulha na gengiva. Em algumas regiões a anestesia pode ser mais desconfortável, mas isso não se deve nem à agulha… mas a introdução do líquido anestésico. Pra diminuir esse desconforto, a técnica é injetar o líquido anestésico bem devagar.
2. Os pontos em si, não. O que incomoda nesse tipo de cirurgia é que o local é muito exigido, ou seja, basta você falar, comer, beber… e aí pode doer e os pontos “puxarem”. Aí é que entram o repouso e os analgésicos que seu dentista vai prescrever. Os pontos costumam ser removidos depois de 1 semana.
3. Não, depois de cicatrizado, é vida normal.
4. Como disse na pergunta 2, como o lábio e a região do freio são bastante exigidos, o pós-operatório pode ser um pouco chato, sim. Mas cada pessoa enfrenta de forma diferente… algumas “tiram de letra” e outras “sofrem” mais. São características pessoais, mesmo. Geralmente em 2 semanas o paciente já conta com uma boa cicatrização e não tem mais problemas pra falar, se alimentar, etc.. Ou bem antes disso. 😉
OLÁ, BOM DIA. EU USO APARELHO HÁ 2 ANOS E MEIO PARA CORRIGIR DIASTEMA, PORÉM DEPOIS DE 2 ANOS N VI EFEITO, ENTÃO PAREI DE FAZER MANUTENÇÃO. EU GOSTARIA DE SABER SE A RESINA RESOLVE MEU PROBLEMA (MEU ESPAÇO É BEM PEQUENO, DEVE TER 1 mm) e se a resina é provisoria, se corre risco dela cair ou é algo a longo prazo? É verdade que serra os dentes para a mesma ser colocada?
Abraços.
Diana, sim, diastemas de até 6 mm podem ser fechados com resina (se o seu tem 1 mm, tranquilo). A resina não é provisória, mas sim, ela precisará ser trocada ou “reparada” depois de alguns anos. Risco de cair sempre há, pra qualquer restauração… mas é muito improvável. A necessidade de desgaste nos dentes que vão receber a resina depende da indicação do dentista, não é em todo caso que isso é feito.
Oi, boa noite, tenho 35 anos, ate hj eu nao entendo o pq eu nao conserto os meus dentes! Eles são separados e elevados, so os dois da frente,ja pensei em por aparelho, ja pensei em arrancar, colocar dentadura, muita coisa, HJ EU QUERO CONSERTAR ELES, MAS PRECISO DE UMA AJUDA. Ja fui ao dentista e comecei o tratamento pra colocar o aparelho, mas qd foi pra marcar o dia , nao fui, não entendoooo. Na verdade nao queria colocar aparelho e sim arrancar e colocar pino. ME AJUDA. Obrigada, Viviane.
Viviane, eu também não entendoooo! 😉 Você tem medo de dentista? Porque, se não tem, em princípio nada impede você de passar por um tratamento dentário. Qual tratamento? Depende da avaliação do seu dentista. Quase sempre há mais de uma solução para o mesmo problema… se os seus dentes estão bons, acho muito radical colocar pinos e coroas… talvez haja uma solução menos invasiva e que vá deixar você satisfeita, da mesma forma. Procure um dentista pra avaliar, e deixe claro pra ele que você quer conhecer todas as opções possíveis de tratamento para o seu caso. Aí, com uma opinião mais técnica, fica mais fácil de você decidir.
Doutora, primeiramente, parabéns!!!! Curti demais o tema até porque tem tudo a ver comigo, haha. E tenho algumas dúvidas. A primeira é: Tenho diastema e coloquei aparelho fixo para corrigi-lo (não somente, mas principalmente), porém depois de 1 ano e 9 meses não vi resultado (obs.: O dentista deu o prazo – pra retirada do fixo – de 2 anos e meio, bem próximo, “nenhum” resultado não?!). Acha que meu dentista está me enrolando?! Caso não esteja, ainda vai demorar mais quanto tempo pro resultado aparecer?! Obrigado 😉
Hugo, diastemas geralmente se fecham rapidamente com o aparelho ortodôntico… a questão é que geralmente essa não é a prioridade do plano de tratamento e, além disso, é preciso que os dentes estejam com um certo alinhamento / nivelamento pra fazer o fechamento do diastema. Sugiro que você converse com o seu dentista e seja bem claro: “o que é que falta pra fechar meu diastema”? 😉
Oi Ana… Bom, tenho 15 anos e tenho um diastema de 2 mm que me incomoda demais, eu queria resolver esse problema com resina, porém os dois dentistas que me avaliaram falaram que nao aconselham a resina, pois a resina pode quebrar, manchar com o tempo, e como eu sou bem nova eles falaram que o aparelho seria a melhor opçao. O que voce acha ?
Tenho medo de que mesmo com o aparelho o diastema nao feche, ou se fechar volte a abrir.
Qual seria a melhor opçao ?
As duas opções são válidas, Gabriely, e têm, suas implicações. Sim, a resina terá que ser trocada com o tempo, porém é de resultado imediato. Já o fechamento com aparelho é mais demorado, porém não há necessidade de intervir mais depois do diastema fechado. Portanto, depende do que você deseja. Se fosse em mim e eu tivesse outros problemas de alinhamento dentário ou de mordida pra resolver, eu usaria o aparelho.
Eu sou apaixonado pelos meus dentes separados, sempre tive desde pequeno, mas aparenta estar fechando, O QUE EU FAÇO??? Quero eles separados para sempre! ):
William, é a primeira vez que alguém me procura com vontade de manter o diastema… 🙂 Com a idade (não sei a sua, mas…), é normal que esse espaço se feche.
Tenho um pequeno diastema de – 2mm e quero colocar aparelho ortodôntico, quantos meses em média você acha que esse espaço se fecha com o uso do aparelho? (tenho todos os dentes alinhados)
Obrigada, Dra. Ana!
Angela, se os dentes já estão alinhados, é rápido. Uns 6 meses ou menos. Mas cada caso é um caso, não esqueça. 😉
Oi Dra,
Meu caso é o seguinte, fiz uma frenectomia no lábio superior faz 12 dias, tirei os pontos com 9 dias, e ainda sinto meu lábio “duro”, não consigo sorrir que nem antes… É normal demorar a voltar a sorrir normalmente, ou meu sorriso não vai mais voltar a ser o mesmo?
Obrigada.
É “normal” sim, Ellen, sua gengiva / mucosa ainda está em processo de cicatrização. Certamente seu sorriso vai voltar a ser o mesmo (ou até melhor) ;).
Oi Ellen, estou na mesma situação que você descreveu. Poderia me informar se o seu sorriso voltou ao normal?
O meu caso é o seguinte.
Tinha o diastema, fiz a cirurgia e fiquei com o aparelho 1 ano e meio. Parei de usar a contenção que era móvel, ele foi e abriu, e por sinal abriu um pouquinho o outro dente do lado também, procurei uma especialista e ela me deu 2 opções: colocar o aparelho novamente para juntar e colocar uma contenção por trás dos dentes fixa para “segurar”, para ele não abrir de novo… uu então essa resina…
Minha dúvida é a seguinte: teria algum problema eu ficar com essa contenção fixa “pelo resto da vida” rs ?
E no caso da resina, para passar o fio dental ele irá passar normal entre os dentes? Fica algum espaço para isso? Ela pode vir a mudar de cor?
Tenho muitas dúvidas 🙁
Porque além disso tudo noto que um dente meu é um pouco maior que outro… =/ quanta complicação! rs
Espero ser respondida e desde já agradeço!
Obs: Amei a matéria!
É isso aí mesmo Bruna… ou fecha com o aparelho (de novo) ou o jeito é fechar com resina. Você vai poder passar o fio dental normalmente caso opte pela resina, fica “como se fosse dente” mesmo. Sim, a resina pode escurecer com o tempo, aí será necessário trocá-la (pelo menos superficialmente). E não, não há problema em se usar a contenção fixa “pra sempre”, embora essa contenção dificulte a higienização. Você terá que ter cuidado redobrado com a escovação.
Dra. Ana Tokus, eu tenho 35 anos, meus dentes não são alinhados… e o superior da frente não existe mais… se usar aparelho e consertar esse dente que falta os meus dentes ficarão corrigidos mesmo?
Sem dúvida, Flávio. Procure um dentista / ortodontista pra avaliar.
Tenho diastema de aproximadamente 1 cm.
Estou pensando em começar o tratamento para resolver esse “problema”… porém acho q será preciso fazer a frenectomia, pois entre os dentes centrais têm uma pele até grossinha e um pouco grande tbm… na sua opinião, acha provável eu precisar passar por essa cirurgia? Pode usar a contenção mais tempo do q o dentista indicar? Ao menos p dormir a noite? Só p/ garantir q ñ vai abrir o espaço entre os dentes novamente?
Dary, seu diastema é de 1 cm mesmo? Não seria 1 mm? De qualquer forma, se o diastema é causado pelo freio labial (a “pelezinha” que você relata), a cirurgia (frenectomia) estaria indicada. Mas cada caso é um caso, seria bom um periodontista avaliar. E sim, você pode e até é uma boa ideia usar a contenção pelo tempo que puder, isso estabiliza o resultado obtido com o tratamento ortodôntico e diminui a possibilidade do espaço abrir novamente.
Dra., obrigado pela ajuda.
Vou pensar sobre o assunto e me decidir sobre o tratamento. Entretanto, uma outra dúvida que surgiu é quanto ao aparelho em si, se o convencional ou autoligado. A Ortodontista que fui disse que eu poderia escolher entre ambos, pois o preço é o mesmo. Cabe a mim mesmo esta escolha? Entendi que são métodos de tratamento um pouco diferentes. O que seria mais recomendável para o caso de um diastema?
Obrigado mais uma vez.
Sim, a escolha cabe a você. O aparelho autoligado tem a vantagem de oferecer menos atrito entre os bráquetes e o arco, o que, em tese, ofereceria um tratamento um pouco mais rápido (embora não exista comprovação científica disso). Outra vantagem é que, sem as borrachinhas, fica mais fácil de higienizar.
Prazada Dra.
Dando continuidade ao assunto do dia 19/04, fui à uma ortodontista em minha cidade, realizei alguns exames radiologicos pedidos por ela. De posse desses exames, questionei se era possivel de alguma forma inferir se os incisivos continuariam sua movimentação. Ela me respondeu que provavelmente sim, pois nas radiografias era possível ver que a membrana periodontal está um pouco alargada (não sei se foi exatamente a palavra “alargada” que ela usou), sinal de movimentação dos dentes. De fato, observando as radiografias há uma certa sombra um em volta das raízes dos incisivos. Tal sombra é bem menos “larga” nos demais dentes.
A questão é que continuo na dúvida sobre realizar ou não o tratamento. O diastema como está, não me incomoda, mas também não quero que aumente.
Agradeço desde já por seu tempo e cordialidade.
P.S: A Dra. explicou que essa membrana pode se tornar mais larga por vários outros motivos que não um tratamento ortodôntico prévio, como doenças, etc, mas me disse que não é meu caso.
É como eu disse José, se você estiver disposto, por que não tentar? Já se o diastema não incomoda, fique de olho: se o espaço aumentar, aí você opta pelo fechamento com o aparelho.
Olá Dra., preciso da sua ajuda,
Tenho diastema nos dentes superiores, mas não é só isso, se fosse já teria tratado com aparelho, mas tenho um problema que me impede, meus dentes inferiores são para frente, e os superiores para tras, ou seja, tenho uma mordida errada, morro de vergonha disso, nao saio em festa, nao sorrio em fotos, nem dou risada direito com meus amgs, sou timida por causa do meu sorriso. Queria uma maneira de tratar minha diastema, mas como faço isso? Pelo menos um palpite,
Obgd
🙂
Pelo que entendi, você tem mordida cruzada anterior (os dentes de cima fecham “por dentro” dos de baixo). Se o problema for exclusivamente dentário, é possível corrigir com aparelho, sim! E se não for apenas dentário mas também ósseo, porém não muito acentuado, é possível que o uso de aparelho melhore bastante a estética (sem necessidade de cirurgia). O diastema é um problema de solução relativamente simples, tanto com o uso de aparelho quanto com restaurações estéticas (se ele for menor do que 6 mm). Enfim, você precisa procurar um dentista pra avaliar… talvez a solução seja até mais simples do que você imagina. 🙂
Eu estou usando a contenção há 1 mês e alguns dias, irá ter um congresso, onde eu irei apresentar um projeto, a contenção dificulta um pouco na hora de eu falar, eu posso remove-la por um dia (ficar o dia sem ela, e quando for dormir colocar)? Tem algum perigo dos meus dentes se abrirem se eu ficar sem usa-la?
Karen, 1 dia dá sim! O problema é quando a pessoa “esquece” por 2, 3, 4 dias… aí, às vezes, o aparelho nem entra mais.
Olá,
Já usei aparelho quando jovem, entretanto, com o passar dos anos, surgiu um pequeno diastema nos incisivos centrais superiores. Menos de 1 mm. Notei pois foi ficando fácil passar fio dental com o passar do tempo. Minha dúvida é: será que vale a pena colocar aparelho de novo para fechar esse diastema? Será que ele continuará evoluindo ou ficará como esta?
Obrigado
Jose, tudo depende da sua disposição em fazer isso. Não dá pra saber se vai aumentar o diastema e também não dá pra saber se, depois de fechá-lo, ela vai abrir de volta (pode acontecer). Se for algo realmente importante pra você, vale a tentativa.
Obrigada… acho que vou esperar mais um ano então…
Meu filho tem diastema e nosso dentista disse que é preciso fazer a frenectomia. Minha dúvida é a seguinte: outro dentista disse que essa cirurgia é melhor que seja feita só a partir dos 8 anos, qdo os incisivos laterais já foram trocados. No caso, meu filho vai completar 7 anos em julho deste e ainda não trocou os incisivos laterais. A outra dúvida é: há a possibilidade de os incisivos laterais permanentes “juntarem” os incisivos centrais? É melhor esperar essa troca de dentes para depois pensar em cirurgia?
Daniella, na idade do seu filho é comum um pequeno diastema. Se você não sente segurança com relação à necessidade dessa cirurgia no momento, não vejo problema em deixá-la pra daqui a 1 ano. E sim, pode ser que esse diastema se feche de forma espontânea.
Quero saber qto tempo vai levar para fechar os meus dentes apos a frenectomia que fiz, to com aparelho ha mais de um ano e meio e meus dentes nunca fecharam.
Cintia, em princípio é rápido… coisa de 3 a 5 meses. Mas depende do planejamento do seu dentista para o seu caso.
Estou com aparelho ha dois anos, fiz a frenectomia apenas agora, meus dentes continuam abertos, qto tempo vai demorar para fechar? Esses anos que estava com aparelho sem fazer cirurgia, realmente meus dentes nao fechariam sem fazer essa cirurgia ou o dentista esta me enrolando?
Elisabeth, depende do caso. Se o espaço que você tem entre os dentes é realmente causado pelo freio labial (baixo e/ou muito grande), em alguns casos pode-se até fechar o espaço, mas a possibilidade dele abrir novamente é grande (se não for feita a cirurgia). Não vejo razão, pelo seu relato, pra achar que o seu dentista esteja “enrolando” você.
Ola Dra., fiz a correção de um pequeno diastema de 2mm, porem a resina vive rachando e da ultima vez quebrou! Me arrepedni muito… tem como voltar atras e tirar essa resina? Tenho medo de danificar meus dentes. Obrigada.
Luane, se não foi feito nenhum desgaste nos seus dentes, basta remover as restaurações.
E se for isso vai impedir q os dentes se juntem?
Aí será necessária uma pequena cirurgia pra remover esse excesso, que provavelmente removerá parte do freio labial (frenectomia), também. Se for necessário, seu dentista orientará você a respeito.
Boa tarde doutora, ja tenho o aparelho ha 2/3 meses, e agora coloquei um elastico nos dois dentes da frente para os juntar, o problema é q ja há tempos tenho uma especie de bolha na parte de tras dos dentes da frente, e agora qnd lavo, por exemplo, os dentes começa a sangrar. Se bochechar é como se seguisse o movimento q faço. Isto é alguma coisa grave?
Paulo, pode ser que o fechamento do diastema tenha criado uma “sobra” de gengiva… ali se junta placa bacteriana e, ao escovar, sangra. Chame a atenção do seu ortodontista para o fato, pra que ele avalie o melhor a ser feito no seu caso. Mas, sendo isso, não é grave.
Doutora eu usei aparelho ortodontico durante 1 ano e 8 meses, hoje fui a minha dentista e ela tirou, paguei pra ela tirar, lógico né, pois não tava obtendo retorno algum, ela só demorou em torno de 8 minutos pra tirar o aparelho. O problema é que ao chegar em casa,olhei no espelho e ainda tem camadas de resina
nos dentes, além de estarem porosos, eu estava desesperada para tirar o aparelho, paguei a dentista e agora to muito triste com os dentes cheio de camadas de resina. Essa resina que ficou sai com o tempo e escovação?? A presença dessa resina danificará meus dentes? Vou até a dentista, mas com certeza ela vai cobrar
mais dinheiro pra tirar o resto que ela deveria ter tirado, muito injusto isso. Responde minhas perguntas por favor, agradeço.
Fabiana, entre em contato novamente com ela pra remover esses resíduos de resina. Ela não vai cobrar mais não, é obrigação dela remover tudo… não podem ficar resíduos. A presença desses restos de resina não prejudica seus dentes, mas não tem motivo pra isso ficar assim. Não fique triste, isso é fácil de resolver. 🙂
Tenho outra dúvida… quando eu fui no dentista pra tirar os pontos, ela disse que não fechou totalmente, e tive que levar mais 6 pontos! É normal isso? E se não fechar novamente e eu tiver que levar mais pontos de novo? Eu posso escolher não levar? Ele cicatriza sozinho sem os pontos? Ou é necessário mesmo eu levar pontos de novo?
Filipe, não é algo muito comum, mas se a sua dentista julgou necessário, eu acho que você pode confiar no julgamento dela. Sim, até pode acontecer de não fechar novamente… mas eu acho improvável. Você não é obrigado a fazer novos pontos, a dentista não pode amarrar você na cadeira, né?! Mas eu acho que seria prudente seguir a opinião profissional.
Ok… é que aconteceu a mesma coisa que antes… no começo eu não podia mexer direito a boca, que eu sentia, e se eu desse um sorriso, eu sentia que repuxava um pouco! E depois de uns 3 dias ficou mais “frouxo” e eu dava sorriso e não sentia tanto! E isso aconteceu de novo agora, depois que levei mais pontos! Será que vou ter que levar MAIS pontos de novo? Ou posso deixar assim que ele cicatriza normalmente? E eu não estou com muita vontade de levar pontos de novo kkk
Como eu disse Filipe, creio que não haverá necessidade de novos pontos. Apenas procure não ficar “testando” os pontos ou fazendo movimentos amplos pra ver se “estica”… isso pode afrouxar mais os pontos.
Dra., fiz a remoção do freio labial dia 30/01 e ainda sinto muitas dores, além da sensação que meu rosto esta inchado.
É normal isso? Pode dar algum problema caso a remoção ñ tenha sido feita corretamente ?
Náyra, a sua cirurgia é bem recente… e os sintomas que você relata são comuns. A área do freio labial é bastante delicada e uma região que a gente usa muito, então pode demorar um pouco (mais 1 semana, quem sabe) pra ficar 100% sem dor e inchaço. Mas, pelo seu relato, vai indo tudo bem.
Doutora… fiz a cirurgia no freio labial nessa segunda-feira, levei ponto na gengiva, mas no céu da boca a minha dentista colocou cimento cirúrgico, e no outro dia ele caiu! pode deixar assim? Ou tem perigo do lugar inflamar?
Filipe, se você estiver bem e não houver sinal de infecção, pode deixar assim. Mas é bom entrar em contato com a sua dentista e avisar, até pra que ela possa orientar você, se preciso.
Pode fechar um diastema antes de alinhar e nivelar os dentes? Ou pode fazer tudo ao mesmo tempo? E quanto tempo leva?
Carol, os dentes precisam estar alinhados pra fechar o diastema, sim. O fechamento do diastema, em si, costuma ser muito rápido, coisa de 3 a 5 meses (é só uma estimativa, pode variar).
E para alinhar, leva quanto tempo? 🙁 Demora muito?
Aí depende de quão desalinhados os dentes são, Carol.
Olá doutora Ana, tenho um diastema de tamanho pequeno nos dois dentes superiores da frente, e seria facilmente resolvido com a resina. O problema é que eu tenho medo, pois ja ouvir falar que para colocar é necessário raspar o dente! Fico apreensiva, pois apesar do diastema, meus dentes são bem saudáveis… O que é melhor, colocar o aparelho ou utilizar resina? E no caso da resina, a manutenção é feita de quanto em quanto tempo? Obrigada 🙂
Giselle, nem sempre é preciso desgastar, depende do caso. Mas certamente seria necessário trocar a resina a cada 5 anos, mais ou menos. Já com o aparelho, o tratamento é menos invasivo e resolutivo, mas mais demorado. Vai muito do que você deseja.
Olá, Dra., tenho um diastema de cerca de 3mm e sempre me incomodou. Decidi ir numa consulta (que será nos próximos dias) para saber qual a abordagem mais correta. No entanto, estou com algum receio de que o problema possa nunca a vir ser corrigido, pois só vejo comentários de pessoas em que o diastema voltou passado algum tempo e nenhum que diga que o problema ficou completamente resolvido. Conhece algum caso em que o diastema nunca mais tenha voltado depois do uso de aparelho?
Seja como for, provavelmente não farei o tratamento agora por falta de dinheiro. De qualquer maneira, ver estes comentários tira-me toda a esperança de um dia ter os dentes direitos.
Miguel, não desanime! Sim, eu já vi vários casos em que o diastema nunca mais voltou. Tudo depende, também, do que causa o diastema e de remover essa causa (interposição da língua, um problema periodontal – nos tecidos de suporte dos dentes, osso e gengiva – um freio labial muito baixo ou grande). Um diastema de 3mm pode ser fechado, também, com uma restauração em resina ou uma faceta… aí não seria necessário usar aparelho.
Olá Dra. Ana, fiz a cirurgia da frenectomia na ultima quarta-feira (19), confesso que fiquei com medo, pois nunca fiz uma cirurgia antes. Meu dentista me disse que com a anestesia não sentiria nada, e foi o que aconteceu! Ele fez, não durou mais de 30 min. Ele não deu ponto, colocou um cimento cirúrgico. Falou-me que poderia tirar no outro dia… e foi o que fiz! Confesso que no 3º dia comecei a sentir os dentes da frente dolorido, gostaria de saber se isso é normal?
Estou seguindo as recomendações, e já está branco (isso também é normal?)
Desde já agradeço! Obrigada.
Boas Festas!!!
Nathali, pela sua descrição está tudo ok! A sensibilidade e a coloração “estranha” também são esperadas. Fico aqui torcendo por sua breve recuperação… boas festas pra você também!
Boa tarde, ha 2 semanas fui por o meu aparelho de baixo, mas la ao fundo do lado direito o bracket virou-se ao contrario, ela chegou e cortou o aço e fiquei sem aparelho nesse dente. Hj aconteceu de novo na mesma zona e ela diz pra cortar de novo, é normal?
Luciana, cortar o arco visa, apenas, evitar que a ponta que fica acabe machucando você. O ideal é recolar o bráquete, mas quando se trata de uma urgência pode-se apenas cortar o fio e deixar pra colar o bráquete numa próxima consulta.
Obrigado por responder tao rapido, so tenho mais uma pergunta, um dos brackets soltou-me (o do dente da frente), vou aperta-lo so quarta, agora é como se o aparelho n funcionasse?
Para esse dente sim, Paulo. Mas não se preocupe, se sua consulta é logo e o bráquete solto não está machucando você, não há problema algum.
Ola Ana, antes de mais nada parabens por este site. Em junho comecei a consultar a dentista para o aparelho, necessitava de efectuar a frenectomia, levei 7 pontos, cicatrizou bem, agora pus o aparelho na parte de cima dos dentes. Tenho um afastamento a cerca de 3mm, a minha pergunta é quanto tempo demora a fechar ? A minha outra pergunta é há um quadrado do aparelho q n ta ligado com os outros, isso é normal? Esse quadrado q n ta ligado no outro dente n tenho la aparelho.
Paulo, depende. Geralmente o espaço se fecha rapidamente (em uns 3 meses). A questão é que nem sempre a primeira coisa que o dentista faz é fechar esse espaço, pois é preciso que os dentes estejam mais alinhados e com um fio mais grosso pra fazer essa movimentação. Às vezes o dentista cola o bráquete e não o liga ao aparelho mesmo, pois talvez não seja a intenção movimentar o dente num primeiro momento.
Tenho 40 anos. Usei aparelho fixo por 2 anos de 1985 a 1987 para correção da arcada que era para frente e correção de diastema (dente superior da frente maior que 4 mm). Após a retirada do aparelho fixo não foi colocado nenhuma “trava fixa” nos dentes inferiores e usei por muito pouco tempo aparelho móvel, apesar da recomendação de uso diário. Fiz cirurgia de freio lingual e frequentei fonoaudiólogo, pois ao falar minha língua empurrava os dentes da frente (antes da colocação do aparelho fixo). Conclusão: Meus dentes voltaram a abrir igual era antes mas a arcada NÃO voltou para frente. Gostaria de saber quanto tempo o uso de aparelho fixo para somente juntar os dentes novamente. Tenho receio de, como o pagamento é por manutenção, usar o aparelho por 2 anos novamente por má fé do profissional.
Anderson, apenas aproximar os dentes com o aparelho ortodôntico por causa de um diastema costuma ser algo muito rápido… coisa de alguns meses (isso considerando que os dentes já estão alinhados e, portanto, é possível aproximar os dentes desde o início). Outra opção é fechar o diastema através de uma restauração estética.
Dra.
Fiz a frenectomia com retirada total do freio, foram cerca de 15 pontos. Notei que o ponto atrás dos dentes está meio solto, acho q abriu, porém tentei olhar e o corte está fechado, aliás, nem apresenta o corte. Já nos pontos da frente (abri só um pouquinho pq o dentista pediu para não ficar puxando para ver) notei uma massa esbranquiçada.
Posso deixar esse ponto atrás assim? E essa “massa” é proteção natural da gengiva para restauração do corte?
Irei tirar os pontos na próxima terça, quanto tempo mais para estar totalmente cicatrizado para uma pessoa de cicatrização normal?
Obrigada!
Jamile, se algum ponto se soltar, em princípio, não há problema. Às vezes acontece mesmo. A “massa” a que você se refere, se não for um cimento cirúrgico, é apenas placa bacteriana e/ou um aspecto meio “estranho” que o tecido em cicatrização assume. Mas é assim mesmo. Pelo seu relato, acho que não há com o que se preocupar. Se houver alguma mudança importante nos sintomas, entre em contato com o seu dentista. A cicatrização completa deve levar pelo menos 1 mês.
Dra. ja estou ha mais de dois anos com o aparelho, ja fiz a cirurgia do freio tem tres meses, sera que a doutora esta me enrolando, no inicio ela falou 2 anos, so faltei 2 meses de manutencao, ela ja falou que so o ano que vem e ainda vou usar um movel, e isso mesmo?
Mairdes, sua dentista deve estar se baseando em como o seu organismo vem respondendo ao tratamento. Quando se sugere um tempo de tratamento lá no início, é apenas uma noção, não dá pra garantir será esse tempo mesmo, mais certamente será próximo a esse tempo. O aparelho removível você terá que usar mesmo, mas esse todo mundo usa e serve como contenção (para manter o resultado obtido com o aparelho fixo).
Olá Ana.
Gostaria de saber como é o pós-operatorio da retirada do freio labial?
Minha está marcada pra amanhã e estou insegura.
Obrigada.
Janaina, a frenectomia é uma cirurgia relativamente simples, que costuma levar um pós-operatório não muito complicado. A parte mais chata é que pode inchar o lábio superior e haverá dificuldade pra sorrir e pra falar. Mas em questão de uma semana, com a retirada dos pontos, tudo deve se normalizar.
Ola! Queria saber se apos a cirurgia os dentes fecham sozinhos? E quanto tempo eles demoram para fecharem sozinhos? Obg
Henrique, nem sempre, depende do caso. Geralmente é preciso fechar o espaço com resina ou usar aparelho para aproximar os dentes. Mesmo que haja algum fechamento espontâneo, geralmente não é total.
Gostaria de saber se posso fechar minha diastema superior com resina, sem precisar fazer a cirurgia do freio labial? Obrigado.
Olympio, em princípio pode. A frenectomia seria necessária caso o freio labial fosse o causador direto do diastema, e seria mais indicada no caso de fechamento com aparelho ortodôntico, para evitar recidiva (que o espaço abra de novo).
Olá Ana, tenho um implante em um dos dentes incisivos centrais, e tem um diastema nesses dentes que me incomoda muito, usei aparelho antes de fazer o implante, quando tirei o aparelho e fiz o implante ficou bom, mas depois apareceu esse diastema, e já fui em uma dentista e ela disse que não teria como corrigir porque o dente de porcelana não se coloca resina e se fosse fazer no outro dente o dente ficaria muito grande e a estética não ficaria legal, como faço pra corrigir esse diastema que me incomoda muito? O que você me sugere? Obrigada pela atenção.
Lorena, se o diastema apareceu depois do implante colocado e o tratamento ortodôntico finalizado, é resultado da movimentação do seu outro incisivo central, já que implantes não se movimentam. A solução, agora, seria fazer um novo tratamento ortodôntico OU fazer uma nova coroa no seu dente que tem o implante + uma restauração no outro incisivo para aumentar a largura de ambos. Esteticamente, resolveria o problema.
Dra., o ortodontista de minha filha aconselhou fazer a cirurgia do freio superior labial. Minha filha tem 7 anos. Esse procedimento é feito com anestesia local? Uma criança de 7 anos precisa ser sedada pra fazer essa cirurgia ou só a anestesia basta? Dura muito tempo? Não moro no Brasil e tanto o ortodontista quanto a endodontista disseram que seria melhor fazer uma sedação. E necessário mesmo? Normalmente minha filha se comporta muito bem quando vai a odontopediatra. Estou muito ansiosa e insegura. Qual a sua opinião? Grata, Tatiana.
Tatiana, sim, a frenectomia é um procedimento feito com anestesia local, no consultório mesmo. Não há obrigatoriedade de sedação, mas provavelmente foi sugerido isso pela idade da sua filha, e eu acho que pode ser benéfico também. Essa sedação pode ser feita com óxido nitroso (gás), por exemplo, o que é muito seguro, rapidamente reversível e amplamente usado na odontopediatria. A cirurgia é rápida, talvez meia hora, dependendo do caso.
Dra. Ana, primeiramente parabéns pelo excelente trabalho!
Fiz a frenectomia na quinta-feira, só que o dentista só me recomendou comer alimentos líquidos e pastosos, mas não especificou durante quantos dias. Como não sentia dor, nem incômodo, comecei a comer alimentos sólidos, mastigando com cautela, porém fiquei um pouco preocupada, pois não sei se fato posso fazer isto. Posso continuar mastigando normalmente? Quanto à alimentação, posso comer todo tipo de comida? O que devo evitar? Tenho dúvida com relação à limpeza também, já que ele não recomendou nada. Desde já agradeço a atenção! Grande abraço.
Laís, vai muito do bom senso: se você consegue mastigar alimentos mais sólidos, pode introduzi-los na dieta. Então, não se preocupe quanto a isso. Quanto à higiene, procure apenas manter o local sem resíduos alimentares, mas conseguir limpar 100% provavelmente você não vai, por causa da dor e do incômodo de mexer no local. Depois de 1 semana e da remoção dos pontos (estando tudo ok), é vida normal.
Dra., usei aparelho móvel por um longo período, o diastema chegou a fechar, e quando o retirei, o diastema voltou. Comecei a usar aparelho fixo há 5 meses, o diastema fechou novamente, mas a dentista me alertou que poderia voltar a abrir quando o aparelho fosse retirado. Por isso fiz a frenectomia labial há pouco mais de 1 mês.
Com a cirurgia, ficou um “buraco” na parte de cima da junção dos meus dentes da frente, uma espécie de triângulo. Notei que falar ficou um pouco mais “incômodo” (pois o ar com saliva sai por esse buraquinho). A dentista já me disse que fará uma restauração quando tirar o aparelho.
Além disso, já tive duas fortes dores de garganta, e acredito que isso está ocorrendo porque desde a cirurgia passei a dormir de boca aberta.
Minha dúvida é se isso é “normal” e pode acontecer no começo, ou se não há qualquer relação entre dormir de boca aberta e a frenectomia. Ou seja, se preciso começar a me preocupar com isso.
Muito obrigado.
Castro, a dor de garganta pode ter a ver com o fato de você estar dormindo de boca aberta, sim. A entrada de bactérias fica facilitada e, consequentemente, aumenta a possibilidade de irritações e infecções.
Olá Ana! Eu uso aparelho ha quase 3 anos, eu coloquei eu tinha 15 anos hoje eu tenho 18, só que eu fiz a cirurgia faz 4 meses e os dentes começaram a juntar agora, eu acho que o processo de fechamento está muito lento, o espaço entre os dentes é de aproximadamente 1 centimetro, pois tenho um pouco de vergonha de sorrir por causa desse espaço entre os dentes da frente, e estou estranhando porque a pele que foi retirada na cirurgia do freio está voltando a crescer isso é normal ??
Allon, o freio não costuma crescer novamente, o que você vê deve ser devido à cicatrização do local. De qualquer forma, seu dentista pode orientá-lo melhor a respeito (já que eu não examinei você). O fechamento do espaço é um processo lento mesmo, coisa de alguns meses, principalmente no caso de um diastema grande como o seu.
Dr., gostaria de tirar uma dúvida, acredito que meus dentes de siso começaram a nascer, quais são as chances deles corrigirem o diastema? Obrigado pelo seu tempo, artigo muito bem articulado e informativo.
Thyago, depende da sua idade e do tamanho do diastema. Mas pra considerarmos que isso possa acontecer, temos que partir do princípio de que os sisos, quando nascem, “empurram” os outros dentes para frente. Isso não é consenso entre os dentistas e também não é a minha opinião.
Boa tarde Dra.,
Primeiramente parabéns pelo artigo aqui publicado e pela atenção que vem dando aos comentários do mesmo. Estou super interessada, sofro com esse “problema” estético e não quero colocar aparelho. A pergunta é: quanto custa em média o tratamento de conserto do dente frontal principalmente ?
Aproveitando… onde vc atende? Adoraria ser consultada por alguém que entende o problema e não diz que temos que “colocar aparelho” e ponto final.
Daiana, realmente não existe uma média de valor… isso varia muito, depende do local, do profissional, do material, de tanta coisa…
Eu atendo em Curitiba. 🙂
Olá Ana!
Priemiramente parabéns pelo excelente trabalho! Fiz a minha cirurgia hoje… confesso que estou sem palavras kkkkkk e meio preocupado. Será que essa recuperação vai demorar? Depois da cirurgia, coloquei um pouco de gelo e acabei cochilando… quando acordei vi que meu lábio superior ainda está inchado (normal) mais o dentista colocou tipo um cimento e vi que está todo com sangue e não to conseguindo abrir a boca direito… só tomei água até o momento! Me de uma luz…risos
Bjos e parabéns pelo site!!
Obrigada, Otavio. 🙂
A recuperação da frenectomia é meio chata mesmo, porque essa é uma região muito exigida (pra falar, pra comer, etc.), então a gente sempre está “mexendo” com ela. Esse cimento que o dentista colocou visa acelerar a cicatrização e proteger o corte. Mas daqui a 1 semana você já deve estar bem mais tranquilo.
Boa tarde Dra.
Eu tenho 17 anos e tenho diastemas entre os caninos e os primeiros pre-molares, o que me incomoda muito! Já fui no dentista ver se poderia usar aparelho ortodontico, porém ele me informou, que eu tenho um problema: minha arcada de cima “montou” na de baixo. Graças ao crescimento do meu rosto. Disse que se eu usar aparelho, terei que fazer uma cirurgia e implantar parafusos e etc. Eu logo de cara, e com a própria opinião do dr, nao aceitei. Perguntei o que ele achava das facetas de porcelana, já que meu caso, era mais por estética mesmo, logo, ele me disse que nao achava provável algum dentista querer fazer isso em mim. A Dra, sabe alguma solução, ou dica?
Obs: de uns 2 meses pra cá, esses diastemas vem se agravando.
Obrigado, desde já.
Pedro, se esses diastemas não forem muito grandes podem ser fechados até com restaurações em resina. Mesmo o seu caso ortodôntico sendo cirúrgico, EM TESE é possível usar aparelho para fazer pequenas correções (como fechar diastemas), vale a avaliação do dentista. Procure um dentista especialista em dentística / estéctica para avaliar a possibilidade de resolver os diastemas com restaurações.
Bom dia Dra.,
Tenho um diastema entre os dois dentes superiores frontais. Isso sempre me incomodou e agora decidi fazer algo para solucionar.
No momento, penso em optar pela restauração com resina composta por ser um procedimento mais rápido, pois neste mês irei embarcar em uma viagem e irei morar um ano no exterior. Entretanto, quando eu voltar penso em colocar um aparelho fixo, pois gosto do meu dente e acho que o único problema é o diastema e não quero correr o risco de ficar fazendo a manutenção da resina ao longo dos anos, por conta do escurecimento da mesma.
A questão é que estou meio receoso em colocar a resina, pois não sei se quando voltar é possível removê-la por completo. Isso é possível Ana Tokus? Digo, se eu optar pela restauração agora, quando eu desejar tirar essa restauração e quiser optar pelo aparelho fixo posso tirar a resina do meu dente por completo sem que tenha desgaste no mesmo?
Muito obrigado desde já e Parabéns pelo post Dra. ! Excelente!
Obrigada, Alexandre. 🙂
Sim, é possível remover a resina depois e usar aparelho pra fechar o espaço DESDE QUE não seja feito nenhum tipo de desgaste nos dentes para ajudar a reter as restaurações, o que, via de regra, não é realmente necessário.
Oi Ana, fiz a minha cirurgia do freio labial nessa terça-feira, voltei pra casa com a boca inchadissíma, mas com o antiflamatorio a dor diminiu e o inchaço baixou. Eu gostaria de saber se os lábios voltam ao normal?
Voltam sim, Maianny! É apenas uma questão de tempo e do seu organismo se recuperar.
Dra., eh melhor ter dentes separados ou juntos? Sei que nao estou me expressando da melhor maneira, mas tenho essa duvida. Estou consciente de que deveria perguntar a minha dentista, mas como eu sempre fico muito tensa no consultorio, me esqueco de perguntar varias coisas.
Erika, o melhor é sempre ter os dentes juntos. O ponto de contato entre os dentes protege o periodonto (ou seja, a gengiva e o osso que está sob ela) do impacto do bolo alimentar quando comemos. Tá certo que, se houvesse espaço entre os dentes, seria mais fácil de limpar (dispensaríamos o fio dental)… mas as pessoas teriam muito mais problemas periodontais também.
E sempre que quiser perguntar, fique à vontade. Estou à disposição. 🙂
Boa noite Dra.
Quanto tempo em média, duraria a resina para fechar diastemas, já que li que tem que fazer uma restauracao dela porque vai ficando amarela.
Obrigada,
Kali, a duração depende muito dos hábitos alimentares e de higiene do paciente, se ele é fumante, etc.. Considerando que a pessoa não tenha nenhum hábito mais “extravagante” ;), uma restauração em resina (ou o fechamento do diastema) pode durar até 5 anos… quem sabe mais.
Olá Dra. Adorei a explicação parabéns pela iniciativa de escrever este post e mante-lo atualizado por tanto tempo.
Tenho algumas dúvidas se pudesse me esclarecer ficaria muito grata. Desculpe-me mas não sei os termos técnicos vou tentar explicar a minha maneira.
Eu tenho diastema, quando menina eu tive todos os dentes de leite e 2 deles cairam e não nasceram. Tenho todos os dentes inferiores e meu problema encontra-se nos superiores. Tenho os dois dentes da frente separados e ao lado deles nao tenho os laterais e sim os caninos. Na frente fica bastante espaço porem os de trás de todos os lados seguem a sequencia certa e a mordida, me sugeriram que a melhor opção seria colocar implante para ambos assim não afetaria a perfeiçao da mordida e alinhamento que meus dentes encontram-se. Tenho a opção de tambem juntar todos e depois lixa-los e modela-los para ficarem de acordo, não sei o que eu faço poderia me explicar um pouco?
Na Segunda fiz a frenectomia, estou tomando antibiotico e antiflamatório, porem sinto que deu uma inflamadinha devido a um pqna qtidade de liquido q pode ser pus escorrendo eventualmente, e estou com um pouquinho de febre e aonde eu sinto o liquido tb esta dando uma latejada. Existe alguma recomendação pós-operatória ou é normal?
Acrescento que já estou usando o aparelho ortodontico fixo e somente em cima sem ter a necessidade de colocar as famosas bandas.
Se pudesse responder ficaria muitíssima grata!
Obrigada!
Cris, nesse post aqui –> https://medodedentista.com.br/2012/04/falta-um-dente-posso-usar-aparelho.html tem as 2 formas de tratar pacientes com agenesia de incisivos laterais (o seu caso): abrindo espaço para colocar implantes ou fechando os espaços. Dá pra você entender direitinho as opções, vale à pena discutir isso com o seu ortodontista… no seu caso, talvez a forma menos invasiva e mais fácil seja fechar os espaços e “transformar” os seus caninos em incisivos laterais (considerando a harmonia da sua mordida, como você relata).
Quanto à sua frenectomia: você está medicada de acordo, portanto a infecção deve ceder. Não há muito mais o que fazer… continue seguindo as orientações do seu dentista e, notando qualquer alteração importante, não hesite em entrar em contato com ele.
Olá, adorei a explicação. Gostaria de saber o preço médio, que um dentista gabaritado cobra para fechar diastema com resina. Grato.
Obrigada, Paulo. Não há um preço “médio”, pois o valor depende de muitas variáveis: do tamanho do diastema, do tipo de resina, da cidade em que você mora (meio urbano, meio rural), da formação do dentista (um especialista em dentística certamente cobrará mais), etc..
Não tem jeito, meu neto, de 6 anos, vai ter que ser submetido a uma frenectomia e devido a idade sob anestesia geral. O custo particular é caro? Qual a média?
Lucilia, não saberia responder sobre valores. Mas, os custos envolvidos são o de qualquer outra cirurgia em ambiente hospitalar, além dos honorários do dentista e do médico anestesiologista. Sugiro que você procure um dentista que atenda em ambiente hospitalar para se informar sobre isso.
Bom dia, fiz a cirurgia na sexta feira, meu dentista informou que os pontos vão cair sozinhos,só se algum ficasse me incomodando que era ele retirar,isso está correto porque pelo que vi nos outros posts o dentista é quem retira os pontos.
Obrigada
Pamilla, geralmente é o dentista que retira os pontos mesmo, até para poder checar como está a cicatrização da cirurgia. Só se o seu dentista usou algum tipo de ponto reabsorvível, que não precise ser retirado, é uma possibilidade. Mas esperar que os pontos caiam não é um procedimento padrão.
Obrigada doutora, a senhora pode me informar mais ou menos com quantos dias pra retirada dos pontos?
Normalmente 1 semana. Mas vale a orientação do seu dentista.
Bom dia Dra.
Fiz uma frenectomia labial superior na segunda. Estou seguindo todos os procedimentos que minha dentista passou, mas na terça acordei com os lábios inchados e ainda está até hoje (quinta). Quando tempo dura normalmente para sair esse inchaço? Estou preocupado, porque sábado tenho um anivérsário no qual vou dançar com a aniversariante… já queria estar melhor…
Obrigado pela atenção
André, no sábado você já deve estar melhor… o inchaço deve diminuir bastante, mas pode durar até uma semana após a cirurgia. Continue tomando os remédios e seguindo as orientações da sua dentista direitinho… fico aqui torcendo. 🙂
Ola Dra. uso aparelho a 5 meses, meu medico mandou fazer a frenectomia labial eu fiz na sexta feira.
Ja faz 4 dias e meus labios continua onde era freio labial um pouco inchado, gostaria de saber se isso e normal e ou é por causa dos pontos e se posso trabalha normal. Se nao for o q eu devo fazer os cuidados q devo tomar ou procuro meu dentista?
Estou com um pouco de receio de ter dado alguma coisa errada..
Desde ja agradeço.
Claudemir, esse inchaço depois de apenas 4 dias é totalmente esperado. Não vejo nada no seu relato que me faça achar que há alguma coisa errada. Continue seguindo as orientações do seu dentista com relação aos cuidados pós-operatórios e à medicação que ele prescreveu. Se não foi recomendado que você não fosse trabalhar, não há nada que o impeça. Apenas evite esforço físico.
Dra., usei aparelho móvel durante muito tempo (cerca de 8, 9 anos, com algumas interrupções), meu diastema diminuiu bastante, cheguei a fechar o pequeno espaço com resina, mas depois de um tempo parei de usar aparelho e logo voltou o diastema.
Passei a usar móvel de novo, sempre diminuiu conforme eu uso (2 noites sem usar ou usando faziam diferença), mas sem fechar. Parei de usar novamente o móvel há 6 meses e abriu bastante de novo. Minha antiga dentista disse que não adiantaria usar fixo que voltaria o diastema depois que fechasse da mesma maneira. Salvo engano, ela disse também que o problema era o “freio”, mas nunca cogitou fazer a cirurgia de retirada (eu nem sabia que existia).
Fui tratar um canal ano passado e uma outra dentista me sugeriu colocar o fixo, e disse que, se após a contenção voltasse o diastema, colocaria uma espécie de “ferrinho” atrás do dente que não deixaria abrir novamente. Comecei agora o tratamento com fixo, mas estou com bastante receio de acontecer a mesma coisa: fechar e abrir de novo…
1) É certo que, uma vez que abriu quando eu tirei o móvel, abrirá também com o fixo quando eu tirá-lo?
2) Se efetivamente for problema de “freio”, é certo que vai abrir sem o aparelho? Ou seja, deveria ir atrás disso para já ver se é o caso de cirurgia, pois sem isso o uso do aparelho de novo será inócuo?
Muito obrigado desde já pela ajuda e paciência, e parabéns pelo site.
Castro, se o problema for realmente o freio, se não for feita a cirurgia a tendência é o diastema abrir de novo após o tratamento ortodôntico. Uma contenção fixa (o “ferrinho” atrás do dente) pode funcionar, mas você teria que usá-lo pra sempre. Converse com o seu ortodontista sobre a necessidade da frenectomia. Havendo, ele mesmo encaminhará você para um periodontista para fazer a cirurgia.
Uso aparelho ha cinco meses e o espaço entre os dentes ainda nao fechou, ou seja o diastema, ja fiz a frenectomia e ela nao tira o arco todas as vezes que faço a manuntençao, o arco nao é trançado e nem apertado, sera que ela ta me enrolando?
Kelly, como eu não conheço o plano de tratamento da sua dentista, não sei se ela está enrolando você. Sugiro que você pergunte pra ela quanto tempo ela acha que vai demorar para o diastema fechar. Assim você terá como se basear. Geralmente, o fechamento de um diastema demora alguns meses.
Boa noite, Dra. Ana
Meu dentista disse que se eu aumentar meu dente com resina essa massinha vai amarelar com o tempo e eu vou me arrepender. Tambem disse que depois de tirar a pele do lábio eu vou usar aparelho por um bom tempo, senão o problema volta. Como os dentistas fazem para que o espaço não volte a abrir? Não posso ficar pagando aparelho a vida toda que nem a Beth do canal ABC…
Oi Marcelo! O fechamento de diastema com resina é bastante durável. Realmente, seu dentista tem razão: inevitavelmente um dia você terá que substituir essas resinas. Mas isso pode demorar muito.
Com relação ao uso de aparelho: fazendo a frenectomia (tirando a pele do lábio) e usando o aparelho, o espaço vai fechar relativamente rápido. Para não abrir novamente, é imprescindível o uso do aparelho removível depois de tirar o fixo, para que o resultado do tratamento não se perca.
Grato pela resposta, Dra… mas como e quando vou me livrar da condenação, digo contenção? Não existe nada que seja feito pra não ter que me lembrar de usar aparelho a vida toda?
Marcelo, a contenção superior é usada, geralmente, por 1 ano de forma contínua (o tempo depende da orientação do seu dentista). Já a contenção inferior, que normalmente é fixa, é bom que fique pelo menos até que a sua mandíbula termine de crescer. Entre os 22 e 24 anos de idade acontece o crescimento terminal da mandíbula, o que pode causar apinhamento dos dentes anteriores inferiores (e um monte de gente acha que é por causa do nascimento dos sisos, mas não é). Então, se você passou dessa idade, dá pra “arriscar” e remover.
Bom dia, estou com meu aparelho de dentes há 2 anos e 4 meses, minha dentista disse que irei tira-los o mes q vem, entretanto meus dentes não ficou com a estetica que esperava, Gostaria q a parte superior , fosse mais para trás. No entanto minha dentista disse que para isso, sera necessario rancar 4 dentes, 2 da parte superior, e mais 2 da parte inferior. Mas acontece que ao longo de minha vida antes de colocar aparelho ja tinha rancado 4 dentes, 2 do siso, e 2 molares, um de cada lado. Isto posto, tenho 28 dentes na boca, se rancar mais 4, ficarei com 24, tenho medo que minha boca fica muxa, e mude totalmente minha face. Quero saber se isso é possivel?
En, o que sua dentista disse é verdade. Muitas vezes para colocar os dentes para trás é necessário extrair alguns. Não acredito que seu perfil facial seja prejudicado com essas extrações, pois você mesmo relata que seus dentes estão mesmo mais para frente.
Olá!
Parabéns pelo post.
Gostaria que me tirasse uma dúvida, fiz a cirurgia de frenectomia ontem, e continua inchado meu labio superior, ontem eu levantei o labio pra ver como estava e no ponto que eu consegui enxergar está branco, como quando temos uma afta e fica branquinho nela. Estou com medo de estar infeccionado. A doutora só me disse pra beber bastante gelado e lavar com água gelada. E é o que estou fazendo varias vezes ao dia. Ficar branquinho assim no corte é normal?
Obrigada.
Tamy, provavelmente esse branco é resultado do processo de cicatrização. De qualquer forma, se você perceber que o inchaço não diminui ou que há dor exagerada no local, entre em contato com o seu dentista. No mais, é continuar seguindo as orientações pós-operatórias e tomar a medicação prescrita à risca. Acredito que você não tenha com o que se preocupar no momento. 🙂
Bom Dia Dra.
Adorei sua publicação…. Tenho um diastema na parte superior de aproximadamente 3mm. Fui ao dentista e ele constatou que tenho um freio labial muito grande e, é preciso remove-lo para então usar o aparelho. Estou um pouco insegura quanto a cirurgia… Esse freio labial volta com o tempo??? Muito muito muito obrigada pela sua atenção…
Daniela, sempre há a possibilidade de recidiva (do diastema abrir novamente). Mas quando o motivo do diastema é um freio labial grande e a frenectomia é realizada, a chance diminui bastante. O freio, em si, não volta. O pós-operatório, que deve ser o que preocupa você, depende muito do paciente, mas não costuma ser muito complicado. O importante é seguir as recomendações do dentista, procurar manter o lugar limpo, guardar repouso e tomar a medicação prescrita.
Prezada Dra Ana,
Parabéns pelo blog bastante esclarecedor. Tenho duas perguntas relacionadas ao procedimento de Frenectomia. Houve indicação de cirurgia para meu filho ( 8,5 anos), pois os dentes “da frente” superiores continuam separados. As perguntas são: 1) Existe alguma risco “funcional” como efeito da cirurgia (problemas de fala, por exemplo) 2) O pós operatório é demorado? Por exemplo se a cirurgia for marcada para uma sexta-feira, na segunda-feira ele já pode ir normalmente para a escola?
Muito obrigado!!
Jorge
Obrigada, Jorge!
A cirurgia de freio labial não é tão importante com relação à fala quanto a de freio lingual, por exemplo. Desconheço relatos de casos em que a frenectomia do freio labial tenha causado problemas de fala no paciente, portanto não acho que você precise se preocupar com isso. O pós-operatório pode ser chatinho sim, mas não demanda repouso absoluto ou cuidado extremo… apenas atenção na higienização e na movimentação do local, evitando falar muito o dar “grandes sorrisos” durante a recuperação, por exemplo. Acredito que, estando tudo como esperado, é possível sim fazer a cirurgia na sexta e ir para a escola na segunda, sem problemas. Abraço!
A cirurgia foi tudo bem e a recuperação foi bem rápida. A cirurgia do freio foi feita na sexta-feira. No sábado ficou “sossegado” em casa com a alimentação mais restrita. Conforme orientação da profissional, ele tomou analgésicos na sexta e sábado. Na segunda-feira foi normalmente para aula e na quinta-feira seguinte tirou os pontos.
Mais uma vez obrigado pelos esclarecimentos.
Que bom Jorge, fico feliz! 🙂
Adorei seu post Drª Ana, adorei seu site…
tenho uma dúvida: Fiz a frenectomia a dois dias, não senti nenhum tipo de dor. Estou seguindo corretamente as orientações e até agora só tomei sopa fria, sorvete, não mastiguei nada. Porém, ontem, um dia depois da cirurgia, caiu o ponto que estava no céu da boca. Não senti dor, nem sangrou. O local continua da mesma maneira que estava com o ponto. No entanto estou preocupada, será que tem algum problema???
Obrigada
Oi Melissa, obrigada! 🙂
Pode ficar tranquila… às vezes acontece mesmo de algum ponto soltar. Se o local estiver cicatrizando bem, como você descreve, não há problema algum. Basta continuar seguindo as orientações que seu dentista deu e comparecer no dia marcado para a remoção dos outros pontos.
Olá doutora!
Estava olhando os comentários e percebi que essa pequena cirurgia (frenectomia), deixa digamos.. “pós operatórios” e que a dor é meio chata, mas minha dentista disse que o processo é bem rápido e provavelmente nem sentirei dor na hora… é verdade isso? ou a dor só vem depois mesmo?
Obrigada!
Raíssa, na hora você não vai sentir nada mesmo, porque estará anestesiada. Mas toda cirurgia, da mais simples à mais complicada, tem pós-operatório, ou seja, aquele período de cicatrização e recuperação. Algumas pessoas “sofrem” mais, outras menos, outras nada. Depende muito do paciente. O importante é seguir as orientações do seu dentista e tomar a medicação recomendada (que serve também para a evitar a dor nesse período). Acredito que você não terá problemas.
Obrigada Dr!!
Agora estou decidida e vou fazer a cirurgia,
meu problema, é só diastema mesmo (não muito grande),
e colocarei aparelho, mas, outra dúvida me surgiu…
como sou adolescente, a possibilidade desse espacinho fechar (que embora eu não goste…) demora mais ou o processo é rápido?
Mais ou menos quantos meses?
Obrigada!
bjus
Raíssa, isso é bem relativo, pois cada organismo reage de forma diferente ao tratamento ortodôntico. Mas diastemas pequenos podem fechar em 2 ou 3 meses… ou demorar mais.
Olá Dra. Bom dia !
Fiz a cirurgia de frenectomia superior há um dia, pois o Dr. que estou passando disse que não adiantava eu colocar aparelho para fechar uma abertura nos dentes frontais por que os dentes voltariam a ser separados depois de um tempo…
Meu lábio está bem inchado.. até aí normal, o pós operatório está indo tudo bem…estou apenas com medo dessa cirurgia acarretar em alguma mudança no meu sorriso…aparencia da boca, dos lábios.. seila..
Isso é possível ? =(
Se por acaso tiver alteraçoes, meu sorriso pode ficar estranho ? se ficar, tem como corrigir ainda ?
Muitíssimo Obrigado !
Evair, acho que não há com o que se preocupar. A cirurgia de freio labial é muito comum, e não costuma trazer modificações que comprometam o sorriso, pelo contrário. Acredito que é só aguardar o período de cicatrização e a remoção dos pontos, e você não deve ter problemas.
Olá Ana.
Tenho 19 anos e meu dentista me disse que tenho que retirar o freio.
Tenho os dois dentes da frente com um espaço (acho que é a diastema) mas não chega a ser grande.
Nos outros dentes tenho um espaço tbm, só que menor que os da frente.
Fui a um ortodentista e ele disse tbm que eu teria que retirar o freio e usaria o aparelho por uns 3 anos, pois meu problema é mais estético mesmo. Tenho vergonha de sorrir, fotos.
Em quais casos que a abertura pode voltar?
Aline, quando a causa de um diastema é o freio labial muito grande e ele não é removido, após o fim do tratamento ortodôntico há uma chance muito grande do diastema abrir de volta, principalmente se o paciente não usar a contenção (o aparelho removível) corretamente e pelo tempo determinado pelo dentista. Portanto, é interessante fazer a frenectomia sim. O diastema, em si, costuma fechar relativamente rápido com o uso do aparelho, em questão de alguns meses.
Dra. fiz a frenectomia e minha boca esta muito inchada, isso e normal? Preciso de ajuda.
Eduardo, o pós-operatório às vezes é meio chato mesmo… incha, dói. Pessoas diferentes reagem de formas diferentes. O importante é que você siga todas as orientações do seu dentista, procure descansar e tomar a medicação prescrita. Se você achar que tem alguma coisa errada (muita dor, febre), entre em contato imediato com o seu dentista para ele orientá-lo a respeito.
Boa tarde, gostei muito desse post, pude esclarecer minhas duvidas.
Tenho um diastema que sempre me incomodou, estou usando aparelho fixo superior há 3 dias e ja estou sentindo muita pressão nos meus dentes como se eles tivessem se movimentando, espero que meus dentes se juntem logo, mas a previsão para o término do meu tratamento é de 2 anos e meio a 3 anos.
Tambem terei que fazer a frenectomia, mas sinceramente estou com muito medo, odeio sentir dor, principalmente a dor da anestesia…rs Como é o pós-operatório?
Tambem não fiz a extração dos meus sisos, preciso extrair os quatro…!
Estou louca de vontade de ver o resultado desse tratamento… Vou sofrer um pouquinho mas espero que no final tudo isso valha a pena!
Luciana, a frenectomia é uma cirurgia relativamente simples, mas ainda é uma cirurgia. Você vai ter que tomar cuidado durante uns dias, mas o pós-operatório não costuma ser muito sofrido não.
OI DRA ANA TUDO BEM !!!
TENHO 30 ANOS E TENHO UM DIASTEMA GRANDE NOS DENTES SUPERIORES DA FRENTE. OS DOIS DENTES SÃO LAGOS. FICARIA ESTRANHO USAR A RESINA OU OUTRA FORMA DE CORREÇÃO? PELA MINHA IDADE VALE A PENA USAR APARELHO? ALEM DA SEPARAÇÃO, PERDI UM DENTE DA MESMA ARCADA QUE EXISTE A SEPARAÇÃO ISSO PODE ATRAPALHAR O PROCESSO DE RESTAURAÇÃO COM O APARELHO? FUI AO DENTISTA E FIQUEI MUITO TRISTE, ELE SIMPLESMENTE DISSE QUE MEU CASO ERA COMPLICADO DE SE RESOLVER, ELE NÃO DEU MUITA IMPORTANCIA PARA O PROBLEMA E ME ACONSELHOU A “ESQUECER” O DIASTEMA. PROCUREI UMA OUTRA DENTISTA BASTANTE RENOMADA E ELA TAMBEM NÃO ME DEU ESPERANÇA. ALIÁS EU NÃO ENTENDO POR QUE ELES AGIRAM COM TANTO DESINTERESEE PARECE QUE NEM QUEREM GANHAR DINHEIRO RSRS. DOUTORA O QUE DEVO DIZER PRO DENTISTA? SOU BEM CLARO EM MOSTRAR O PROBLEMA E ELES ME IGNORAM, DIZEM QUE NÃO TEM JEITO E PONTO FINAL.
UM FORTE ABRAÇO!!!
Castro, achei estranho também não proporem soluções pra você. Se o seu diastema for maior que 6 mm, eu indicaria o aparelho ortodôntico. Hoje, mais do que nunca, pacientes adultos têm se submetido a tratamento ortodôntico… não seria tarde pra você não. Já se o diastema for menor que 6 mm, é possível, via de regra, fechá-lo com uma restauração em resina. Aconselho que você procure um profissional ortodontista (aparelho) e outro especialista em dentística (restauração estética). Eles, certamente, vão orientá-lo à altura. Abraço!
Eu estou com aparelho apenas nos seis dentes da frente já faz tres meses e o problema que quero solucionar, que é um diastema, ainda nem começou a ser resolvido, até agora meus dentes nem começaram a se mover para fechar. Minha ortodentista está me enrolando??
Roberta, não sei. Mas 3 meses é um tempo pequeno… já tentou perguntar pra ela se ela tem alguma previsão de quando o diastema fechará? Esse tipo de movimentação não costuma ser muito demorada, mas cada profissional trabalha de forma diferente.
Olá, Ana! Estava procurando alguma matéria sobre a frenectomia porque a ortodontista disse que eu precisaria fazê-la para usar o aparelho. Caso contrario, não adiantaria muita coisa. Você escreve bem, de forma clara e direta. Muito obrigada! Esclareceu tudinho! Beijos.
Obrigada, Aline. Fico feliz em ajudar. 🙂
Oie olha so quando eu tinha uns 11 anos eu tirei o tal de freio e meu dente nao fechou, depois mais velha coloquei aparelho fiquei 3 anos… e agora depois de 1 ano abriu td novamente… poderiam me ajudar no que faço, sera que tenho q cortar o freio de novo???
Camila, se você já fez a frenectomia não há porque fazer outra vez. Você usou a contenção superior (aparelho removível) direitinho? Pergunto porque, se você já tem uma tendência a abrir o espaço e não usar a contenção, a chance de abrir o diastema é grande. Agora, você pode optar por usar aparelho novamente ou fechar esse espaço com resina, através de uma restauração.
Olá Dra Ana, amei o post!
Queria tirar uma dúvida, meu diastema são nos 2 dentes da frente e tem 4mm. O dentista disse que eu só coloco aparelho se quiser, pois é só questão de estética. Porém, não seria melhor fechar com resina? E qual tipo de dentista faz esse procedimento?
Agradeço, beijos.
Ana, obrigada. 🙂
Diastemas até 6mm podem ser fechados com resina sim. Se o seu tem 4, se enquadra no caso. Mas você pode fechar com o aparelho também, depende do seu desejo. Com resina é imediato mas tem que restaurar, e com o aparelho demora mais, mas é menos invasivo. Procure um dentista especialista em Dentística.
Ana, obrigada pela resposta.
Vou levar minha filhota na fono para ver se o freio atrapalha algo.
Quanto ao meu diastema ñ sei se a resina hj seria a melhor opção pois hj alem do espaço ele ficou levemente torto.
A resina tb consegue corrigir o tortinho q ficou?
Mas tenho certeza q a resina seria o melhor precedimento no inicio quando eu apenas tinha o diastema!
Meu medo é usar o aparelho novamente e o dente ficar torto de novo. rs
A resina pode disfarçar esse “torto”, sim. Mas se o paciente é muito detalhista (seu caso :)) talvez não fique satisfeito, porque SABE que o dente está torto (mesmo que, para os outros, não pareça).
Oi Ana preciso de uma opinião eu tenho diastema e já faz 8 meses que coloquei aparelho e os dentes não estão fechando eles estão abrindo até os inferiores estão abrindo isso é normal faz parte do tratamento.?
Adria, não saberia dizer se é normal no seu caso em específico, mas isso acontece sim. Se há uma sobra de espaço (e geralmente o problema é o contrário – a falta de espaço), quando os dentes começam a se alinhar a sobra de espaço aumenta, pois dentes bem posicionados ocupam menos espaço no arco. No seu caso, que quer fechar um distema, pode-se acentuar temporariamente o problema. Mas é só uma fase do tratamento.
Ana,
Eu tinha diastema ops eu tenho pois o meu voltou 🙁
Sempre odiei os espaços entre os 2 dentes da frente, cheguei a ponto de ñ aceitar ser fotografada sorrindo.
Fiz a temida cirurgia do freio e usei aparelho por 2 anos, meus dentes estavam lindos.
+ como logo após a retirada do aparelho fixo eu engravidei e ñ consegui usar o aparelho movel nem por decreto pois passava mal ate com o cheiro dele, resultado meus dentes estao separados novamente só q agora esta pior q antes pois os dentes da frente estao presos por uma contenção entao o espaço foi para o dente do lado q por sinal tb ficou levemente torto. Ou seja tenho q usar aparelho novamente. kkkkkkkk
Devido a minha falta de informaçao na epoca escolhi o metodo q juguei correto + acredito q apenas a resina resolveria meu caso pois meus dentes eram certinhos.
minha filha esta no mesmo caminho. rs
ela tem 1 ano e 4 meses e o freio dela é gigante o dentista pediu encaminhamento para fazer a cirurgia + estou com receios, ela é tao novinha.
qual é a melhor idade para esse tipo de procedimento?
corro o risco de usar o aparelho novamente e o espaço voltar?
agradeço se vc me responder
Oi Pollyana, eu acho que por mais que sua filha tenha um freio volumoso, dá pra esperar mais um pouquinho pra ver como os dentes de leite / permanentes vão nascer. Geralmente não se faz esse tipo de cirurgia tão cedo. Você poderia levá-la pra fazer uma avaliação fonoaudiológica pra ver como está a motricidade e o desenvolvimento do lábio superior. Se o freio tiver potencial pra limitar o crescimento do lábio, é uma indicação de cirurgia. Mas, antes dos 2 ou 3 anos, eu não mexeria (opinião de um Odontopediatra, colega meu).
Com relação ao seu caso: risco de recidiva (do espaço abrir de novo), sempre há. Por isso é essencial usar a contenção. Se esse espaço for relativamente pequeno, talvez seja melhor tentar um fechamento de diastema com restauração em vez de fazer um novo tratamento ortodôntico. Procure em dentista especialista em Dentística para uma opinião mais embasada.
Garota que post maravilhoso, gostei muito dele! 😀
Olá Ana! Primeiramente, parabéns pelo post! Incrível ele! Preciso que tire algumas dúvidas minhas.. Há dois meses e meio fiz uma frenectomia labial (superior). Só por questão estética. Nunca tive diastema algum, mas meu lábio ”dobrava” pra cima quando eu sorria. Meu pós operatório foi bem tranquilo, sem nenhuma complicação. Evitei conversar e sorrir o quanto pude, pois tinha medo de ficar com alguma sequela.. Mas muitas vezes não resisti a uma boa risada. Sentia então que ”repuxava” o local das suturas e depois ficava ardendo por algum tempo. Meu cirurgião dentista disse que a cicatrização foi perfeita, realmente.. tava perfeitinho quando tirou as suturas, só que depois de mais ou menos uma semana notei que havia formado, no meio certinho da região que foi suturada, o que parece ser uma pápula (uma lesão sólida né, com elevação e circuscrita e tem uns 3 mm de diametro) e de cor acinzentada que persiste até hoje. Estou preocupada! Minha higienização é ótima mas já tem mais de um mês que estou com essa lesão! O que devo fazer? Não gostaria de me submeter a uma outra cirurgia.. (odeio pós operatórios.. rs) Se eu me submeter a uma cirurgia, essa pápula pode ”voltar” caso eu não consiga segurar novamente algumas risadas, ou isso não teve influencia alguma nessa minha lesão?
Oi Lorena. Obrigada. 🙂
É preciso examiná-la pra verificar se essa lesão é apenas consequência da cicatrização ou se é uma lesão propriamente dita. Pelo que você descreveu, não há motivo para preocupação. Mas, para ter certeza, possivelmente o dentista fará uma biópsia excisional (o nome assusta, mas só quer dizer que ele cortará ela fora e mandará para um laboratório para exame histopatológico). Isso é rotina, não há motivo mesmo para se preocupar. Aí, fazendo isso, acabou-se a lesão, acabou-se o problema. Essa cirurgia é mais simples ainda do que a frenectomia, e não acredito que a lesão volte. Se tiver mais alguma dúvida, fico à disposição. 🙂
muito obrigado Dr Ana Tokus………… sucesso 🙂
Oi Dra. Ana Tokus… eu fiz a frenectomia dia 29 de agosto… só que minha dentista entrou em ferias… só vai começar o tratamento odontológico no final de setembro… quanto tempo dura pós-cirugia? Ou não volta mais a pelinha entre os dentes! Ou tem um tempo limite até por os aparelhos?
Obrigado pela atenção 🙂
Pode ficar tranquilo, Diego! Não volta não… 🙂
Restauração com resina fica mais caro do que colocar aparelhos????
Se considerarmos o tratamento ortodôntico todo, certamente a restauração para fechar o diastema sai mais em conta. Mas tem que ter indicação pra isso, não pode ser um diastema muito grande. 🙂
Meu diastema pode ser resolvido com restauração ou com aparelho. Qual é a melhor forma?
Depende do seu diastema e de quais dentes estamos falando, Bárbara. Um espaço de até 6 mm, em incisivos centrais por exemplo, pode ser fechado com resina. Mas os dentes terão aparência de serem mais largos. Isso não aconteceria se o aparelho fosse usado como solução, mas aí você teria que se submeter a um tratamento ortodôntico. Se as duas soluções são possíveis no seu caso, vai depender muito da sua preferência. A resina é imediata, mas algum dia você terá que trocá-la. O aparelho demora mais, mas é uma solução, via de regra, duradoura.
Aaah Ana,
Obriigadaa pelaa respostaa .
Vc me tirou uma grande duvida. Tô bem mais tranquila.
Agora só espero que não demore muito pra fechar né… num aguento mais não poder sorrir normalmente.
hehehe.
=P
beeijooos
Oii doutora, gostaria que me tirasse uma dúvida.
Eu tenho diastema nos dentes inferiores, estou fazendo um tratamento ortodôntico já há 3 meses, e vou fazer a retirada do freio no próximo mês. A minha dentista colocou uma borrachinha nos meus dentes, uma espécie de ‘corrente’. Gostaria de saber quanto tempo mais ou menos vai demorar para fechar esse ‘buraquinho’… rsrs morro de vergonha de sorrir por conta disso.
Adriana, depende do tamanho do diastema e da resposta do organismo do paciente ao tratamento. Mas esse tipo de fechamento costuma ser algo rápido, coisa de 2 ou 3 meses. Hoje ainda atendi uma paciente cujo diastema fechou em apenas 1 mês. 🙂
Oi Ana,
Obrigada pela resposta.
Mas então, meu diastema tem mais ou menos o tamanho dos dentes inferiores (é como se tivesse faltando um) rsrs… o meu único medo é pq eu faço tratamento por plano odontológico, e me falaram que o tratamento acaba sendo demorado quando é por plano.
Então tenho medo de demorar muito para fechar.
Aah , eu também gostaria muito de saber onde fica o seu consutório.
desde já , obriigada pela atenção. Beeijooos
=D
Adriana, acredito que é rápido pra fechar sim. A paciente a qual me referi tinha um diastema como o seu. 😉
Só é preciso avaliar se esse diastema não é causado por um problema periodontal, o que é comum. Não se confirmando isso, é só instalar o aparelho e aguardar a resposta do seu organismo ao tratamento. Mas acredito que em até 3 meses dá pra fechar sim (estimativa, ok?! Pode ser mais, pode ser menos).
Meu consultório é em Curitiba. 🙂
Olá Dra.,
Gostaria de tirar uma dúvida! Tirei meu aparelho fixo faz 4 anos, mas meus sisos nasceram logo após a retirada do aparelho fixo e por conta disso não usei mas minha contenção… Meus dentes permaneceram normais, mas de umas semanas pra cá notei uma pequena separação surgindo nos dentes da frente! Estou desesperada, sera que vou ter que colocar aparelho fixo de novo? Não posso fazer esse tratamento com resina não?
Oi Luciana! Pode sim. Quando o diastema é pequeno e o paciente não tem interesse em usar aparelho é possível fazer o fechamento com resina. Procure um dentista que trabalhe com estética (dentística) e faça uma avaliação. Mas acredito que será um procedimento relativamente simples. 🙂
Alguém sabe me dizer se o preço do tratamento de um diastema não tão grande, equivale ao preço de 3 seções de manuntenção de aparelho ortondôntico, no caso de se precisar de 3 meses para o fim do problema do diastema?
Moro em Pernambuco e estou optando por uma clínica mais popular, pois canal é caro meus caros, e quem dirá 2, e o pior, os de trás ainda por cima! E para quem não quer esperar a carência de um plano… Aguardo respostas, tá?
Katye, se você for fechar o diastema com aparelho ortodôntico, seu investimento será o das manutenções pelo tempo que for necessário pra isso. Mas, depois de fechá-lo, você quer simplesmente remover o aparelho? E o resto do tratamento ortodôntico, como fica?
Talvez seja melhor, se você não quer se submeter a um tratamento ortodôntico completo, optar por fechar seu diastema com uma restauração direta em resina.
Hoje eu fiz a operação de tirar o freio, a abertura do meu dente era enorme cabia um dente no meio. Nunca gostei de como era o meu dente, em Setembro vai fazer um ano que coloquei aparelho e hoje depois da operação meu dente esta lindo… Só não estou gostando da dor que estou sentindo…aiai
Legal, Márcia! Essa fase pós-operatória é chata mesmo… mas vale a pena! Fico aqui torcendo por sua rápida recuperação! 🙂
Olá! Tive que arrancar o dente primeiro molar superior do lado esquerdo, agora quer colocar aparelho para puxar o 2° molar p o lugar do 1° e o ciso para o lugar do 2° molar, só que o ciso está nascendo meio inclinado, a minha dentista disse que ia pesquisar se isso era possível. Dra será que isso é possível ou tem outra solução mais adequada?
Ana, todo mundo fala muito em diastema superior, e quando o mesmo ocorre na parte inferior e superior a 6 mm, como resolver o problema? Tenho 2 implantes, um de cada lado no 1º molar inferior. Fiz uma pequena cirurgia (um pequeno corte perto da gengiva) no freio labial, mas não sei se foi a frenectomia. Já me falaram até em cirurgia ortognática. Será possível corrigir o problema com aparelho ortodôntico? E quanto tempo tenho que usar no meu caso?
Parabéns pelo post!
Marcelo, acredito que no seu caso só com aparelho ortodôntico mesmo. Até 6 mm, em dentes superiores, é possível fechar o diastema com restauração mas, no arco inferior, como os dentes são mais estreitos, ficaria muito esquisito. Esse diastema é algo que você sempre teve ou é um espaço que abriu com o tempo? Pergunto porque pode haver perda óssea associada e os dentes estariam “se afastando” por isso. Seria interessante avaliar o motivo.
Os implantes que você possui não vão se movimentar com o aparelho… uma vez nessa posição, ali ficam. Pode atrapalhar o tratamento um pouquinho… mas diastemas costumam fechar relativamente rápido com ortodontia. Acredito que em alguns meses já fica ok. 🙂
Obrigada pela visita! Abraço!
Anônimo, sim é possível. Mas aí você teria que optar pelo método restaurador ou protético pra fechar o diastema. Com o aparelho o fechamento costuma ser rápido, às vezes 2 ou 3 meses. Mas isso vai depender de uma série de fatores, é só uma estimativa, pode ser mais que isso. O valor de uma cirurgia de freio é relativo, depende do seu tipo de freio e do profissional que vai realizá-la. Faça uma avaliação com um cirurgião periodontal para saber isso, mas não costuma ser muito dispendioso.
Obrigada pela visita! Qualquer outra dúvida, estou à disposição. Abraço! 🙂
Olá Dra,
Tenho diastema, procurei ajuda ainda na infância para corrigir, dois dentistas que fui disseram que eu não precisaria de aparelho pois estaria corrigindo um problema e criando outros, minha mordida era perfeita e etc, então minha mãe mandou tacar resina no meus dois dentes da frente, o resultado ficou bom, mas agora estou com um problema, meus dentes começaram a amarelar e chegou a hora de fazer um clareamento, o problema é que eu sei que a resina não clareia, logo terei de trocar tb. Eu terei de abrir meu diastema para todos verem novamente?
Pelo que sei o clareamento tem umas 2 ou 3 sessões. Não quero abrir meu diastema e ficar 1 semana com ele aberto.
E meu dentista que cuidava dos meus dentes SUMIU, não sei nem quem visitar na minha cidade.
Não, pode ficar tranquilo! Não será necessário retirar as restaurações durante o clareamento, apenas trocá-las depois do clareamento concluído. Vai dar um pouco de diferença de cor nesse período, mas com as restaurações novas isso se corrigirá de forma imediata.
Hmm entendi, agradeço pela rápida resposta heheheh
Irei providenciar isso, agora é procurar um dentista. Essa diferença de cor me preocupa, mas vamos lá.
Dra, estava pensando aqui, isso é uma coisa que não falo pra ninguém, tenho vergonha disso, como esconderei meu diastema de uma namorada / esposa?
um dia ela vai saber, um dia que precisar clarear ou trocar a resina, complicado hehe.
:/
Acredite: conheço pessoas que usam dentadura e os parceiros não sabem. Compreendo a vergonha, mas sinceramente acho que quando você escolhe alguém pra viver do seu lado, é pré-requisito que essa pessoa compreenda seus defeitos e/ou imperfeições, afinal todos nós os temos. Sua futura namorada / esposa não vai ligar pro seu diastema… pode acreditar. 😉
>É possível fazer a cirurgia de freio e não usar o aparelho depois ?
Se não for possível, qndo tempo leva mais ou menos pro diastema fechar?
E quanto é em média o gasto com esse tipo de cirurgia ?
Desde já agradeço e está de parabéns pelo post, muito bem escrito.
Rápido, fácil e MUITO útil! xD
>Obrigada, Jumara! 🙂 É mesmo, a estética do diastema costuma ser uma coisa meio pessoal mesmo… há quem ache "cute". 😀
O importante é resolver o problema, se você considera que o diastema seja um. E deve-se sempre avaliar a causa do diastema para indicar o melhor tratamento. No seu caso era o freio, então resolvido! Tomara que seus dentes "fechem" logo, e vida nova! 😀 Abraço, obrigada pela visita e apareeeeeça…
Parabéns pela matéria.
Tenho os dentes da frente separados, na primeira vez que fui ver aparelho a dentista disse que eu tinha freio labial, tinha que fazer cirurgia, e ela ia cobra o olho da cara para colocar o aparelho, deixei para lá.
Na Segunda vez que eu fui procurar um especialista no assunto, o doutor disse que essa separação nos dentes não tinha concerto ,fiquei chateado com isso. Então ele propôs colocar capa de porcelana, era um tratamento rápido, mas eu não quis, fiquei com receio dela cair algum dia, parecia gambiarra rs. Alguem já colocou?, dura quanto tempo?, preteja?
Vejo que existe certas cirurgias para juntar os dentes, coisa de uma seção, eu quero algo definitivo. Que tipo de profissional exatamente devo procurar para fazer isso?
obrigado
Rodrigo, se o seu freio labial tiver inserção muito baixa pode ser que você tenha que fazer a correção sim, pois poderia levar a uma recidiva (voltar a abrir) após o fechamento do diastema com o uso do aparelho fixo.
Não acredito que o seu caso, embora eu não o conheça, não tenha “conserto”. Pelo contrário, há mais de uma forma de se fechar um diastema. A escolha por um ou outro método depende da avaliação profissional e das suas expectativas com relação ao tratamento. Soluções protéticas (coroas e facetas) são legítimas sim, não é gambiarra não :). Mas, como toda prótese, têm tempo de vida útil, o que é variável. Diastemas com até 6 mm podem ser fechados dessa forma e até com restauração direta, procedimento feito em 1 sessão só.
Avalie novamente o seu caso com um ortodontista. Se você estiver disposto, o aparelho é a solução menos invasiva, pois modificará apenas a posição dos dentes. Mas pode ser que seja a solução mais demorada também.
>Ana, amei o post! Tenho o bendito diastema e nunca li algo sobre o assunto tão simplificado e divertido! Engraçado como a estética que esse espaço entre os incisivos frontais são contraditórias! Conheço um garotinho cujo sorriso "espaçado" eu acho um charme. Já eu me acho ridícula com essa falha. Procurei uma profissional que me recomendou a cirurgia de freio, já fiz e estou de aparelho há um mês. Estou confiante de que o Teco perderá uma sósia heheh!! Espero ótimos resultados!
>Queridos, obrigada pelos comentários sempre carinhosos! 🙂
Anônimo, a frenectomia não costuma deixar sequelas não, até porque é um procedimento muito simples. É interessante que seja feita antes de colocar o aparelho, mas nada impede que seja feita durante o tratamento ortodôntico. Porém, o ortodontista deve avaliar o seu caso, porque a possibilidade de recidiva (o diastema abrir de novo) em casos de diastema ocasionado por freio hipertrófico é muito grande. Consulte o seu!
Mandy, fico muito feliz por você! Às vezes a solução é simples e o benefício advindo dela é enorme! Vale a pena dar uma passada no dentista pra tirar a dúvida, né?! Muitos sorrisos pra você!
Abraços a todos! 🙂
>Sempre tive diastema nos 2 dentes superiores frontais desde nova e sempre me incomodou, mas quando se é novinha até que fica bonitinho, dá um 'charminho'. Além disso o dentista disse que talvez com o nascimento dos sisos juntasse, conforme fiquei mais velha, os 2 sisos superiores nasceram e nada dos dentes da frente juntarem, começou a me incomodar bastante, a ponto de eu nao tirar mais fotos sorrindo mostrar os dentes, pq odiava aquele buraco preto que saia nas fotos.
Ano passado fiz a correção atraves de restauração, aumentando a largura dos 2 dentes, ficou otimo e me fez super bem! Sérissimo mesmo, tenho bem mais prazer em sorrir com os dentões agora, tirar fotos e td mais 😀
>A cirurgia para retirada do freio labial pode deixar sequelas? tem que ser feita para colocar o aparelho ortodôntico?
>Mais um… Já já a gente perde a conta dos posts MARAVILHOSOS que você escreve! Assim tá difícil! 😛
Parabéns, como sempre!
>O post ficou muito bom, Ana!
Ninguém precisa temer o diastema mesmo não, olha bem pro Teco como é muito mais charmoso que o Tico!! Hahaha!
Beijos!
>"Jogando palavras ao vento
Ela usa e abusa das rimas
Dá uma aula de conhecimento
Aplausos para esse menina !!!"
Mais um post SENSACIONAL … PENA QUE EU AINDA TENHA MEDO DELA =P
>Belo post!
Eu não consigo imaginar a Madonna sem diastema!
bj
>"Não Tema o Diastema!" Esse é um dos melhores títulos que já vi, rsrsrsrsrs…
Eu canso de ver, associado ao diastema superior, aquela "carninha"(a hiperplasia induzida) no lábio superior, do hábito de ficar mordiscando-o e succionando-o.
Não ajuda muito no tratamento, né doutora?
Abraços!
Uso aparelho ha 10 meses, tenho diastema e nao fecha. Doutora, sera q vai fechar? Alem disso, meus dois dentes laterais sao separados, ja fechou, mas ta um espaçao agora, minha dentista vai colocar resina pois eles sao muito pequenos, sera q o meu diastema vai fechar?
Vanessa, deve fechar sim! É que os dentes precisam estar alinhados antes de fazer o fechamento, talvez por isso sua dentista ainda não tenha feito isso.
A frenectomia quando realizada em um paciente de pouca idade (dentição não completa) pode ocasionar uma perda óssea futuramente, entre o 11 e 21??
Não, Erika. O espaço entre os dentes é que causaria a impactação dos alimentos diretamente sobre a gengiva, o que poderia levar a um problema periodontal (perda óssea). Mas a frenectomia, em si, não.
Dra, meu dentista me disse ha algum tempo que tenho diastemas (em todos os dentes da frente) e que precisarei arrancar os 4 cisos. O que não faz muito sentido pra mim porque que se ja existem espaços de sobra, arrancar dentes não poderia aumentar ainda mais esses espaços? Seria mais lógico colocar um dente a mais e não extrair, queria uma explicação mais plausível pra isso. Além disso, ele fez a correção com resina, mas esta sempre caindo e preciso voltar la pra recolocar, é normal assim com tanta frequência? As lentes de contato podem corrigir esse problema, certo? Existe algum dentista com esta tecnologia em Manaus? Quanto custa em media? Obrigada.
Realmente Rafaela, tendo diastemas generalizados, extrair os sisos para obter espaço no arco não faz sentido. Portanto, o motivo deve ser outro… ou o objetivo do seu dentista é levar os molares para trás por uma questão de “encaixe” da sua mordida, e não por espaço em si. Você fala em “correção com resina”… os diastemas foram fechados, é isso? Se sim, esse tipo de restauração não costuma se desprender tão fácil, não. Lentes de contato são facetas, e facetas costumam ter boa retenção porque se apoiam em toda a face externa do dente. Não sei se existe algum especialista em dentística (estética) em Manaus… dei uma olhado no site do CFO e não encontrei –> http://cfo.org.br/servicos-e-consultas/Profissionais/?nome=&inscricao=&cro=AM&categoria=CD&codigo=d012467 (mas o dentista não precisa ser especialista pra fazer as “lentes de contato”, é questão de pesquisar).
A área de comentários / perguntas está fechada. Agradeço a compreensão.